Skip to main content

Neprilysin/CD10 Antibody (SN75-07)

Novus Biologicals, part of Bio-Techne | Catalog # NBP2-67717

Recombinant Monoclonal Antibody.
Novus Biologicals, part of Bio-Techne
Catalog #
Availability
Size / Price
Qty
Loading...
NBP2-67717

Key Product Details

Validated by

Biological Validation

Species Reactivity

Human, Mouse, Rat

Applications

Flow Cytometry, Immunocytochemistry/ Immunofluorescence, Immunohistochemistry, Immunohistochemistry-Paraffin, Western Blot

Label

Unconjugated

Antibody Source

Recombinant Monoclonal Rabbit IgG Clone # SN75-07 expressed in HEK293

Concentration

1 mg/ml

Product Specifications

Immunogen

Synthetic peptide within Human Neprilysin/CD10 aa 1-50 / 750. (SwissProt: P08473 Human; SwissProt: Q61391 Mouse; SwissProt: P07861 Rat)

Localization

Cell membrane.

Clonality

Monoclonal

Host

Rabbit

Isotype

IgG

Description

Novus Biologicals Rabbit Neprilysin/CD10 Antibody (SN75-07) (NBP2-67717) is a recombinant monoclonal antibody validated for use in IHC, WB, Flow and ICC/IF. All Novus Biologicals antibodies are covered by our 100% guarantee.

Scientific Data Images for Neprilysin/CD10 Antibody (SN75-07)

Western Blot: Neprilysin/CD10 Antibody (SN75-07) [NBP2-67717]

Western Blot: Neprilysin/CD10 Antibody (SN75-07) [NBP2-67717]

Western Blot: Neprilysin/CD10 Antibody (SN75-07) [NBP2-67717] - Analysis of Neprilysin/CD10 on different lysates with Rabbit anti-Neprilysin/CD10 antibody at 1/1,000 dilution. Lane 1: Daudi cell lysate (10 ug/Lane) Lane 2: Mouse small intestine tissue lysate (20 ug/Lane) Lane 3: Mouse kidney tissue lysate (20 ug/Lane) Lane 4: Mouse placenta tissue lysate (20 ug/Lane) Predicted band size: 86 kDa Observed band size: 100 kDa Exposure time: 1 minute; 8% SDS-PAGE gel. Proteins were transferred to a PVDF membrane and blocked with 5% NFDM/TBST for 1 hour at room temperature. The primary antibody at 1/1,000 dilution was used in 5% NFDM/TBST at room temperature for 2 hours. Goat Anti-Rabbit IgG - HRP Secondary Antibody at 1:300,000 dilution was used for 1 hour at room temperature.
Immunocytochemistry/ Immunofluorescence: Neprilysin/CD10 Antibody (SN75-07) [NBP2-67717]

Immunocytochemistry/ Immunofluorescence: Neprilysin/CD10 Antibody (SN75-07) [NBP2-67717]

Immunocytochemistry/Immunofluorescence: Neprilysin/CD10 Antibody (SN75-07) [NBP2-67717] - Analysis of 293 cells labeling CD10 with Rabbit anti-Neprilysin/CD10 antibody (permeabilized with 0.05% Triton X-100 in PBS for 20 minutes, and then blocked with 2% negative goat serum for 30 minutes at room temperature. Cells were then incubated with Rabbit anti-CD10 antibody was used as the secondary antibody at 1/1,000 dilution. PBS instead of the primary antibody was used as the secondary antibody only control. Nuclear DNA was labelled in blue with DAPI.
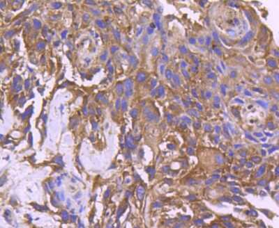
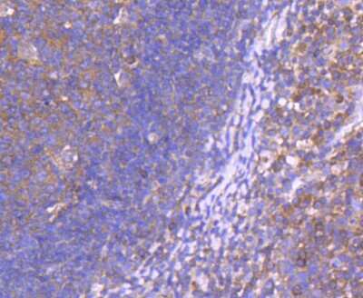
Immunohistochemistry-Paraffin: Neprilysin/CD10 Antibody (SN75-07) [NBP2-67717]

Immunohistochemistry-Paraffin: Neprilysin/CD10 Antibody (SN75-07) [NBP2-67717]

Immunohistochemistry-Paraffin: Neprilysin/CD10 Antibody (SN75-07) [NBP2-67717] - Analysis of paraffin-embedded human small intestine tissue with Rabbit anti-Neprilysin/CD10 antibody. The section was pre-treated using heat mediated antigen retrieval with Tris-EDTA buffer (pH 9.0) for 20 minutes. The tissues were blocked in 1% BSA for 20 minutes at room temperature, washed with ddH2O and PBS, and then probed with the primary antibody for 1 hour at room temperature. The detection was performed using an HRP conjugated compact polymer system. DAB was used as the chromogen. Tissues were counterstained with hematoxylin and mounted with DPX.

Applications for Neprilysin/CD10 Antibody (SN75-07)

Application
Recommended Usage

Flow Cytometry

1:50-1:100

Immunocytochemistry/ Immunofluorescence

1:50-1:200

Immunohistochemistry-Paraffin

1:50-1:200

Western Blot

1:1000-1:2000

Formulation, Preparation, and Storage

Purification

Protein A purified

Formulation

TBS (pH7.4), 0.05% BSA, 40% Glycerol

Preservative

0.05% Sodium Azide

Concentration

1 mg/ml

Shipping

The product is shipped with polar packs. Upon receipt, store it immediately at the temperature recommended below.

Stability & Storage

Store at 4C short term. Aliquot and store at -20C long term. Avoid freeze-thaw cycles.

Background: Neprilysin/CD10

CD10, also known as the Common Acute Lymphocytic Leukemia Antigen (CALLA), is a cell surface enzyme with neutral metalloendopeptidase activity which inactivates a variety of biologically active peptides. CD10 is expressed on the cells of lymphoblastic, Burkitt's, and follicular germinal center lymphomas, immature B cells with in adult bone marrow and on cells from patients with chronic myelocytic leukemia (CML). CD10 is also present on breast myoepithelial cells, bile canaliculi, fibroblasts, with especially high expression on the brush border of kidney and gut epithelial cells.

Alternate Names

CALLA, CD10, Enkephalinase, Leu-19, MME, Neutral Endopeptidase 24.11, NKH1

Gene Symbol

MME

Additional Neprilysin/CD10 Products

Product Documents for Neprilysin/CD10 Antibody (SN75-07)

Certificate of Analysis

To download a Certificate of Analysis, please enter a lot number in the search box below.

Product Specific Notices for Neprilysin/CD10 Antibody (SN75-07)

This product is for research use only and is not approved for use in humans or in clinical diagnosis. Primary Antibodies are guaranteed for 1 year from date of receipt.

Loading...
Loading...
Loading...
Loading...
Loading...