Skip to main content

NFkB2/NFkB p100 [p Ser866] Antibody - Azide and BSA Free

Novus Biologicals, part of Bio-Techne | Catalog # NBP3-16894

Novus Biologicals, part of Bio-Techne
Catalog #
Availability
Size / Price
Qty
Loading...
NBP3-16894-100ul
NBP3-16894-20ul

Key Product Details

Validated by

Biological Validation

Species Reactivity

Human, Mouse

Applications

Immunocytochemistry/ Immunofluorescence, Immunohistochemistry, Immunohistochemistry-Paraffin, Western Blot

Label

Unconjugated

Antibody Source

Polyclonal Rabbit IgG

Format

Azide and BSA Free

Concentration

Please see the vial label for concentration. If unlisted please contact technical services.

Product Specifications

Immunogen

A synthetic phosphorylated peptide around S866 of human NFkB2/NFkB p100 (NP_001070962.1). EDSAY

Modification

p Ser866

Clonality

Polyclonal

Host

Rabbit

Isotype

IgG

Description

Novus Biologicals Rabbit NFkB2/NFkB p100 [p Ser866] Antibody - Azide and BSA Free (NBP3-16894) is a polyclonal antibody validated for use in IHC, WB and ICC/IF. All Novus Biologicals antibodies are covered by our 100% guarantee.

Scientific Data Images for NFkB2/NFkB p100 [p Ser866] Antibody - Azide and BSA Free

Western Blot: NFkB2/NFkB p100 [p Ser866] AntibodyAzide and BSA Free [NBP3-16894]

Western Blot: NFkB2/NFkB p100 [p Ser866] AntibodyAzide and BSA Free [NBP3-16894]

Western Blot: NFkB2/NFkB p100 [p Ser866] Antibody [NBP3-16894] - Western blot analysis of extracts of MDA-MB435 cells, using NFkB2/NFkB p100 antibody (NBP3-16894) at dilution. MDA-MB435 cells were treated by TNF-alpha. Secondary antibody: HRP Goat Anti-Rabbit IgG (H+L) at 1:10000 dilution. Lysates/proteins: 25ug per lane. Blocking buffer: 3% BSA.
Immunocytochemistry/ Immunofluorescence: NFkB2/NFkB p100 [p Ser866] Antibody - Azide and BSA Free [NBP3-16894]

Immunocytochemistry/ Immunofluorescence: NFkB2/NFkB p100 [p Ser866] Antibody - Azide and BSA Free [NBP3-16894]

Immunocytochemistry/Immunofluorescence: NFkB2/NFkB p100 [p Ser866] Antibody [NBP3-16894] - Immunofluorescence analysis of methanol-fixed HeLa cells using NFkB2/NFkB p100 antibody (NBP3-16894).
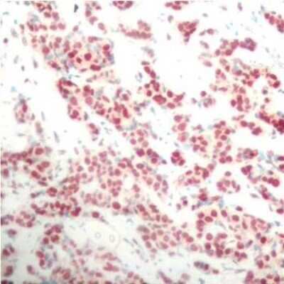
Immunohistochemistry-Paraffin: NFkB2/NFkB p100 [p Ser866] Antibody - Azide and BSA Free [NBP3-16894]

Immunohistochemistry-Paraffin: NFkB2/NFkB p100 [p Ser866] Antibody - Azide and BSA Free [NBP3-16894]

Immunohistochemistry-Paraffin: NFkB2/NFkB p100 [p Ser866] Antibody [NBP3-16894] - Immunohistochemistry of paraffin-embedded human breast carcinoma using NFkB2/NFkB p100 antibody (NBP3-16894).Perform microwave antigen retrieval with 10 mM Tris/EDTA buffer pH 9.0 before commencing with IHC staining protocol.

Applications for NFkB2/NFkB p100 [p Ser866] Antibody - Azide and BSA Free

Application
Recommended Usage

Immunocytochemistry/ Immunofluorescence

1:50 - 1:100

Immunohistochemistry

1:50 - 1:100

Western Blot

1:500 - 1:2000

Formulation, Preparation, and Storage

Purification

Affinity purified

Formulation

PBS (pH 7.3), 50% glycerol

Format

Azide and BSA Free

Preservative

0.01% Thimerosal

Concentration

Please see the vial label for concentration. If unlisted please contact technical services.

Shipping

The product is shipped with polar packs. Upon receipt, store it immediately at the temperature recommended below.

Stability & Storage

Store at -20C. Avoid freeze-thaw cycles.

Background: NFkB2

NFkB1 (NFkB p50) and NFkB2 (NFkB p52) are class I members of the Rel/NFkB family of transcription factors that also includes RelA, c-Rel and RelB. Rel/NFkB members regulate expression of genes that participate in immune, apoptotic and oncogenic processes. Class I members lack a C-terminal transcriptional activation segment found in class II members, but contain an RHD (Rel homology domain) that mediates DNA binding, nuclear localization and dimerization. NFkB1 and NFkB2 105 and 100 kDa precursors are proteolytically cleaved to 50 and 52 kDa active subunits, respectively. NFkB is predominantly localized in the cytoplasm as a complex with inhibitory IkB proteins and is released and translocated to the nucleus after phosphorylation of IkB.

Long Name

Nuclear Factor Kappa-B, Subunit 2

Alternate Names

LYT10, NF-kB2

Gene Symbol

NFKB2

Additional NFkB2 Products

Product Documents for NFkB2/NFkB p100 [p Ser866] Antibody - Azide and BSA Free

Certificate of Analysis

To download a Certificate of Analysis, please enter a lot number in the search box below.

Product Specific Notices for NFkB2/NFkB p100 [p Ser866] Antibody - Azide and BSA Free

This product is for research use only and is not approved for use in humans or in clinical diagnosis. Primary Antibodies are guaranteed for 1 year from date of receipt.

Loading...
Loading...
Loading...
Loading...

⚠ WARNING: This product can expose you to chemicals including Methotrexate, which is known to the State of California to cause reproductive toxicity with developmental effects. For more information, go to www.P65Warnings.ca.gov