Skip to main content

NGX6 Antibody - BSA Free

Novus Biologicals, part of Bio-Techne | Catalog # NBP1-60075

Novus Biologicals, part of Bio-Techne
Catalog #
Availability
Size / Price
Qty
Loading...
NBP1-60075

Key Product Details

Species Reactivity

Human

Applications

Immunohistochemistry, Immunohistochemistry-Paraffin, Western Blot

Label

Unconjugated

Antibody Source

Polyclonal Rabbit IgG

Format

BSA Free

Concentration

0.5 mg/ml

Product Specifications

Immunogen

Synthetic peptides corresponding to C9ORF127 The peptide sequence was selected form the N terminal of C9ORF127. Peptide sequence MNMPQSLGNQPLPPEPPSLGTPAEGPGTTSPPEHCWPVRPTLRNELDTFS. The peptide sequence for this immunogen was taken from within the described region.

Clonality

Polyclonal

Host

Rabbit

Isotype

IgG

Description

The addition of 50% glycerol is optional for those storing this antibody at -20C and not aliquoting smaller units. However, please note that glycerol may interrupt some downstream antibody applications and should be added with caution.

Scientific Data Images for NGX6 Antibody - BSA Free

Western Blot: NGX6 Antibody [NBP1-60075]

Western Blot: NGX6 Antibody [NBP1-60075]

Western Blot: NGX6 Antibody [NBP1-60075] - HepG2 cell lysate, Antibody Titration: 0.2-1 ug/ml
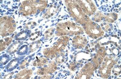
Immunohistochemistry-Paraffin: NGX6 Antibody [NBP1-60075]

Immunohistochemistry-Paraffin: NGX6 Antibody [NBP1-60075]

Immunohistochemistry-Paraffin: NGX6 Antibody [NBP1-60075] - Human kidney Tissue, antibody concentration 4-8ug/ml. Cells with positive label: renal corpuscle cells (indicated with arrows) 400X magnification.

Applications for NGX6 Antibody - BSA Free

Application
Recommended Usage

Western Blot

1.0 ug/ml

Formulation, Preparation, and Storage

Purification

Affinity purified

Formulation

PBS, 2% Sucrose

Format

BSA Free

Preservative

0.09% Sodium Azide

Concentration

0.5 mg/ml

Shipping

The product is shipped with polar packs. Upon receipt, store it immediately at the temperature recommended below.

Stability & Storage

Store at 4C short term. Aliquot and store at -20C long term. Avoid freeze-thaw cycles.

Background: NGX6

The down-regulation of C9orf127 may be closely associated with tumorigenesis and metastasis of colorectal carcinoma. However, it may not contribute to the development and progression of gastric carcinoma.

Alternate Names

C9orf127, chromosome 9 open reading frame 127, NAG-5, nasopharyngeal carcinoma expressed 6, nasopharyngeal carcinoma related protein, Nasopharyngeal carcinoma-associated gene 6 protein, NGX6MGC120460, Protein NAG-5, Protein NGX6, RP11-112J3.10, transmembrane protein 8B

Gene Symbol

TMEM8B

OMIM

NP_057530 (Human)

UniProt

Additional NGX6 Products

Product Documents for NGX6 Antibody - BSA Free

Certificate of Analysis

To download a Certificate of Analysis, please enter a lot number in the search box below.

Product Specific Notices for NGX6 Antibody - BSA Free

This product is for research use only and is not approved for use in humans or in clinical diagnosis. Primary Antibodies are guaranteed for 1 year from date of receipt.

Loading...
Loading...
Loading...
Loading...