Skip to main content

NGFR/TNFRSF16/p75NTR Antibody (rNGFR/1965)

Novus Biologicals, part of Bio-Techne | Catalog # NBP3-48941

Recombinant Monoclonal Antibody
Novus Biologicals, part of Bio-Techne
Catalog #
Availability
Size / Price
Qty
Loading...
NBP3-48941-100ug
NBP3-48941-20ug

Key Product Details

Species Reactivity

Human

Applications

Immunohistochemistry, Western Blot

Label

Unconjugated

Antibody Source

Recombinant Monoclonal Mouse IgG1 kappa Clone # rNGFR/1965 expressed in HEK293

Concentration

Please see the vial label for concentration. If unlisted please contact technical services.

Product Specifications

Immunogen

Recombinant human p75 NGFR protein fragment (around aa 281-421) (exact sequence is proprietary) (Uniprot: P08138)

Localization

Cell membrane, Cell projection, Dendritic spine, Growth cone, Perikaryon

Clonality

Monoclonal

Host

Mouse

Isotype

IgG1 kappa

Theoretical MW

75 kDa.
Disclaimer note: The observed molecular weight of the protein may vary from the listed predicted molecular weight due to post translational modifications, post translation cleavages, relative charges, and other experimental factors.

Description

Prepared in 10mM PBS with 0.05% BSA & 0.05% azide. Also available WITHOUT BSA & azide at 1.0mg/ml.

Antibody with azide - store at 2 to 8 C. Antibody without azide - store at -20 to -80 C. Antibody is stable for 24 months. Non-hazardous. No MSDS required.

Scientific Data Images for NGFR/TNFRSF16/p75NTR Antibody (rNGFR/1965)

NGFR/TNFRSF16/p75NTR Antibody (rNGFR/1965)

Western Blot: NGFR/TNFRSF16/p75NTR Antibody (rNGFR/1965) [NBP3-48941] -

Western Blot Analysis of U87 cell lysate using NGFR/TNFRSF16/p75NTR Antibody (rNGFR/1965).
NGFR/TNFRSF16/p75NTR Antibody (rNGFR/1965)

Immunohistochemistry-Paraffin: NGFR/TNFRSF16/p75NTR Antibody (rNGFR/1965) [NBP3-48941] -

Formalin-fixed, paraffin-embedded human melanoma stained with NGFR/TNFRSF16/p75NTR Antibody (rNGFR/1965).
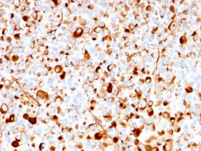
NGFR/TNFRSF16/p75NTR Antibody (rNGFR/1965)

Immunohistochemistry-Paraffin: NGFR/TNFRSF16/p75NTR Antibody (rNGFR/1965) [NBP3-48941] -

Formalin-fixed, paraffin-embedded human melanoma stained with NGFR/TNFRSF16/p75NTR Antibody (rNGFR/1965).

Applications for NGFR/TNFRSF16/p75NTR Antibody (rNGFR/1965)

Application
Recommended Usage

Immunohistochemistry

Optimal dilutions of this antibody should be experimentally determined.

Western Blot

Optimal dilutions of this antibody should be experimentally determined.

Formulation, Preparation, and Storage

Purification

Protein A or G purified

Formulation

10 mM PBS with 0.05% BSA

Preservative

0.05% Sodium Azide

Concentration

Please see the vial label for concentration. If unlisted please contact technical services.

Shipping

The product is shipped with polar packs. Upon receipt, store it immediately at the temperature recommended below.

Stability & Storage

Store at 4C.

Background: NGFR/TNFRSF16

p75NTR was originally discovered as a low affinity nerve growth factor receptor. Later it was found that it was the receptor for all neurotrophins. It mediates signals of neurotrophins for neuronal survival, apoptosis, neurite outgrowth and synaptic plasticity. Recently, it has been revealed that p75NTR is not only acts as the receptor for neurotrophins but also the receptor for many other pathological ligands such as prions, rabies virus and amyloid beta. p75NTR also acts as a co-receptor for NOGO which mediates inhibitory signals of myelin associated protein. p75NTR is highly expressed in a number of non-neuronal and neuronal cells including motor neurons during development and also in damaged neurons. FUNCTION: Low affinity receptor which can bind to NGF, BDNF, NT-3, and NT-4. Can mediate cell survival as well as cell death of neural cells. SUBUNIT: Homodimer; disulfide-linked. Interacts with p75NTR-associated cell death executor. Interacts with NGFRAP1/BEX3. Interacts with TRAF2, TRAF4, TRAF6, PTPN13 and RANBP9. Interacts through TRAF6 with SQSTM1 which bridges NGFR to NTRK1. Interacts with BEX1. SUBCELLULAR LOCATION: Membrane; single-pass type I membrane protein. DOMAIN: Death domain is responsible for interaction with RANBP9. PTM: N- and O-glycosylated. PTM: Phosphorylated on serine residues. SIMILARITY: Contains 1 death domain. SIMILARITY: Contains 4 TNFR-Cys repeats.

Long Name

Nerve Growth Factor Receptor

Alternate Names

CD271, NGF R, p75 NTR, TNFRSF16

Gene Symbol

NGFR

Additional NGFR/TNFRSF16 Products

Product Documents for NGFR/TNFRSF16/p75NTR Antibody (rNGFR/1965)

Certificate of Analysis

To download a Certificate of Analysis, please enter a lot number in the search box below.

Product Specific Notices for NGFR/TNFRSF16/p75NTR Antibody (rNGFR/1965)

This product is for research use only and is not approved for use in humans or in clinical diagnosis. Primary Antibodies are guaranteed for 1 year from date of receipt.

Loading...
Loading...
Loading...
Loading...