Skip to main content

NeuroD2 Antibody (PCRP-NEUROD2-1G1) - Azide and BSA Free

Novus Biologicals, part of Bio-Techne | Catalog # NBP3-14015

Novus Biologicals, part of Bio-Techne

Key Product Details

Species Reactivity

Human

Applications

ELISA, Flow Cytometry, Immunocytochemistry/ Immunofluorescence, Immunoprecipitation, Protein Array

Label

Unconjugated

Antibody Source

Monoclonal Mouse IgG2b Kappa Clone # PCRP-NEUROD2-1G1

Format

Azide and BSA Free

Concentration

1 mg/ml

Product Specifications

Immunogen

Recombinant full-length human NeuroD2 protein (Uniprot: Q15784)

Localization

Nucleus

Clonality

Monoclonal

Host

Mouse

Isotype

IgG2b Kappa

Theoretical MW

41 kDa.
Disclaimer note: The observed molecular weight of the protein may vary from the listed predicted molecular weight due to post translational modifications, post translation cleavages, relative charges, and other experimental factors.

Description

1.0 mg/ml of antibody purified from Bioreactor Concentrate by Protein A/G. Prepared in 10mM PBS WITHOUT BSA & azide. Also available at 200 ug/ml WITH BSA & azide (NBP3-13981).

Antibody with azide - store at 2 to 8C. Antibody without azide - store at -20 to -80 C.

Scientific Data Images for NeuroD2 Antibody (PCRP-NEUROD2-1G1) - Azide and BSA Free

Protein Array: NeuroD2 Antibody (PCRP-NEUROD2-1G1) - Azide and BSA Free [NBP3-14015]

Protein Array: NeuroD2 Antibody (PCRP-NEUROD2-1G1) - Azide and BSA Free [NBP3-14015]

Protein Array: NeuroD2 Antibody (PCRP-NEUROD2-1G1) - Azide and BSA Free [NBP3-14015] - Analysis of Protein Array containing more than 19,000 full-length human proteins using NeuroD2 Antibody (PCRP-NEUROD2-1G1).
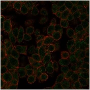
NeuroD2 Antibody (PCRP-NEUROD2-1G1) - Azide and BSA Free Immunocytochemistry/ Immunofluorescence: NeuroD2 Antibody (PCRP-NEUROD2-1G1) - Azide and BSA Free [NBP3-14015] -

Immunocytochemistry/ Immunofluorescence: NeuroD2 Antibody (PCRP-NEUROD2-1G1) - Azide and BSA Free [NBP3-14015] -

Immunofluorescence Analysis of PFA-fixed HeLa cells stained using NeuroD2 Antibody (PCRP-NEUROD2-1G1) - Azide and BSA Free followed by goat anti-mouse IgG-CF488 (green). CF640A phalloidin (red).
NeuroD2 Antibody (PCRP-NEUROD2-1G1) - Azide and BSA Free Flow Cytometry: NeuroD2 Antibody (PCRP-NEUROD2-1G1) - Azide and BSA Free [NBP3-14015] -

Flow Cytometry: NeuroD2 Antibody (PCRP-NEUROD2-1G1) - Azide and BSA Free [NBP3-14015] -

Flow cytometric analysis of PFA-fixed HeLa cells. NeuroD2 Antibody (PCRP-NEUROD2-1G1) - Azide and BSA Free followed by goat anti-mouse IgG-CF488 (blue); isotype control (red).

Applications for NeuroD2 Antibody (PCRP-NEUROD2-1G1) - Azide and BSA Free

Application
Recommended Usage

Flow Cytometry

1-2 ug/million cells

Immunocytochemistry/ Immunofluorescence

1-2 ug/ml

Immunoprecipitation

1-2 ug per 100-500 ug protein
Application Notes
ELISA: For coating, order this antibody without BSA

Immunoprecipitation: 1-2ug per 100-500ug of total protein (1ml of cell lysate)

Formulation, Preparation, and Storage

Purification

Protein A or G purified

Formulation

10mM PBS

Format

Azide and BSA Free

Preservative

No Preservative

Concentration

1 mg/ml

Shipping

The product is shipped with polar packs. Upon receipt, store it immediately at the temperature recommended below.

Stability & Storage

Store at -20 to -80C. Avoid freeze-thaw cycles.

Background: NeuroD2

The NeuroD2 gene encodes a member of the neuroD family of neurogenic basic helix-loop-helix (bHLH) proteins. Expression of this gene can induce transcription from neuron-specific promoters, such as the GAP-43 promoter, which contain a specific DNA sequence known

Long Name

Neurogenic Differentiation Factor 2

Alternate Names

NDRF

Gene Symbol

NEUROD2

Additional NeuroD2 Products

Product Documents for NeuroD2 Antibody (PCRP-NEUROD2-1G1) - Azide and BSA Free

Certificate of Analysis

To download a Certificate of Analysis, please enter a lot number in the search box below.

Product Specific Notices for NeuroD2 Antibody (PCRP-NEUROD2-1G1) - Azide and BSA Free

This product is for research use only and is not approved for use in humans or in clinical diagnosis. Primary Antibodies are guaranteed for 1 year from date of receipt.

Loading...
Loading...
Loading...
Loading...
Loading...