Skip to main content

NFIC Antibody - BSA Free

Novus Biologicals, part of Bio-Techne | Catalog # NBP1-71879

Novus Biologicals, part of Bio-Techne

Key Product Details

Validated by

Independent Antibodies

Species Reactivity

Human

Applications

Immunohistochemistry, Western Blot, Immunoprecipitation

Label

Unconjugated

Antibody Source

Polyclonal Rabbit IgG

Format

BSA Free

Concentration

1.0 mg/ml

Product Specifications

Immunogen

The immunogen for this product maps to a region between residue 250 and 300 of human Nuclear Factor I/C using the numbering given in entry EAW69324.1 (GeneID 4782).

Clonality

Polyclonal

Host

Rabbit

Isotype

IgG

Description

Novus Biologicals Rabbit NFIC Antibody - BSA Free (NBP1-71879) is a polyclonal antibody validated for use in IHC, WB and IP. All Novus Biologicals antibodies are covered by our 100% guarantee.

Scientific Data Images for NFIC Antibody - BSA Free

Western Blot: NFIC Antibody [NBP1-71879]

Western Blot: NFIC Antibody [NBP1-71879]

Western Blot: NFIC Antibody [NBP1-71879] - Whole cell lysate (1 mg for IP, 20% of IP loaded) from HeLa cells. Affinity purified rabbit anti-NFIC antibody used for IP at 6 mcg/mg lysate. NFIC was also immunoprecipitated by rabbit anti-NFIC antibody NBP1-71878, which recognizes an upstream epitope.
Immunohistochemistry: NFIC Antibody [NBP1-71879]

Immunohistochemistry: NFIC Antibody [NBP1-71879]

Immunohistochemistry: NFIC Antibody [NBP1-71879] - Samples: FFPE serial sections of mouse renal cell carcinoma. Antibody: Affinity purified rabbit anti- NFIC Cat. No. Lot1, left image used at a dilution of 1:200 (1ug/ml) and Cat. No. Lot1, right image used at a dilution of 1:1,000 (1ug/ml). Detection: DAB
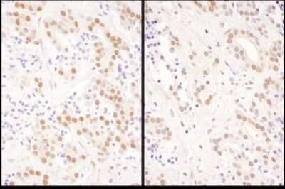
Immunohistochemistry: NFIC Antibody [NBP1-71879]

Immunohistochemistry: NFIC Antibody [NBP1-71879]

Immunohistochemistry: NFIC Antibody [NBP1-71879] - Samples: FFPE serial sections of human breast carcinoma. Antibody: Affinity purified rabbit anti- NFIC Cat. No. Lot1, left image used at a dilution of 1:200 (1ug/ml) and Cat. No. Lot1, right image used at a dilution of 1:1,000 (1ug/ml). Detection: DAB.

Applications for NFIC Antibody - BSA Free

Application
Recommended Usage

Immunoprecipitation

2-10 mcg/mg

Western Blot

1:100-1:2000

Formulation, Preparation, and Storage

Purification

Immunogen affinity purified

Formulation

Tris-Citrate/Phosphate (pH 7.0 - 8.0)

Format

BSA Free

Preservative

0.09% Sodium Azide

Concentration

1.0 mg/ml

Shipping

The product is shipped with polar packs. Upon receipt, store it immediately at the temperature recommended below.

Stability & Storage

Store at 4C. Do not freeze.

Background: NFIC

Recognizes and binds the palindromic sequence 5'-TTGGCNNNNNGCCAA-3' present in viral and cellular promoters and in the origin of replication of adenovirus type 2. These proteins are individually capable of activating transcription and replication

Alternate Names

CCAAT-binding transcription factor, CTF5, CTFCCAAT-box-binding transcription factor, MGC20153, NF1-C, NFI, NF-I, NF-I/C, NFI-C, nuclear factor 1 C-type, Nuclear factor 1/C, Nuclear factor I/C, nuclear factor I/C (CCAAT-binding transcription factor), TGGCA-binding protein

Gene Symbol

NFIC

Additional NFIC Products

Product Documents for NFIC Antibody - BSA Free

Certificate of Analysis

To download a Certificate of Analysis, please enter a lot number in the search box below.

Product Specific Notices for NFIC Antibody - BSA Free

This product is for research use only and is not approved for use in humans or in clinical diagnosis. Primary Antibodies are guaranteed for 1 year from date of receipt.

Loading...
Loading...
Loading...
Loading...
Loading...