Skip to main content

NGFR/TNFRSF16/p75NTR Antibody (SA39-02)

Novus Biologicals, part of Bio-Techne | Catalog # NBP2-67296

Recombinant Monoclonal Antibody.
Novus Biologicals, part of Bio-Techne
Catalog #
Availability
Size / Price
Qty
Loading...
NBP2-67296

Key Product Details

Validated by

Biological Validation

Species Reactivity

Human, Mouse, Rat

Applications

Immunohistochemistry, Immunohistochemistry-Paraffin, Western Blot, Flow Cytometry, Immunocytochemistry/ Immunofluorescence, Immunoprecipitation

Label

Unconjugated

Antibody Source

Recombinant Monoclonal Rabbit IgG Clone # SA39-02 expressed in HEK293

Concentration

1 mg/ml

Product Specifications

Immunogen

Synthetic peptide within Human NGFR/TNFRSF16/p75NTR aa 345-394 / 427. (SwissProt: P08138 Human; SwissProt: Q9Z0W1 Mouse; SwissProt: P07174 Rat)

Localization

Membrane

Clonality

Monoclonal

Host

Rabbit

Isotype

IgG

Description

Novus Biologicals Rabbit NGFR/TNFRSF16/p75NTR Antibody (SA39-02) (NBP2-67296) is a recombinant monoclonal antibody validated for use in IHC, WB, Flow, ICC/IF and IP. All Novus Biologicals antibodies are covered by our 100% guarantee.

Scientific Data Images for NGFR/TNFRSF16/p75NTR Antibody (SA39-02)

Western Blot: NGFR/TNFRSF16/p75NTR Antibody (SA39-02) [NBP2-67296]

Western Blot: NGFR/TNFRSF16/p75NTR Antibody (SA39-02) [NBP2-67296]

Western Blot: NGFR/TNFRSF16/p75NTR Antibody (SA39-02) [NBP2-67296] - Analysis of p75 NGF Receptor on PC-12 cell lysates. Proteins were transferred to a PVDF membrane and blocked with 5% BSA in PBS for 1 hour at room temperature. The primary antibody (1/500) was used in 5% BSA at room temperature for 2 hours. Goat Anti-Rabbit IgG - HRP Secondary Antibody at 1:200,000 dilution was used for 1 hour at room temperature.
Immunocytochemistry/ Immunofluorescence: NGFR/TNFRSF16/p75NTR Antibody (SA39-02) [NBP2-67296]

Immunocytochemistry/ Immunofluorescence: NGFR/TNFRSF16/p75NTR Antibody (SA39-02) [NBP2-67296]

Immunocytochemistry/Immunofluorescence: NGFR/TNFRSF16/p75NTR Antibody (SA39-02) [NBP2-67296] - Staining NGFR p75 in N2A cells (green). The nuclear counter stain is DAPI (blue). Cells were fixed in paraformaldehyde, permeabilised with 0.25% Triton X100/PBS.
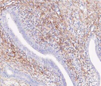
Immunohistochemistry-Paraffin: NGFR/TNFRSF16/p75NTR Antibody (SA39-02) [NBP2-67296]

Immunohistochemistry-Paraffin: NGFR/TNFRSF16/p75NTR Antibody (SA39-02) [NBP2-67296]

Immunohistochemistry-Paraffin: NGFR/TNFRSF16/p75NTR Antibody (SA39-02) [NBP2-67296] - Rat uterus tissue using anti-p75 NGF Receptor antibody. The section was pre-treated using heat mediated antigen retrieval with Tris-EDTA buffer (pH 8.0-8.4) for 20 minutes.The tissues were blocked in 5% BSA for 30 minutes at room temperature, washed with ddH2O and PBS, and then probed with the primary antibody (1/50) for 30 minutes at room temperature. The detection was performed using an HRP conjugated compact polymer system. DAB was used as the chromogen. Tissues were counterstained with hematoxylin and mounted with DPX.

Applications for NGFR/TNFRSF16/p75NTR Antibody (SA39-02)

Application
Recommended Usage

Flow Cytometry

1:200

Immunocytochemistry/ Immunofluorescence

1:50-1:100

Immunohistochemistry-Paraffin

1:200-1:1000

Western Blot

1:500-1:1000
Application Notes
IP: Use at an assay dependent concentration.

Formulation, Preparation, and Storage

Purification

Protein A purified

Formulation

TBS (pH7.4), 0.05% BSA, 40% Glycerol

Preservative

0.05% Sodium Azide

Concentration

1 mg/ml

Shipping

The product is shipped with polar packs. Upon receipt, store it immediately at the temperature recommended below.

Stability & Storage

Store at 4C short term. Aliquot and store at -20C long term. Avoid freeze-thaw cycles.

Background: NGFR/TNFRSF16

p75NTR was originally discovered as a low affinity nerve growth factor receptor. Later it was found that it was the receptor for all neurotrophins. It mediates signals of neurotrophins for neuronal survival, apoptosis, neurite outgrowth and synaptic plasticity. Recently, it has been revealed that p75NTR is not only acts as the receptor for neurotrophins but also the receptor for many other pathological ligands such as prions, rabies virus and amyloid beta. p75NTR also acts as a co-receptor for NOGO which mediates inhibitory signals of myelin associated protein. p75NTR is highly expressed in a number of non-neuronal and neuronal cells including motor neurons during development and also in damaged neurons. FUNCTION: Low affinity receptor which can bind to NGF, BDNF, NT-3, and NT-4. Can mediate cell survival as well as cell death of neural cells. SUBUNIT: Homodimer; disulfide-linked. Interacts with p75NTR-associated cell death executor. Interacts with NGFRAP1/BEX3. Interacts with TRAF2, TRAF4, TRAF6, PTPN13 and RANBP9. Interacts through TRAF6 with SQSTM1 which bridges NGFR to NTRK1. Interacts with BEX1. SUBCELLULAR LOCATION: Membrane; single-pass type I membrane protein. DOMAIN: Death domain is responsible for interaction with RANBP9. PTM: N- and O-glycosylated. PTM: Phosphorylated on serine residues. SIMILARITY: Contains 1 death domain. SIMILARITY: Contains 4 TNFR-Cys repeats.

Long Name

Nerve Growth Factor Receptor

Alternate Names

CD271, NGF R, p75 NTR, TNFRSF16

Gene Symbol

NGFR

Additional NGFR/TNFRSF16 Products

Product Documents for NGFR/TNFRSF16/p75NTR Antibody (SA39-02)

Certificate of Analysis

To download a Certificate of Analysis, please enter a lot number in the search box below.

Product Specific Notices for NGFR/TNFRSF16/p75NTR Antibody (SA39-02)

This product is for research use only and is not approved for use in humans or in clinical diagnosis. Primary Antibodies are guaranteed for 1 year from date of receipt.

Loading...
Loading...
Loading...
Loading...
Loading...