Skip to main content

Netrin-4 Antibody - BSA Free

Novus Biologicals, part of Bio-Techne | Catalog # NBP2-13680

Novus Biologicals, part of Bio-Techne
Catalog #
Availability
Size / Price
Qty
Loading...
NBP2-13680
NBP2-13680-25ul

Key Product Details

Species Reactivity

Validated:

Human, Chicken

Cited:

Avian - Chicken

Predicted:

Mouse (90%), Rat (90%). Backed by our 100% Guarantee.

Applications

Validated:

Immunohistochemistry, Immunohistochemistry-Paraffin, Immunocytochemistry/ Immunofluorescence

Cited:

Immunocytochemistry/ Immunofluorescence, IF/IHC

Label

Unconjugated

Antibody Source

Polyclonal Rabbit IgG

Format

BSA Free

Concentration

Concentrations vary lot to lot. See vial label for concentration. If unlisted please contact technical services.

Product Specifications

Immunogen

This antibody was developed against a recombinant protein corresponding to the amino acids: AGVSSRCEKACNPRMGNLALGRKLWADTTCGQNATELYCFYSENTDLTCRQPKCDKCNAAYPHLAHLPSAMADSSFRFPRTWWQSAEDVHRE

Reactivity Notes

Reactivity in Chicken reported in (PMID: 27172792).

Clonality

Polyclonal

Host

Rabbit

Isotype

IgG

Description

Novus Biologicals Rabbit Netrin-4 Antibody - BSA Free (NBP2-13680) is a polyclonal antibody validated for use in IHC and ICC/IF. Anti-Netrin-4 Antibody: Cited in 1 publication. All Novus Biologicals antibodies are covered by our 100% guarantee.

Scientific Data Images for Netrin-4 Antibody - BSA Free

Immunohistochemistry-Paraffin: Netrin-4 Antibody [NBP2-13680]

Immunohistochemistry-Paraffin: Netrin-4 Antibody [NBP2-13680]

Immunohistochemistry-Paraffin: Netrin-4 Antibody [NBP2-13680] - Staining of human skeletal muscle shows moderate cytoplasmic positivity in myocytes.
Immunohistochemistry-Paraffin: Netrin-4 Antibody [NBP2-13680]

Immunohistochemistry-Paraffin: Netrin-4 Antibody [NBP2-13680]

Immunohistochemistry-Paraffin: Netrin-4 Antibody [NBP2-13680] - Staining of human kidney shows moderate membranous and cytoplasmic positivity in cells in tubules.
Immunohistochemistry-Paraffin: Netrin-4 Antibody [NBP2-13680]

Immunohistochemistry-Paraffin: Netrin-4 Antibody [NBP2-13680]

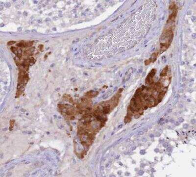
Immunohistochemistry-Paraffin: Netrin-4 Antibody [NBP2-13680] - Staining of human testis shows moderate cytoplasmic positivity in Leydig cells.

Applications for Netrin-4 Antibody - BSA Free

Application
Recommended Usage

Immunocytochemistry/ Immunofluorescence

Reported in (PMID: 27172792).

Immunohistochemistry

1:50 - 1:200

Immunohistochemistry-Paraffin

1:50-1:200
Application Notes
For IHC-Paraffin, HIER pH 6 retrieval is recommended.

Formulation, Preparation, and Storage

Purification

Affinity purified

Formulation

PBS (pH 7.2) and 40% Glycerol

Format

BSA Free

Preservative

0.02% Sodium Azide

Concentration

Concentrations vary lot to lot. See vial label for concentration. If unlisted please contact technical services.

Shipping

The product is shipped with polar packs. Upon receipt, store it immediately at the temperature recommended below.

Stability & Storage

Store at 4C short term. Aliquot and store at -20C long term. Avoid freeze-thaw cycles.

Background: Netrin-4

Netrins have been identified as midline-derived chemoattractants that guide axons to the midline during development. Netrins are antagonized by Slit and Robo proteins which compete for DCC (deleted in colorectal cancer) receptor binding. Netrins also have axon repulsion effects when interacting with the UNC5 (uncoordinated-5) receptor family, either alone or with DCC receptors. Netrins are a laminin-related family of matrix-binding secreted proteins containing an N-terminal laminin gamma-chain-related globular domain (domain VI), three laminin EGF-like repeats, and a C-terminal heparin-binding domain.

Netrin-G1a and Netrin-G2a are members of the GPI-linked Netrin subfamily distantly related to classic Netrins. Membrane-bound G-type Netrins are suggested to promote neurite outgrowth and perhaps impact neuronal plasticity. G-type Netrins are found only in vertebrates. Netrin-G1a and Netrin-G2a contain an N-terminal laminin globular domain (domain VI) followed by 3 laminin EGF-like repeats, and a C-domain with a hydrophobic signal for glycosylphosphatidylinositol (GPI) lipid linkage. The Netrin-G2a molecule also contains a C-terminal heparin binding site.

Alternate Names

beta-Netrin, Netrin4, NTN4

Gene Symbol

NTN4

Additional Netrin-4 Products

Product Documents for Netrin-4 Antibody - BSA Free

Certificate of Analysis

To download a Certificate of Analysis, please enter a lot number in the search box below.

Product Specific Notices for Netrin-4 Antibody - BSA Free

This product is for research use only and is not approved for use in humans or in clinical diagnosis. Primary Antibodies are guaranteed for 1 year from date of receipt.

Loading...
Loading...
Loading...
Loading...