Skip to main content

Neurobeachin Antibody - BSA Free

Novus Biologicals, part of Bio-Techne | Catalog # NBP1-90004

Novus Biologicals, part of Bio-Techne
Catalog #
Availability
Size / Price
Qty
Loading...
NBP1-90004
NBP1-90004-25ul

Key Product Details

Validated by

Orthogonal Validation, Independent Antibodies

Species Reactivity

Human

Applications

Immunohistochemistry, Immunohistochemistry-Paraffin, Immunocytochemistry/ Immunofluorescence

Label

Unconjugated

Antibody Source

Polyclonal Rabbit IgG

Format

BSA Free

Concentration

Concentrations vary lot to lot. See vial label for concentration. If unlisted please contact technical services.

Product Specifications

Immunogen

This antibody was developed against Recombinant Protein corresponding to amino acids: ETTRTGSQPGRNIRQEINSPTSTVVVIPSIPHPSLNHGFLAKLIPEQSFGHSFYKETPAAFPDTIKEKETPTPGEDIQVESSIPHTDSGIGEEQVASILNGAELETSTGPDAMSEL

Reactivity Notes

Immunogen displays the following percentage of sequence identity for non-tested species: Mouse (89%)

Clonality

Polyclonal

Host

Rabbit

Isotype

IgG

Description

Novus Biologicals Rabbit Neurobeachin Antibody - BSA Free (NBP1-90004) is a polyclonal antibody validated for use in IHC and ICC/IF. All Novus Biologicals antibodies are covered by our 100% guarantee.

Scientific Data Images for Neurobeachin Antibody - BSA Free

Immunocytochemistry/ Immunofluorescence: Neurobeachin Antibody [NBP1-90004]

Immunocytochemistry/ Immunofluorescence: Neurobeachin Antibody [NBP1-90004]

Immunocytochemistry/Immunofluorescence: Neurobeachin Antibody [NBP1-90004] - Staining of human cell line SH-SY5Y shows localization to cytosol & the Golgi apparatus. Antibody staining is shown in green.
Neurobeachin Antibody - BSA Free Immunohistochemistry-Paraffin: Neurobeachin Antibody - BSA Free [NBP1-90004]

Immunohistochemistry-Paraffin: Neurobeachin Antibody - BSA Free [NBP1-90004]

Staining of human cerebral cortex, liver, pancreas and stomach using Anti-NBEA antibody NBP1-90004 (A) shows similar protein distribution across tissues to independent antibody NBP1-90003 (B).
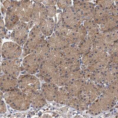
Neurobeachin Antibody - BSA Free Immunohistochemistry-Paraffin: Neurobeachin Antibody - BSA Free [NBP1-90004]

Immunohistochemistry-Paraffin: Neurobeachin Antibody - BSA Free [NBP1-90004]

Analysis in human cerebral cortex and liver tissues using NBP1-90004 antibody. Corresponding NBEA RNA-seq data are presented for the same tissues.

Applications for Neurobeachin Antibody - BSA Free

Application
Recommended Usage

Immunocytochemistry/ Immunofluorescence

0.25-2 ug/ml

Immunohistochemistry

1:500 - 1:1000

Immunohistochemistry-Paraffin

1:500 - 1:1000
Application Notes
For IHC-Paraffin, HIER pH 6 retrieval is recommended. ICC/IF Fixation/Permeabilization: PFA/Triton X-100

Formulation, Preparation, and Storage

Purification

Affinity purified

Formulation

PBS (pH 7.2) and 40% Glycerol

Format

BSA Free

Preservative

0.02% Sodium Azide

Concentration

Concentrations vary lot to lot. See vial label for concentration. If unlisted please contact technical services.

Shipping

The product is shipped with polar packs. Upon receipt, store it immediately at the temperature recommended below.

Stability & Storage

Store at 4C short term. Aliquot and store at -20C long term. Avoid freeze-thaw cycles.

Background: Neurobeachin

Neurobeachin binds to type II regulatory subunits of protein kinase A and anchors/targets them to the membrane. It may anchor the kinase to cytoskeletal and/or organelle-associated proteins.

Alternate Names

BCL8Blysosomal trafficking regulator 2, EC 1.14.14.5, EC 6.1.1.11, FLJ10197, KIAA1544, Lysosomal-trafficking regulator 2, LYST2, neurobeachin, Protein BCL8B

Gene Symbol

NBEA

Additional Neurobeachin Products

Product Documents for Neurobeachin Antibody - BSA Free

Certificate of Analysis

To download a Certificate of Analysis, please enter a lot number in the search box below.

Product Specific Notices for Neurobeachin Antibody - BSA Free

This product is for research use only and is not approved for use in humans or in clinical diagnosis. Primary Antibodies are guaranteed for 1 year from date of receipt.

Loading...
Loading...
Loading...
Loading...