Skip to main content

NFkB2/NFkB p100 Antibody (4K3V3)

Novus Biologicals, part of Bio-Techne | Catalog # NBP3-15809

Recombinant Monoclonal Antibody
Novus Biologicals, part of Bio-Techne
Catalog #
Availability
Size / Price
Qty
Loading...
NBP3-15809-100ul
NBP3-15809-20ul

Key Product Details

Species Reactivity

Human, Mouse, Rat

Applications

Immunohistochemistry, Immunohistochemistry-Paraffin, Western Blot

Label

Unconjugated

Antibody Source

Recombinant Monoclonal Rabbit IgG Clone # 4K3V3 expressed in HEK293

Concentration

Please see the vial label for concentration. If unlisted please contact technical services.

Product Specifications

Immunogen

Recombinant fusion protein containing a sequence corresponding to amino acids 745-877 of human NFkB2/NFkB p100 (Q00653). LLLNAAQNTMEPPLTPPSPAGPGLSLGDTALQNLEQLLDGPEAQGSWAELAERLGLRSLVDTYRQTTSPSGSLLRSYELAGGDLAGLLEALSDMGLEEGVRLLRGPETRDKLPSTAEVKEDSAYGSQSVEQEA

Clonality

Monoclonal

Host

Rabbit

Isotype

IgG

Description

Novus Biologicals Rabbit NFkB2/NFkB p100 Antibody (4K3V3) (NBP3-15809) is a recombinant monoclonal antibody validated for use in IHC and WB. All Novus Biologicals antibodies are covered by our 100% guarantee.

Scientific Data Images for NFkB2/NFkB p100 Antibody (4K3V3)

Western Blot: NFkB2/NFkB p100 Antibody (4K3V3) [NBP3-15809]

Western Blot: NFkB2/NFkB p100 Antibody (4K3V3) [NBP3-15809]

Western Blot: NFkB2/NFkB p100 Antibody (4K3V3) [NBP3-15809] - Western blot analysis of extracts of various cell lines, using NFkB2/NFkB p100 antibody (NBP3-15809) at 1:1000 dilution. Secondary antibody: HRP Goat Anti-Rabbit IgG (H+L) at 1:10000 dilution. Lysates/proteins: 25ug per lane. Blocking buffer: 3% nonfat dry milk in TBST. Detection: ECL Basic Kit. Exposure time: 3s.
NFkB2/NFkB p100 Antibody (4K3V3)

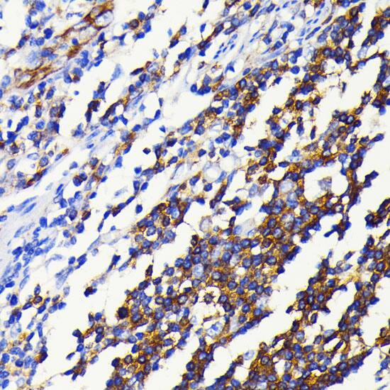
Immunohistochemistry: NFkB2/NFkB p100 Antibody (4K3V3) [NFkB2/NFkB p100] -

Immunohistochemistry: NFkB2/NFkB p100 Antibody (4K3V3) [NFkB2/NFkB p100] - Immunohistochemistry analysis of paraffin-embedded Human appendix using NFkB2/NFkB p100 Rabbit mAb at dilution of 1:100 (40x lens). Microwave antigen retrieval performed with 0.01M PBS Buffer (pH 7.2) prior to IHC staining.

Applications for NFkB2/NFkB p100 Antibody (4K3V3)

Application
Recommended Usage

Immunohistochemistry

1:50 - 1:200

Western Blot

1:500 - 1:1000

Formulation, Preparation, and Storage

Purification

Affinity purified

Formulation

PBS (pH 7.3), 50% glycerol, 0.05% BSA

Preservative

0.02% Sodium Azide

Concentration

Please see the vial label for concentration. If unlisted please contact technical services.

Shipping

The product is shipped with polar packs. Upon receipt, store it immediately at the temperature recommended below.

Stability & Storage

Store at -20C. Avoid freeze-thaw cycles.

Background: NFkB2

NFkB1 (NFkB p50) and NFkB2 (NFkB p52) are class I members of the Rel/NFkB family of transcription factors that also includes RelA, c-Rel and RelB. Rel/NFkB members regulate expression of genes that participate in immune, apoptotic and oncogenic processes. Class I members lack a C-terminal transcriptional activation segment found in class II members, but contain an RHD (Rel homology domain) that mediates DNA binding, nuclear localization and dimerization. NFkB1 and NFkB2 105 and 100 kDa precursors are proteolytically cleaved to 50 and 52 kDa active subunits, respectively. NFkB is predominantly localized in the cytoplasm as a complex with inhibitory IkB proteins and is released and translocated to the nucleus after phosphorylation of IkB.

Long Name

Nuclear Factor Kappa-B, Subunit 2

Alternate Names

LYT10, NF-kB2

Gene Symbol

NFKB2

Additional NFkB2 Products

Product Documents for NFkB2/NFkB p100 Antibody (4K3V3)

Certificate of Analysis

To download a Certificate of Analysis, please enter a lot number in the search box below.

Product Specific Notices for NFkB2/NFkB p100 Antibody (4K3V3)

This product is for research use only and is not approved for use in humans or in clinical diagnosis. Primary Antibodies are guaranteed for 1 year from date of receipt.

Loading...
Loading...
Loading...
Loading...