Skip to main content

NF-H Antibody (NF421)

Novus Biologicals, part of Bio-Techne | Catalog # NBP2-29629

Novus Biologicals, part of Bio-Techne
Catalog #
Availability
Size / Price
Qty
Loading...
NBP2-29629
NBP2-29629-20ug

Key Product Details

Species Reactivity

Human, Mouse, Rat, Porcine, Chicken

Applications

Immunohistochemistry, Immunohistochemistry-Paraffin, Western Blot, Flow Cytometry, Immunocytochemistry/ Immunofluorescence

Label

Unconjugated

Antibody Source

Monoclonal Mouse IgG1 kappa Clone # NF421

Concentration

0.2 mg/ml

Product Specifications

Immunogen

Recombinant full-length human NF-H protein (Uniprot: P12036)

Localization

Cytoplasmic

Specificity

This monoclonal antibody reacts with a 200kDa protein, identified as heavy sub-unit of neurofilaments (NF-H). Neurofilaments make up the main structural elements of axons and dendrites and are found in neurons, peripheral nerves, and sympathetic ganglion cells. Neurofilaments consist of three major subunits with molecular weights of 68kDa (NF-L), 160kDa (NF-M) and 200kDa (NF-H). Anti-neurofilament stains a number of neural, neuroendocrine, and endocrine tumors. Neuromas, ganglioneuromas, gangliogliomas, ganglioneuroblastomas, and neuroblastomas stain positively for anti-neurofilament. Neurofilaments are also present in paragangliomas as well as adrenal and extra-adrenal pheochromocytomas. Carcinoids, neuroendocrine carcinomas of the skin, and oat cell carcinomas of the lung also express neurofilament.

Marker

Neuronal Marker

Clonality

Monoclonal

Host

Mouse

Isotype

IgG1 kappa

Theoretical MW

200 kDa.
Disclaimer note: The observed molecular weight of the protein may vary from the listed predicted molecular weight due to post translational modifications, post translation cleavages, relative charges, and other experimental factors.

Description

200ug/ml of antibody purified from Bioreactor Concentrate by Protein A or G. Prepared in 10 mM PBS with 0.05% BSA & 0.05% azide. Also available WITHOUT BSA & azide at 1.0 mg/ml. (NBP2-33102)

Antibody with azide - store at 2 to 8C. Antibody without azide - store at -20 to -80C.

Scientific Data Images for NF-H Antibody (NF421)

Western Blot: NF-H Antibody (NF421) [NBP2-29629]

Western Blot: NF-H Antibody (NF421) [NBP2-29629]

Western Blot: NF-H Antibody (NF421) [NBP2-29629] - Western Blot Analysis of Human Brain Tissue Lysate using NF-H antibody (NF421).
Immunocytochemistry/ Immunofluorescence: NF-H Antibody (NF421) [NBP2-29629]

Immunocytochemistry/ Immunofluorescence: NF-H Antibody (NF421) [NBP2-29629]

Immunocytochemistry/Immunofluorescence: NF-H Antibody (NF421) [NBP2-29629] - Immunofluorescence staining of HEK293 cells using NF-H Antibody (NF421) followed by goat anti-Mouse IgG conjugated to CF488 (green). Membrane stained with Phalloidin (Red).
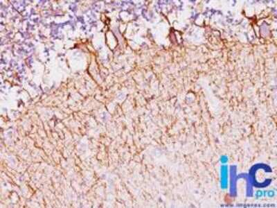
Immunohistochemistry-Paraffin: NF-H Antibody (NF421) [NBP2-29629]

Immunohistochemistry-Paraffin: NF-H Antibody (NF421) [NBP2-29629]

Immunohistochemistry-Paraffin: NF-H Antibody (NF421) [NBP2-29629] - Formalin-fixed, paraffin-embedded Rat Cerebellum stained with NF-H Antibody (NF421).

Applications for NF-H Antibody (NF421)

Application
Recommended Usage

Flow Cytometry

1-2 ug/million cells

Immunocytochemistry/ Immunofluorescence

1-2 ug/ml

Immunohistochemistry

0.5-1ug/ml

Immunohistochemistry-Paraffin

0.25-0.5 ug/ml

Western Blot

1-2 ug/ml
Application Notes
Immunohistochemistry (Formalin-fixed): 0.25-0.5ug/ml for 30 minutes at RT. Staining of formalin-fixed tissues requires heating tissue sections in 10mM Tris with 1mM EDTA, pH 9.0, for 45 min at 95C followed by cooling at RT for 20 minutes.
Optimal dilution for a specific application should be determined.

Formulation, Preparation, and Storage

Purification

Protein A or G purified

Formulation

10 mM PBS with 0.05% BSA

Preservative

0.05% Sodium Azide

Concentration

0.2 mg/ml

Shipping

The product is shipped with polar packs. Upon receipt, store it immediately at the temperature recommended below.

Stability & Storage

Store at 4C.

Background: NF-H

Neurofilaments (NFs), the intermediate filaments (IFs) specific to neurons, is the predominant cytoskeletal elements in many nerve cells. They are believed not only to confer mechanical stability, but also to play a role in determining axonal caliber. The human NF-H gene has three introns, two of which interrupt the protein-coding sequence at identical points to introns in the genes for the two smaller Neurofilament proteins, NF-M and NF-L having mol. wts predicted from their gene sequences of - 110 000, - 102 000 and - 62 000 respectively. Each type of Neurofilament contains a central a-helical 'rod' domain of - 310 amino acids, characterized by a heptad repeat in the amino acid sequence in which the first and fourth residues are apolar. Perikaryal NFs are predominantly unphosphorylated, while axonal NFs are highly phosphorylated. Defect in NFH causes susceptibility to amyotrophic lateral sclerosis. It has an important function in mature axons.

Long Name

Neurofilament Protein, Heavy Chain

Alternate Names

NEFH, NFH

Gene Symbol

NEFH

UniProt

Additional NF-H Products

Product Documents for NF-H Antibody (NF421)

Certificate of Analysis

To download a Certificate of Analysis, please enter a lot number in the search box below.

Product Specific Notices for NF-H Antibody (NF421)

This product is for research use only and is not approved for use in humans or in clinical diagnosis. Primary Antibodies are guaranteed for 1 year from date of receipt.

Loading...
Loading...
Loading...
Loading...
Loading...