Skip to main content

NHE1/SLC9A1 Antibody - BSA Free

Novus Biologicals, part of Bio-Techne | Catalog # NBP2-97304

Novus Biologicals, part of Bio-Techne

Key Product Details

Species Reactivity

Human

Applications

Immunohistochemistry, Immunohistochemistry-Paraffin

Label

Unconjugated

Antibody Source

Polyclonal Rabbit IgG

Format

BSA Free

Concentration

Please see the vial label for concentration. If unlisted please contact technical services.

Product Specifications

Immunogen

Produced in rabbits immunized with E. coli-derived Human NHE1/SLC9A1 fragment.

Clonality

Polyclonal

Host

Rabbit

Isotype

IgG

Description

This antibody can be stored at 2C to 8C for one month without detectable loss of activity. Antibody products are stable for twelve months from date of receipt when stored at -20C to -80C. Avoid repeated freeze-thaw cycles.

Scientific Data Images for NHE1/SLC9A1 Antibody - BSA Free

Immunohistochemistry-Paraffin: NHE1/SLC9A1 Antibody [NBP2-97304]

Immunohistochemistry-Paraffin: NHE1/SLC9A1 Antibody [NBP2-97304]

Immunohistochemistry-Paraffin: NHE1/SLC9A1 Antibody [NBP2-97304] - Immunochemical staining of human NHE1/SLC9A1 in human stomach with rabbit polyclonal antibody at 1:500 dilution, formalin-fixed paraffin embedded sections.
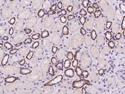
Immunohistochemistry-Paraffin: NHE1/SLC9A1 Antibody [NBP2-97304]

Immunohistochemistry-Paraffin: NHE1/SLC9A1 Antibody [NBP2-97304]

Immunohistochemistry-Paraffin: NHE1/SLC9A1 Antibody [NBP2-97304] - Immunochemical staining of human NHE1/SLC9A1 in human kidney with rabbit polyclonal antibody at 1:500 dilution, formalin-fixed paraffin embedded sections.

Applications for NHE1/SLC9A1 Antibody - BSA Free

Application
Recommended Usage

Immunohistochemistry-Paraffin

1:200-1:1000

Formulation, Preparation, and Storage

Purification

Antigen and protein A Affinity-purified

Formulation

PBS

Format

BSA Free

Preservative

0.03% Proclin 300

Concentration

Please see the vial label for concentration. If unlisted please contact technical services.

Shipping

The product is shipped with polar packs. Upon receipt, store it immediately at the temperature recommended below.

Stability & Storage

Store at 4C short term. Aliquot and store at -20C long term. Avoid freeze-thaw cycles.

Background: NHE1/SLC9A1

The Na+/H+ antiporter (SLC9A1) is a ubiquitous membrane-bound enzyme involved in pH regulation of vertebrate cells. It is specifically inhibited by the diuretic drug amiloride and activated by a variety of signals including growth factors, mitogens, neurotransmitters, tumor promoters, and others (Mattei et al., 1988 [PubMed 2846238]).[supplied by OMIM]

Long Name

Sodium/Hydrogen Exchanger 1

Alternate Names

APNH, SLC9A1

Gene Symbol

SLC9A1

Additional NHE1/SLC9A1 Products

Product Documents for NHE1/SLC9A1 Antibody - BSA Free

Certificate of Analysis

To download a Certificate of Analysis, please enter a lot number in the search box below.

Product Specific Notices for NHE1/SLC9A1 Antibody - BSA Free

This product is for research use only and is not approved for use in humans or in clinical diagnosis. Primary Antibodies are guaranteed for 1 year from date of receipt.

Loading...
Loading...
Loading...
Loading...