Skip to main content

NFIC Antibody (1C12-2A2) - Azide and BSA Free

Novus Biologicals, part of Bio-Techne | Catalog # H00004782-M01

Novus Biologicals, part of Bio-Techne
Catalog #
Availability
Size / Price
Qty
Loading...
H00004782-M01

Key Product Details

Species Reactivity

Human, Mouse

Applications

Immunohistochemistry, Immunohistochemistry-Paraffin, Western Blot, ELISA, Immunocytochemistry/ Immunofluorescence, Knockdown Validated

Label

Unconjugated

Antibody Source

Monoclonal Mouse IgG1 kappa Clone # 1C12-2A2

Format

Azide and BSA Free

Concentration

Concentrations vary lot to lot. See vial label for concentration. If unlisted please contact technical services.

Product Specifications

Immunogen

NFIC (AAH12120, 1 a.a. ~ 428 a.a) full-length recombinant protein with GST tag. MW of the GST tag alone is 26 KDa. MYSSPLCLTQDEFHPFIEALLPHVRAFAYTWFNLQARKRKYFKKHEKRMSKDEERAVKDELLGEKPEVKQKWASRLLAKLRKDIRPECREDFVLSITGKKAPGCVLSNPDQKGKMRRIDCLRQADKVWRLDLVMVILFKGIPLESTDGERLVKAAQCGHPVLCVQPHHIGVAVKELDLYLAYFVRERDAEQSGSPRTGMGSDQEDSKPITLDTTDFQESFVTSGVFSVTELIQVSRTPVVTGTGPNFSLGELQGHLAYDLNPASTGLRRTLPSTSSSGSKRHKSGSMEEDVDTSPGGDYYTSPSSPTSSCRNWTEDMEGGISSPVKKTEMDKSPFNSPSPQDSPRLSSFTQHHRPVIAVHSGIARSPHPSSALHFPTTSILPQTASTYFPHTAIRYPPHLNPQDPLKDLVSLACDPASQQPGPSWYLG

Specificity

NFIC - nuclear factor I/C (CCAAT-binding transcription factor)

Clonality

Monoclonal

Host

Mouse

Isotype

IgG1 kappa

Description

Quality control test: Antibody Reactive Against Recombinant Protein.

Scientific Data Images for NFIC Antibody (1C12-2A2) - Azide and BSA Free

Western Blot: NFIC Antibody (1C12-2A2) [H00004782-M01]

Western Blot: NFIC Antibody (1C12-2A2) [H00004782-M01]

Western Blot: NFIC Antibody (1C12-2A2) [H00004782-M01] - Analysis of NFIC expression in transfected 293T cell line by NFIC monoclonal antibody (M01), clone 1C12-2A2.Lane 1: NFIC transfected lysate(47.6 KDa).Lane 2: Non-transfected lysate.
Immunocytochemistry/ Immunofluorescence: NFIC Antibody (1C12-2A2) [H00004782-M01]

Immunocytochemistry/ Immunofluorescence: NFIC Antibody (1C12-2A2) [H00004782-M01]

Immunocytochemistry/Immunofluorescence: NFIC Antibody (1C12-2A2) [H00004782-M01] - Analysis of monoclonal antibody to NFIC on HeLa cell. Antibody concentration 10 ug/ml.
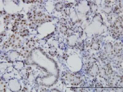
Immunohistochemistry-Paraffin: NFIC Antibody (1C12-2A2) [H00004782-M01]

Immunohistochemistry-Paraffin: NFIC Antibody (1C12-2A2) [H00004782-M01]

Immunohistochemistry-Paraffin: NFIC Antibody (1C12-2A2) [H00004782-M01] - Analysis of monoclonal antibody to NFIC on formalin-fixed paraffin-embedded human salivary gland. Antibody concentration 3 ug/ml.

Applications for NFIC Antibody (1C12-2A2) - Azide and BSA Free

Application
Recommended Usage

Western Blot

1:500
Application Notes
Antibody reactivity against recominant protein and cell lysate for WB. It has been used for IF, IHC-P, RNAi Validation and ELISA.

Formulation, Preparation, and Storage

Purification

IgG purified

Formulation

In 1x PBS, pH 7.4

Format

Azide and BSA Free

Preservative

No Preservative

Concentration

Concentrations vary lot to lot. See vial label for concentration. If unlisted please contact technical services.

Shipping

The product is shipped with polar packs. Upon receipt, store it immediately at the temperature recommended below.

Stability & Storage

Aliquot and store at -20C or -80C. Avoid freeze-thaw cycles.

Background: NFIC

Recognizes and binds the palindromic sequence 5'-TTGGCNNNNNGCCAA-3' present in viral and cellular promoters and in the origin of replication of adenovirus type 2. These proteins are individually capable of activating transcription and replication

Alternate Names

CCAAT-binding transcription factor, CTF5, CTFCCAAT-box-binding transcription factor, MGC20153, NF1-C, NFI, NF-I, NF-I/C, NFI-C, nuclear factor 1 C-type, Nuclear factor 1/C, Nuclear factor I/C, nuclear factor I/C (CCAAT-binding transcription factor), TGGCA-binding protein

Entrez Gene IDs

4782 (Human)

Gene Symbol

NFIC

OMIM

600729 (Human)

Additional NFIC Products

Product Documents for NFIC Antibody (1C12-2A2) - Azide and BSA Free

Certificate of Analysis

To download a Certificate of Analysis, please enter a lot number in the search box below.

Product Specific Notices for NFIC Antibody (1C12-2A2) - Azide and BSA Free

This product is produced by and distributed for Abnova, a company based in Taiwan.

This product is for research use only and is not approved for use in humans or in clinical diagnosis. Primary Antibodies are guaranteed for 1 year from date of receipt.

Loading...
Loading...
Loading...
Loading...