Skip to main content

Neurogenin-3 Antibody (NGN3/1809)

Novus Biologicals, part of Bio-Techne | Catalog # NBP3-26833

Novus Biologicals, part of Bio-Techne
Catalog #
Availability
Size / Price
Qty
Loading...
NBP3-26833-20ug
NBP3-26833-100ug

Key Product Details

Species Reactivity

Human

Applications

Immunohistochemistry-Paraffin

Label

Unconjugated

Antibody Source

Monoclonal Mouse IgG2b Kappa Clone # NGN3/1809

Concentration

0.2 mg/ml

Product Specifications

Immunogen

Recombinant fragment (around aa1-200) of human Neurogenin-3 protein (exact sequence is proprietary)

Localization

Nucleus

Clonality

Monoclonal

Host

Mouse

Isotype

IgG2b Kappa

Description

Antibody with azide - store at 2 to 8C. Antibody without azide - store at -20 to -80C. Non-hazardous. No MSDS required.

Scientific Data Images for Neurogenin-3 Antibody (NGN3/1809)

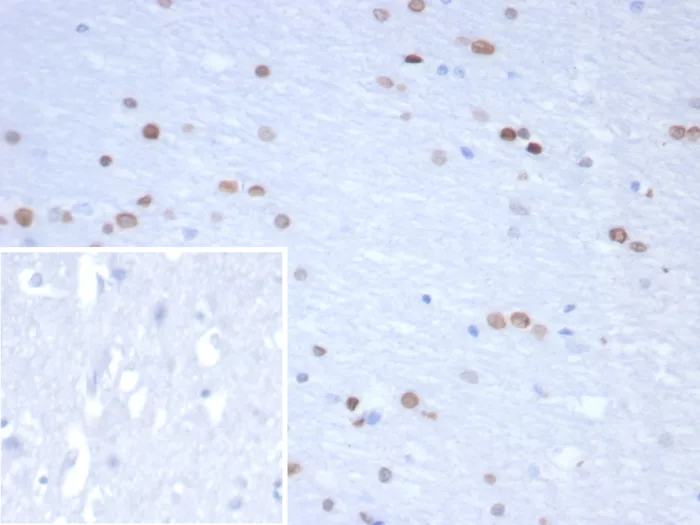
Neurogenin-3 Antibody (NGN3/1809)

Immunohistochemistry-Paraffin: Neurogenin-3 Antibody (NGN3/1809) [NBP3-26833 ] -

Formalin-fixed, paraffin-embedded human brain stained with Neurogenin-3 Antibody (NGN3/1809) Inset: PBS instead of primary antibody; secondary only negative control.
Neurogenin-3 Antibody (NGN3/1809)

Immunohistochemistry-Paraffin: Neurogenin-3 Antibody (NGN3/1809) [NBP3-26833 ] -

Formalin-fixed, paraffin-embedded human brain stained with Neurogenin-3 Antibody (NGN3/1809) HIER: Tris/EDTA, pH9.0, 45min. 2°C: HRP-polymer, 30min. DAB, 5min.

Applications for Neurogenin-3 Antibody (NGN3/1809)

Application
Recommended Usage

Immunohistochemistry-Paraffin

1-2ug/ml for 30 minutes at RT
Application Notes
Immunohistochemistry-Paraffin 1-2ug/ml for 30 minutes at RT. Optimal dilution for a specific application should be determined.. Staining of formalin-fixed tissues requires heating tissue sections in 10mM Tris with 1mM EDTA, pH 9.0, for 45 min at 95C followed by cooling at RT for 20 minutes

Formulation, Preparation, and Storage

Purification

Protein A or G purified

Formulation

10mM PBS with 0.05% BSA

Preservative

0.05% Sodium Azide

Concentration

0.2 mg/ml

Shipping

The product is shipped with polar packs. Upon receipt, store it immediately at the temperature recommended below.

Stability & Storage

Store at 4C.

Background: Neurogenin-3

Neurogenin-3 (NEUROG3) is expressed in endocrine progenitor cells and is required for endocrine cell development in the pancreas and intestine (Wang et al., 2006 [PubMed 16855267]). It belongs to a family of basic helix-loop-helix transcription factors involved in the determination of neural precursor cells in the neuroectoderm (Gradwohl et al., 2000 [PubMed 10677506]).[supplied by OMIM]

Alternate Names

Atoh5, Math4B, NEUROG3, Neurogenin3, Relax

Gene Symbol

NEUROG3

Additional Neurogenin-3 Products

Product Documents for Neurogenin-3 Antibody (NGN3/1809)

Certificate of Analysis

To download a Certificate of Analysis, please enter a lot number in the search box below.

Product Specific Notices for Neurogenin-3 Antibody (NGN3/1809)

This product is for research use only and is not approved for use in humans or in clinical diagnosis. Primary Antibodies are guaranteed for 1 year from date of receipt.

Loading...
Loading...
Loading...
Loading...