Skip to main content

NFIB Antibody (JE35-21)

Novus Biologicals, part of Bio-Techne | Catalog # NBP3-32647

Recombinant Monoclonal Antibody
Novus Biologicals, part of Bio-Techne
Catalog #
Availability
Size / Price
Qty
Loading...
NBP3-32647

Key Product Details

Species Reactivity

Human, Mouse, Rat

Applications

Immunocytochemistry/ Immunofluorescence, Immunohistochemistry, Immunohistochemistry-Paraffin, Western Blot

Label

Unconjugated

Antibody Source

Recombinant Monoclonal Rabbit IgG Clone # JE35-21 expressed in HEK293

Concentration

1 mg/ml

Product Specifications

Immunogen

Synthetic peptide within Human NFIB aa 371-420 / 420. (Uniprot: O00712)

Localization

Nucleus

Clonality

Monoclonal

Host

Rabbit

Isotype

IgG

Theoretical MW

47 kDa.
Disclaimer note: The observed molecular weight of the protein may vary from the listed predicted molecular weight due to post translational modifications, post translation cleavages, relative charges, and other experimental factors.

Description

Novus Biologicals Rabbit NFIB Antibody (JE35-21) (NBP3-32647) is a recombinant monoclonal antibody validated for use in IHC, WB and ICC/IF. All Novus Biologicals antibodies are covered by our 100% guarantee.

Scientific Data Images for NFIB Antibody (JE35-21)

NFIB Antibody (JE35-21)

Western Blot: NFIB Antibody (JE35-21) [NBP3-32647]

Western Blot: NFIB Antibody (JE35-21) [NBP3-32647] - Western blot analysis of NFIB on different lysates with Rabbit anti-NFIB antibody (NBP3-32647) at 1/10,000 dilution.

Lane 1: SH-SY5Y cell lysate (20 ug/Lane)
Lane 2: C6 cell lysate (20 ug/Lane)
Lane 3: Human lung tissue lysate (40 ug/Lane)
Lane 4: Mouse lung tissue lysate (40 ug/Lane)

Predicted band size: 47 kDa
Observed band size: 47 kDa

Exposure time: 1 minute 2 seconds;

4-20% SDS-PAGE gel.

Proteins were transferred to a PVDF membrane and blocked with 5% NFDM/TBST for 1 hour at room temperature. The primary antibody (NBP3-32647) at 1/10,000 dilution was used in 5% NFDM/TBST at 4 overnight. Goat Anti-Rabbit IgG - HRP Secondary Antibody at 1/50,000 dilution was used for 1 hour at room temperature.
NFIB Antibody (JE35-21)

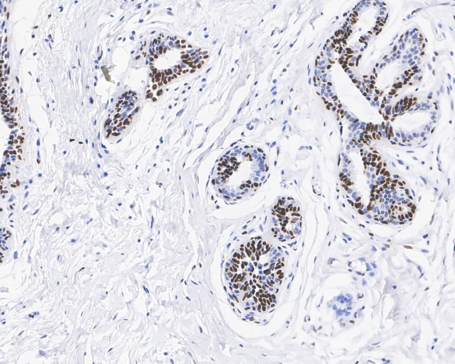
Immunohistochemistry: NFIB Antibody (JE35-21) [NBP3-32647]

Immunohistochemistry: NFIB Antibody (JE35-21) [NBP3-32647] - Immunohistochemical analysis of paraffin-embedded human breast tissue with Rabbit anti-NFIB antibody (NBP3-32647) at 1/2,000 dilution.

The section was pre-treated using heat mediated antigen retrieval with sodium citrate buffer (pH 6.0) for 2 minutes. The tissues were blocked in 1% BSA for 20 minutes at room temperature, washed with ddH2O and PBS, and then probed with the primary antibody (NBP3-32647) at 1/2,000 dilution for 1 hour at room temperature. The detection was performed using an HRP conjugated compact polymer system. DAB was used as the chromogen. Tissues were counterstained with hematoxylin and mounted with DPX.
NFIB Antibody (JE35-21)

Immunocytochemistry/ Immunofluorescence: NFIB Antibody (JE35-21) [NBP3-32647]

Immunocytochemistry/ Immunofluorescence: NFIB Antibody (JE35-21) [NBP3-32647] - Immunocytochemistry analysis of HeLa cells labeling NFIB with Rabbit anti-NFIB antibody (NBP3-32647) at 1/100 dilution.

Cells were fixed in 4% paraformaldehyde for 20 minutes at room temperature, permeabilized with 0.1% Triton X-100 in PBS for 5 minutes at room temperature, then blocked with 1% BSA in 10% negative goat serum for 1 hour at room temperature. Cells were then incubated with Rabbit anti-NFIB antibody (NBP3-32647) at 1/100 dilution in 1% BSA in PBST overnight at 4 ℃. Goat Anti-Rabbit IgG H&L (iFluor™ 488) was used as the secondary antibody at 1/1,000 dilution. PBS instead of the primary antibody was used as the secondary antibody only control. Nuclear DNA was labelled in blue with DAPI.

Applications for NFIB Antibody (JE35-21)

Application
Recommended Usage

Immunocytochemistry/ Immunofluorescence

1:100

Immunohistochemistry-Paraffin

1:500-1:2000

Western Blot

1:5000-1:10000

Formulation, Preparation, and Storage

Purification

Protein A purified

Formulation

1*TBS (pH7.4), 0.05% BSA and 40% Glycerol

Preservative

0.05% Sodium Azide

Concentration

1 mg/ml

Shipping

The product is shipped with polar packs. Upon receipt, store it immediately at the temperature recommended below.

Stability & Storage

Store at 4C short term. Aliquot and store at -20C long term. Avoid freeze-thaw cycles.

Background: NFIB

Recognizes and binds the palindromic sequence 5'-TTGGCNNNNNGCCAA-3' present in viral and cellular promoters and in the origin of replication of adenovirus type 2. These proteins are individually capable of activating transcription and replication

Alternate Names

CCAAT-box-binding transcription factor, CTF, HMGIC/NFIB, NF-I/B, NFI-B, NFIB2, NFIB3, NFI-RED, nuclear factor 1 B-type, Nuclear factor 1/B, nuclear factor I/BNF1-B, TGGCA-binding protein

Gene Symbol

NFIB

Additional NFIB Products

Product Documents for NFIB Antibody (JE35-21)

Certificate of Analysis

To download a Certificate of Analysis, please enter a lot number in the search box below.

Product Specific Notices for NFIB Antibody (JE35-21)

This product is for research use only and is not approved for use in humans or in clinical diagnosis. Primary Antibodies are guaranteed for 1 year from date of receipt.

Loading...
Loading...
Loading...
Loading...