Neuroplastin Antibody (OTI3C4) - Azide and BSA Free
Novus Biologicals, part of Bio-Techne | Catalog # NBP2-72966
Conjugate
Catalog #
Key Product Details
Species Reactivity
Human, Rat, Canine, Monkey
Applications
Immunohistochemistry, Immunohistochemistry-Paraffin, Western Blot, Flow Cytometry, Immunocytochemistry/ Immunofluorescence
Label
Unconjugated
Antibody Source
Monoclonal Mouse IgG1 Clone # OTI3C4
Format
Azide and BSA Free
Concentration
LYOPH mg/ml
Product Specifications
Immunogen
Full length human recombinant protein of human NPTN(NP_059429) produced in HEK293T cell.
Clonality
Monoclonal
Host
Mouse
Isotype
IgG1
Theoretical MW
28.7 kDa.
Disclaimer note: The observed molecular weight of the protein may vary from the listed predicted molecular weight due to post translational modifications, post translation cleavages, relative charges, and other experimental factors.
Disclaimer note: The observed molecular weight of the protein may vary from the listed predicted molecular weight due to post translational modifications, post translation cleavages, relative charges, and other experimental factors.
Description
Novus Biologicals Mouse Neuroplastin Antibody (OTI3C4) - Azide and BSA Free (NBP2-01793) is a monoclonal antibody validated for use in IHC, WB, Flow and ICC/IF. All Novus Biologicals antibodies are covered by our 100% guarantee.
Scientific Data Images for Neuroplastin Antibody (OTI3C4) - Azide and BSA Free
Western Blot: Neuroplastin Antibody (OTI3C4)Azide and BSA Free [NBP2-72966]
Western Blot: Neuroplastin Antibody (OTI3C4) - Azide and BSA Free [NBP2-72966] - HEK293T cells were transfected with the pCMV6-ENTRY control (Left lane) or pCMV6-ENTRY NPTN (Right lane) cDNA for 48 hrs and lysed. Equivalent amounts of cell lysates (5 ug per lane) were separated by SDS-PAGE and immunoblotted with anti-NPTN.Immunohistochemistry: Neuroplastin Antibody (OTI3C4) - Azide and BSA Free [NBP2-72966]
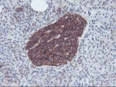
Immunohistochemistry: Neuroplastin Antibody (OTI3C4) - Azide and BSA Free [NBP2-72966] - Staining of paraffin-embedded Human liver tissue using anti-NPTN mouse monoclonal antibody.Flow Cytometry: Neuroplastin Antibody (OTI3C4) - Azide and BSA Free [NBP2-72966]
Flow Cytometry: Neuroplastin Antibody (OTI3C4) - Azide and BSA Free [NBP2-72966] - Staining of COS7 cells transiently transfected by pCMV6-ENTRY NPTN.Applications for Neuroplastin Antibody (OTI3C4) - Azide and BSA Free
Application
Recommended Usage
Immunocytochemistry/ Immunofluorescence
1:100
Immunohistochemistry
1:150
Western Blot
1:500-2000
Formulation, Preparation, and Storage
Purification
Immunogen affinity purified
Reconstitution
we recommend adding 100uL distilled water to a final antibody concentration of about 1 mg/mL. To use this carrier-free antibody for conjugation experiment, we strongly recommend performing another round of desalting process.
Formulation
Lyophilized from PBS (pH 7.3) with 8% Trehalose
Format
Azide and BSA Free
Preservative
No Preservative
Concentration
LYOPH mg/ml
Shipping
The product is shipped with polar packs. Upon receipt, store it immediately at the temperature recommended below.
Stability & Storage
Store at -20C. Avoid freeze-thaw cycles.
Background: Neuroplastin
Alternate Names
AW554172, GP55, GP66, NPTN, SDFR1, SDR1
Gene Symbol
NPTN
Additional Neuroplastin Products
Product Documents for Neuroplastin Antibody (OTI3C4) - Azide and BSA Free
Product Specific Notices for Neuroplastin Antibody (OTI3C4) - Azide and BSA Free
This product is for research use only and is not approved for use in humans or in clinical diagnosis. Primary Antibodies are guaranteed for 1 year from date of receipt.
Loading...
Loading...
Loading...
Loading...
Loading...
Loading...