Skip to main content

NEK7 Antibody (HL1349)

Novus Biologicals, part of Bio-Techne | Catalog # NBP3-48653

Recombinant Monoclonal Antibody
Novus Biologicals, part of Bio-Techne
Catalog #
Availability
Size / Price
Qty
Loading...
NBP3-48653

Key Product Details

Validated by

Knockout/Knockdown, Orthogonal Validation

Species Reactivity

Human, Mouse

Applications

Immunohistochemistry, Immunohistochemistry-Paraffin, Western Blot, Immunocytochemistry/ Immunofluorescence

Label

Unconjugated

Antibody Source

Recombinant Monoclonal Rabbit IgG Clone # HL1349

Concentration

Concentrations vary lot to lot. See vial label for concentration. If unlisted please contact technical services.

Product Specifications

Immunogen

Carrier-protein conjugated synthetic peptide encompassing a sequence within the C-terminus region of human NEK7. The exact sequence is proprietary.

Clonality

Monoclonal

Host

Rabbit

Isotype

IgG

Description

Novus Biologicals Rabbit NEK7 Antibody (HL1349) (NBP3-48653) is a recombinant monoclonal antibody validated for use in IHC, WB and ICC/IF. All Novus Biologicals antibodies are covered by our 100% guarantee.

Scientific Data Images for NEK7 Antibody (HL1349)

NEK7 Antibody (HL1349)

Western Blot: NEK7 Antibody (HL1349) [NBP3-48653] -

Various whole cell extracts (30 ug) were separated by 12% SDS-PAGE, and the membrane was blotted with NEK7 antibody [HL1349] (NBP3-48653) diluted at 1:1000. The HRP-conjugated anti-rabbit IgG antibody was used to detect the primary antibody.
NEK7 Antibody (HL1349)

Immunocytochemistry/ Immunofluorescence: NEK7 Antibody (HL1349) [NBP3-48653] -

NEK7 antibody [HL1349] detects NEK7 protein at cytoplasm and nucleus by immunofluorescent analysis.
Sample: HeLa cells were fixed in 4% paraformaldehyde at RT for 15 min.
Green: NEK7 stained by NEK7 antibody [HL1349] (NBP3-48653) diluted at 1:500.
Blue: Fluoroshield with DAPI .
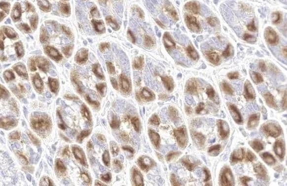
NEK7 Antibody (HL1349)

Immunohistochemistry-Paraffin: NEK7 Antibody (HL1349) [NBP3-48653] -

NEK7 antibody [HL1349] detects NEK7 protein by immunohistochemical analysis.Sample: Paraffin-embedded mouse stomach.NEK7 stained by NEK7 antibody [HL1349] (NBP3-48653) diluted at 1:100.Antigen Retrieval: Citrate buffer, pH 6.0, 15 min

Applications for NEK7 Antibody (HL1349)

Application
Recommended Usage

Western Blot

1:500-1:3000

Formulation, Preparation, and Storage

Purification

Protein A purified

Formulation

PBS

Preservative

No Preservative

Concentration

Concentrations vary lot to lot. See vial label for concentration. If unlisted please contact technical services.

Shipping

The product is shipped with polar packs. Upon receipt, store it immediately at the temperature recommended below.

Stability & Storage

Store at 4C short term. Aliquot and store at -20C long term. Avoid freeze-thaw cycles.

Background: NEK7

NIMA-related kinases share high amino acid sequence identity with the gene product of the Aspergillus nidulans 'never in mitosis A' gene, which controls initiation of mitosis.[supplied by OMIM]

Alternate Names

EC 2.7.11.1, Never in mitosis A-related kinase 7, NIMA (never in mitosis gene a)-related kinase 7, NimA-related protein kinase 7, serine/threonine-protein kinase Nek7

Gene Symbol

NEK7

Additional NEK7 Products

Product Documents for NEK7 Antibody (HL1349)

Certificate of Analysis

To download a Certificate of Analysis, please enter a lot number in the search box below.

Product Specific Notices for NEK7 Antibody (HL1349)

This product is for research use only and is not approved for use in humans or in clinical diagnosis. Primary Antibodies are guaranteed for 1 year from date of receipt.

Loading...
Loading...
Loading...
Loading...