Skip to main content

NFIC Antibody

Novus Biologicals, part of Bio-Techne | Catalog # NBP1-71878

Novus Biologicals, part of Bio-Techne
Catalog #
Availability
Size / Price
Qty
Loading...
NBP1-71878

Key Product Details

Validated by

Independent Antibodies

Species Reactivity

Validated:

Human, Mouse

Predicted:

Porcine (100%). Backed by our 100% Guarantee.

Applications

Immunohistochemistry, Immunohistochemistry-Paraffin, Immunoprecipitation, Western Blot

Label

Unconjugated

Antibody Source

Polyclonal Rabbit IgG

Concentration

0.2 mg/ml

Product Specifications

Immunogen

The immunogen for this product maps to a region between residue 200 and 250 of human Nuclear Factor I/C using the numbering given in entry EAW69324.1 (GeneID 4782).

Clonality

Polyclonal

Host

Rabbit

Isotype

IgG

Description

Novus Biologicals Rabbit NFIC Antibody (NBP1-71878) is a polyclonal antibody validated for use in IHC, WB and IP. All Novus Biologicals antibodies are covered by our 100% guarantee.

Scientific Data Images for NFIC Antibody

Western Blot: NFIC Antibody [NBP1-71878]

Western Blot: NFIC Antibody [NBP1-71878]

Western Blot: NFIC Antibody [NBP1-71878] - Whole cell lysate (5, 15 and 50 mcg for WB; 1 mg for IP, 20% of IP loaded) from HeLa cells. Affinity purified rabbit anti-NFIC antibody used for WB at 0.04 mcg/ml (A) and 1 mcg/ml (B) and used for IP at 6 mcg/mg lysate. NFIC was also immunoprecipitated by rabbit anti-NFIC antibody NBP1-71879, which recognizes a downstream epitope
Immunohistochemistry-Paraffin: NFIC Antibody [NBP1-71878]

Immunohistochemistry-Paraffin: NFIC Antibody [NBP1-71878]

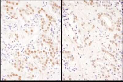
Immunohistochemistry-Paraffin: NFIC Antibody [NBP1-71878] - Samples: FFPE serial sections of mouse renal cell carcinoma. Antibody: Affinity purified rabbit anti- NFIC left image used at a dilution of 1:200 (1ug/ml), right image used at a dilution of 1:1,000 (1ug/ml). Detection: DAB
Immunohistochemistry-Paraffin: NFIC Antibody [NBP1-71878]

Immunohistochemistry-Paraffin: NFIC Antibody [NBP1-71878]

Immunohistochemistry-Paraffin: NFIC Antibody [NBP1-71878] - Samples: FFPE serial sections of human breast carcinoma. Antibody: Affinity purified rabbit anti- NFIC Cat. No. Lot1, left image used at a dilution of 1:200 (1ug/ml), right image used at a dilution of 1:1,000 (1ug/ml). Detection: DAB. Co

Applications for NFIC Antibody

Application
Recommended Usage

Immunohistochemistry

1:200 - 1:1000

Immunohistochemistry-Paraffin

1:200 - 1:1000

Immunoprecipitation

2-10 ug/mg lysate

Western Blot

1:2000-1:10000
Application Notes
Epitope retrieval with citrate buffer pH 6.0 is recommended for FFPE tissue sections.

Formulation, Preparation, and Storage

Purification

Immunogen affinity purified

Formulation

TBS and 0.1% BSA

Preservative

0.09% Sodium Azide

Concentration

0.2 mg/ml

Shipping

The product is shipped with polar packs. Upon receipt, store it immediately at the temperature recommended below.

Stability & Storage

Store at 4C. Do not freeze.

Background: NFIC

Recognizes and binds the palindromic sequence 5'-TTGGCNNNNNGCCAA-3' present in viral and cellular promoters and in the origin of replication of adenovirus type 2. These proteins are individually capable of activating transcription and replication

Alternate Names

CCAAT-binding transcription factor, CTF5, CTFCCAAT-box-binding transcription factor, MGC20153, NF1-C, NFI, NF-I, NF-I/C, NFI-C, nuclear factor 1 C-type, Nuclear factor 1/C, Nuclear factor I/C, nuclear factor I/C (CCAAT-binding transcription factor), TGGCA-binding protein

Gene Symbol

NFIC

Additional NFIC Products

Product Documents for NFIC Antibody

Certificate of Analysis

To download a Certificate of Analysis, please enter a lot number in the search box below.

Product Specific Notices for NFIC Antibody

This product is for research use only and is not approved for use in humans or in clinical diagnosis. Primary Antibodies are guaranteed for 1 year from date of receipt.

Loading...
Loading...
Loading...
Loading...