Skip to main content

Neuropeptide FF R1/NPFFR1 Antibody - BSA Free

Novus Biologicals, part of Bio-Techne | Catalog # NLS1903

Novus Biologicals, part of Bio-Techne
Catalog #
Availability
Size / Price
Qty
Loading...
NLS1903

Key Product Details

Species Reactivity

Validated:

Human, Porcine, Bovine, Equine, Monkey, Primate, Rabbit

Predicted:

Canine (95%), Mouse (95%), Rat (95%). Backed by our 100% Guarantee.

Applications

Immunohistochemistry, Immunohistochemistry-Paraffin

Label

Unconjugated

Antibody Source

Polyclonal Rabbit IgG

Format

BSA Free

Concentration

1.0 mg/ml

Product Specifications

Immunogen

Synthetic 20 amino acid peptide from 2nd extracellular domain of human Neuropeptide FF R1/NPFFR1.

Epitope

2nd extracellular domain

Reactivity Notes

Predicted cross-reactivity based on sequence identity: Gorilla (100%), Gibbon (100%), Marmoset (100%), Turkey (85%), Chicken (85%), Opossum (80%).

Localization

Multi-pass membrane protein

Specificity

Human Neuropeptide FF R1/NPFFR1. BLAST analysis of the peptide immunogen showed no homology with other human proteins.

Clonality

Polyclonal

Host

Rabbit

Isotype

IgG

Description

Product can be stored undiluted at 4C for up to 1 month.

Scientific Data Images for Neuropeptide FF R1/NPFFR1 Antibody - BSA Free

Immunohistochemistry-Paraffin: Neuropeptide FF R1/NPFFR1 Antibody - BSA Free [NLS1903]

Immunohistochemistry-Paraffin: Neuropeptide FF R1/NPFFR1 Antibody - BSA Free [NLS1903]

Immunohistochemistry-Paraffin: Neuropeptide FF R1/NPFFR1 Antibody [NLS1903] - Anti-NPFFR1 / GPR147 antibody IHC of human Lymph Node, Hodgkins Lymphoma. Immunohistochemistry of formalin-fixed, paraffin-embedded tissue after heat-induced antigen retrieval.
Immunohistochemistry-Paraffin: Neuropeptide FF R1/NPFFR1 Antibody - BSA Free [NLS1903]

Immunohistochemistry-Paraffin: Neuropeptide FF R1/NPFFR1 Antibody - BSA Free [NLS1903]

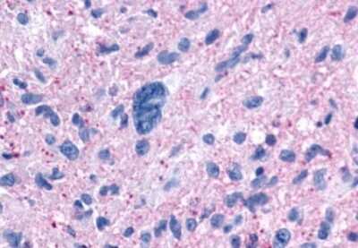
Immunohistochemistry-Paraffin: Neuropeptide FF R1/NPFFR1 Antibody [NLS1903] - Analysis of anti-NPFF1 Receptor antibody with human brain, neurons at 19 ug/ml.
Immunohistochemistry-Paraffin: Neuropeptide FF R1/NPFFR1 Antibody - BSA Free [NLS1903]

Immunohistochemistry-Paraffin: Neuropeptide FF R1/NPFFR1 Antibody - BSA Free [NLS1903]

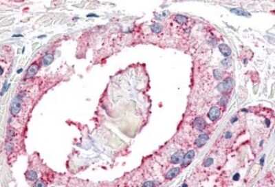
Immunohistochemistry-Paraffin: Neuropeptide FF R1/NPFFR1 Antibody [NLS1903] - Anti-NPFFR1 / GPR147 antibody IHC of human Breast, Carcinoma. Immunohistochemistry of formalin-fixed, paraffin-embedded tissue after heat-induced antigen retrieval.

Applications for Neuropeptide FF R1/NPFFR1 Antibody - BSA Free

Application
Recommended Usage

Immunohistochemistry-Paraffin

19 ug/ml
Application Notes
.

Formulation, Preparation, and Storage

Purification

Immunogen affinity purified

Formulation

PBS

Format

BSA Free

Preservative

0.1% Sodium Azide

Concentration

1.0 mg/ml

Shipping

The product is shipped with polar packs. Upon receipt, store it immediately at the temperature recommended below.

Stability & Storage

Keep as concentrated solution. Aliquot and store at -20C or below. Avoid multiple freeze-thaw cycles.

Background: Neuropeptide FF R1/NPFFR1

The Neuropeptide FF 1 Receptor (NPFF1) is a member of the Neuropeptide Receptor GPCR family. The ligand, neuropeptide FF, is believed to play a role in pain modulation and opiate tolerance. NPFF1 expression has been documented in the central nervous system and brain hypothalmus. Very low levels have been detected in the periphery.

Long Name

Neuropeptide FF Receptor 1

Alternate Names

GPR147, Neuropeptide FFR1, NPFF1, NPFF1R1, NPFFR1

Entrez Gene IDs

64106 (Human)

Gene Symbol

NPFFR1

Additional Neuropeptide FF R1/NPFFR1 Products

Product Documents for Neuropeptide FF R1/NPFFR1 Antibody - BSA Free

Certificate of Analysis

To download a Certificate of Analysis, please enter a lot number in the search box below.

Product Specific Notices for Neuropeptide FF R1/NPFFR1 Antibody - BSA Free

This product is for research use only and is not approved for use in humans or in clinical diagnosis. Primary Antibodies are guaranteed for 1 year from date of receipt.

Loading...
Loading...
Loading...
Loading...