Skip to main content

Nephrin Antibody - BSA Free

Novus Biologicals, part of Bio-Techne | Catalog # NBP3-18058

Novus Biologicals, part of Bio-Techne

Key Product Details

Species Reactivity

Human, Mouse

Applications

Immunocytochemistry/ Immunofluorescence, Immunohistochemistry, Immunohistochemistry-Paraffin, Western Blot

Label

Unconjugated

Antibody Source

Polyclonal Rabbit IgG

Format

BSA Free

Concentration

1.0 mg/ml

Product Specifications

Immunogen

Partial recombinant protein made to the internal portion of human Nephrin (amino acids 23-1029) [UniProt O60500].

Clonality

Polyclonal

Host

Rabbit

Isotype

IgG

Description

Novus Biologicals Rabbit Nephrin Antibody - BSA Free (NBP3-18058) is a polyclonal antibody validated for use in IHC, WB and ICC/IF. All Novus Biologicals antibodies are covered by our 100% guarantee.

Scientific Data Images for Nephrin Antibody - BSA Free

Immunocytochemistry/ Immunofluorescence: Nephrin Antibody [NBP3-18058]

Immunocytochemistry/ Immunofluorescence: Nephrin Antibody [NBP3-18058]

Immunocytochemistry/Immunofluorescence: Nephrin Antibody [NBP3-18058] - RCC4 cells were fixed in 4% paraformaldehyde for 10 minutes and permeabilized in 0.05% Triton X-100 in PBS for 5 minutes. The cells were incubated with Nephrin Antibody (NBP3-18058) at 1ug/ml overnight at 4C and detected with an anti-rabbit DyLight 488 (Green) at a 1:1000 dilution for 60 minutes. Nuclei were counterstained with DAPI (Blue). Cells were imaged using a 40X objective.
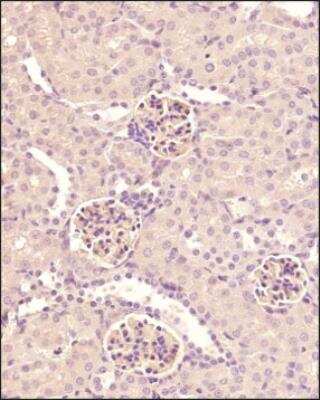
Immunohistochemistry-Paraffin: Nephrin Antibody [NBP3-18058]

Immunohistochemistry-Paraffin: Nephrin Antibody [NBP3-18058]

Immunohistochemistry-Paraffin: Nephrin Antibody [NBP3-18058] - Analysis of a FFPE tissue section of mouse kidney using 1:200 dilution of Nephrin antibody (NBP3-18058). The staining was developed using HRP labeled anti-rabbit secondary antibody and DAB reagent, and nuclei of cells were counter-stained with hematoxylin.
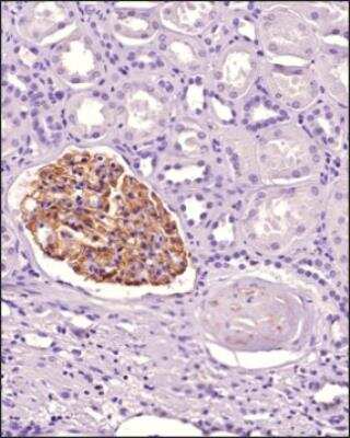
Immunohistochemistry-Paraffin: Nephrin Antibody [NBP3-18058]

Immunohistochemistry-Paraffin: Nephrin Antibody [NBP3-18058]

Immunohistochemistry-Paraffin: Nephrin Antibody [NBP3-18058] - Analysis of a FFPE tissue section of human kidney using 1:200 dilution of Nephrin antibody (NBP3-18058). The staining was developed using HRP labeled anti-rabbit secondary antibody and DAB reagent, and nuclei of cells were counter-stained with hematoxylin.

Applications for Nephrin Antibody - BSA Free

Application
Recommended Usage

Immunocytochemistry/ Immunofluorescence

1 - 2 ug/ml

Immunohistochemistry

1:200

Immunohistochemistry-Paraffin

1:200

Western Blot

1 - 2 ug/ml

Formulation, Preparation, and Storage

Purification

Immunogen affinity purified

Formulation

PBS

Format

BSA Free

Preservative

0.02% Sodium Azide

Concentration

1.0 mg/ml

Stability & Storage

Store at 4C short term. Aliquot and store at -20C long term. Avoid freeze-thaw cycles.

Background: Nephrin

Nephrin is a member of the immunoglobulin family of cell adhesion molecules that localizes to opposing sites of the secondary foot processes formed by podocytes, a specialized epithelial cell that ensures size- and charge-selective ultrafiltration. The human nephrin gene maps to chromosome 19q13.1 and encodes a 1,241 amino acid protein that contains a transmembrane domain, 8 Ig-like modules, and 1 fibronectin III-like module. Nephrin is expressed in embryonic and adult kidneys and localizes to glomerular podocytes and the glomerular slit diaphragm. Nephrin stimulates mitogen-activated protein kinases and is enhanced by podocin, which binds to the cytoplasmic tail of nephrin. A293 cells treated with Phorbol-12-myristate- 13-acetate can upregulate nephrin, suggesting that protein kinase C is part of an intracellular signalling system, which regulates nephrin. Nephrin identified in mouse glomerular extract is a protein with an apparent molecular mass of 185 kDa.

Alternate Names

CNF, NPHS1

Gene Symbol

NPHS1

Additional Nephrin Products

Product Documents for Nephrin Antibody - BSA Free

Certificate of Analysis

To download a Certificate of Analysis, please enter a lot number in the search box below.

Product Specific Notices for Nephrin Antibody - BSA Free

This product is for research use only and is not approved for use in humans or in clinical diagnosis. Primary Antibodies are guaranteed for 1 year from date of receipt.

Loading...
Loading...
Loading...
Loading...