Skip to main content

NEK4 Antibody

Novus Biologicals, part of Bio-Techne | Catalog # NBP1-42687

Novus Biologicals, part of Bio-Techne
Catalog #
Availability
Size / Price
Qty
Loading...
NBP1-42687

Key Product Details

Validated by

Independent Antibodies

Species Reactivity

Human

Applications

Immunohistochemistry, Immunoprecipitation, Western Blot

Label

Unconjugated

Antibody Source

Polyclonal Rabbit IgG

Concentration

0.2 mg/ml

Product Specifications

Immunogen

The immunogen for this product maps to a region between residue 475 and 525 of human NIMA (never in mitosis gene a)-related kinase 4 using the numbering given in entry NP_003148.2 (GeneID 6787).

Clonality

Polyclonal

Host

Rabbit

Isotype

IgG

Theoretical MW

95 kDa.
Disclaimer note: The observed molecular weight of the protein may vary from the listed predicted molecular weight due to post translational modifications, post translation cleavages, relative charges, and other experimental factors.

Description

Novus Biologicals Rabbit NEK4 Antibody (NBP1-42687) is a polyclonal antibody validated for use in IHC, WB and IP. All Novus Biologicals antibodies are covered by our 100% guarantee.

Scientific Data Images for NEK4 Antibody

Western Blot: NEK4 Antibody [NBP1-42687]

Western Blot: NEK4 Antibody [NBP1-42687]

Western Blot: NEK4 Antibody [NBP1-42687] - Whole cell lysate (5, 15 and 50 mcg for WB; 1 mg for IP, 20% of IP loaded) from HeLa cells. Antibodies: Affinity purified rabbit anti-NEK4 antibody used for WB at 0.04 mcg/ml (A) and 1 mcg/ml (B) and used for IP at 3 mcg/mg lysate. NEK4 was also immunoprecipitated by rabbit anti-NEK4 antibody NBP1-42686, which recognizes an upstream epitope.
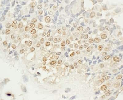
Immunohistochemistry: NEK4 Antibody [NBP1-42687]

Immunohistochemistry: NEK4 Antibody [NBP1-42687]

Immunohistochemistry: NEK4 Antibody [NBP1-42687] - Sample: FFPE section of human breast carcinoma. Antibody: Affinity purified rabbit anti- NEK4 used at a dilution of 1:200 (1ug/ml). Detection: DAB

Applications for NEK4 Antibody

Application
Recommended Usage

Immunoprecipitation

2-5 ug/mg lysate

Western Blot

1:2000-1:10000

Formulation, Preparation, and Storage

Purification

Immunogen affinity purified

Formulation

TBS and 0.1% BSA

Preservative

0.09% Sodium Azide

Concentration

0.2 mg/ml

Shipping

The product is shipped with polar packs. Upon receipt, store it immediately at the temperature recommended below.

Stability & Storage

Store at 4C. Do not freeze.

Background: NEK4

Belonging to the NEK Ser/Thr protein kinase family, NEK4 plays a significant role in the cell cycle, cell division, mitosis and protein phosphorylation process. More specifically, NEK4 can be found in the nucleus, and acts exclusively upon threonine residues. Molecular Functions of NEK4 include ATP binding, metal ion binding and protein serine/threonine kinase activity. Common diseases for NEK4 include adenocarcinoma, cancer, polycystic ovary syndrome, epithelial neoplasia, coffin-lowry syndrome, bipolar disorder, retinitis and malaria.

Alternate Names

EC 2.7.11, Never in mitosis A-related kinase 4, NIMA (never in mitosis gene a)-related kinase 4, NimA-related protein kinase 4, NRK2EC 2.7.11.1, pp12301, serine/threonine kinase 2, serine/threonine protein kinase-2, Serine/threonine-protein kinase 2, serine/threonine-protein kinase Nek4, Serine/threonine-protein kinase NRK2, STK2MGC33171

Entrez Gene IDs

6787 (Human)

Gene Symbol

NEK4

UniProt

Additional NEK4 Products

Product Documents for NEK4 Antibody

Certificate of Analysis

To download a Certificate of Analysis, please enter a lot number in the search box below.

Product Specific Notices for NEK4 Antibody

This product is for research use only and is not approved for use in humans or in clinical diagnosis. Primary Antibodies are guaranteed for 1 year from date of receipt.

Loading...
Loading...
Loading...
Loading...