Skip to main content

Niemann-Pick C1 Antibody (1318A) - BSA Free

Novus Biologicals, part of Bio-Techne | Catalog # NBP2-76798

Recombinant Monoclonal Antibody.
Novus Biologicals, part of Bio-Techne
Catalog #
Availability
Size / Price
Qty
Loading...
NBP2-76798SS
NBP2-76798

Key Product Details

Validated by

Knockout/Knockdown

Species Reactivity

Validated:

Human, Mouse, Rat

Cited:

Human

Applications

Validated:

Knockout Validated, Immunohistochemistry, Immunohistochemistry-Paraffin, Western Blot, Immunocytochemistry/ Immunofluorescence

Cited:

Western Blot

Label

Unconjugated

Antibody Source

Recombinant Monoclonal Rabbit IgG Clone # 1318A expressed in HEK293

Format

BSA Free

Concentration

1.0 mg/ml

Product Specifications

Immunogen

A synthetic peptide made to the C-terminal region of human Niemann-Pick C. [UniProt# O15118]

Clonality

Monoclonal

Host

Rabbit

Isotype

IgG

Description

Novus Biologicals Knockout (KO) Validated Rabbit Niemann-Pick C1 Antibody (1318A) - BSA Free (NBP2-76798) is a recombinant monoclonal antibody validated for use in IHC, WB and ICC/IF. Anti-Niemann-Pick C1 Antibody: Cited in 1 publication. All Novus Biologicals antibodies are covered by our 100% guarantee.

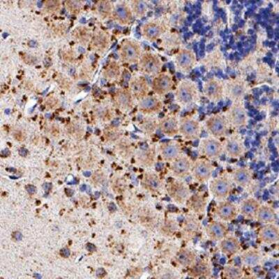
Scientific Data Images for Niemann-Pick C1 Antibody (1318A) - BSA Free

Western Blot: Niemann-Pick C1 Antibody (1318A) - BSA Free [NBP2-76798]

Western Blot: Niemann-Pick C1 Antibody (1318A) - BSA Free [NBP2-76798]

Western Blot: Niemann-Pick C1 Antibody (1318A) [NBP2-76798] - Western blot shows lysates of HeLa human cervical epithelial carcinoma parental cell line and Niemann-Pick Type C1/NPC1 knockout HeLa cell line (KO). PVDF membrane was probed with 0.5 ug/mL of Rabbit Anti-Human/Mouse/Rat Niemann-Pick Type C1/NPC1 Monoclonal Antibody (Catalog # MAB10105) followed by HRP-conjugated Anti-Rabbit IgG Secondary Antibody (Catalog # HAF008). A specific band was detected for Niemann-Pick Type C1/NPC1 at approximately 170-250 kDa (as indicated) in the parental HeLa cell line, but is not detectable in knockout HeLa cell line. GAPDH (Catalog # MAB5718) is shown as a loading control. This experiment was conducted under reducing conditions.
Immunocytochemistry/ Immunofluorescence: Niemann-Pick C1 Antibody (1318A) - BSA Free [NBP2-76798]

Immunocytochemistry/ Immunofluorescence: Niemann-Pick C1 Antibody (1318A) - BSA Free [NBP2-76798]

Immunocytochemistry/Immunofluorescence: Niemann-Pick C1 Antibody (1318A) [NBP2-76798] - HeLa cells were fixed in 4% paraformaldehyde for 10 min and permeabilized in 0.05% Triton X-100 for 5 minutes. The cells were incubated with anti- Niemann-Pick C1 Antibody at 2 ug/ml for 60 minutes at room temperature and detected with an anti-rabbit Dylight 488 (Green) at a 1:1000 dilution for 60 minutes. Nuclei were counterstained with DAPI (Blue). Cells were imaged using a 100X objective and digitally deconvolved.
Western Blot: Niemann-Pick C1 Antibody (1318A)BSA Free [NBP2-76798]

Western Blot: Niemann-Pick C1 Antibody (1318A)BSA Free [NBP2-76798]

Western Blot: Niemann-Pick C1 Antibody (1318A) [NBP2-76798] - Total protein from human HeLa, Hek293, mouse 3T3 and Rat PC12 cell lines were separated on a 7.5% gel by SDS-PAGE, transferred to PVDF membrane and blocked in 5% non-fat milk in TBST. The membrane was probed with 2.0 ug/ml anti-NPC1 in block buffer and detected with an anti-rabbit HRP secondary antibody using West Pico PLUS chemiluminescence detection reagent.

Applications for Niemann-Pick C1 Antibody (1318A) - BSA Free

Application
Recommended Usage

Immunocytochemistry/ Immunofluorescence

2-5 ug/ml

Immunohistochemistry

5 - 10 ug/ml

Immunohistochemistry-Paraffin

5 - 10 ug/ml

Western Blot

0.5 - 1.0 ug/ml

Formulation, Preparation, and Storage

Purification

Protein A or G purified

Formulation

PBS

Format

BSA Free

Preservative

0.02% Sodium Azide

Concentration

1.0 mg/ml

Shipping

The product is shipped with polar packs. Upon receipt, store it immediately at the temperature recommended below.

Stability & Storage

Store at 4C short term. Aliquot and store at -20C long term. Avoid freeze-thaw cycles.

Background: Niemann-Pick Type C1/NPC1

Niemann-Pick type C1 (NPC1) is a member of a family of genes encoding membrane-bound proteins containing putative sterol sensing domains. NPC1 protein regulates cholesterol transport from late endosomes-lysosomes to other intracellular compartments. NPC1 overexpression increases the rate of trafficking of low density lipoprotein cholesterol to the endoplasmic reticulum and the rate of delivery of endosomal cholesterol to the plasma membrane. NPC disease is an inherited neurovisceral lipid storage disorder of unesterified cholesterol accumulation in lysosomes. It is characterized by progressive neural and liver degeneration, resulting from inactivating mutations in NPC1, in most cases.

Alternate Names

NPC1, SLC65A1

Gene Symbol

NPC1

Additional Niemann-Pick Type C1/NPC1 Products

Product Documents for Niemann-Pick C1 Antibody (1318A) - BSA Free

Certificate of Analysis

To download a Certificate of Analysis, please enter a lot number in the search box below.

Product Specific Notices for Niemann-Pick C1 Antibody (1318A) - BSA Free

This product is for research use only and is not approved for use in humans or in clinical diagnosis. Primary Antibodies are guaranteed for 1 year from date of receipt.

Loading...
Loading...
Loading...
Loading...
Loading...