Skip to main content

NEDP1/SENP8 Antibody - Azide and BSA Free

Novus Biologicals, part of Bio-Techne | Catalog # NBP2-98854

Novus Biologicals, part of Bio-Techne

Key Product Details

Species Reactivity

Human, Mouse

Applications

Immunohistochemistry, Immunohistochemistry-Paraffin

Label

Unconjugated

Antibody Source

Polyclonal Rabbit IgG

Format

Azide and BSA Free

Concentration

Please see the vial label for concentration. If unlisted please contact technical services.

Product Specifications

Immunogen

Produced in rabbits immunized with a synthetic peptide corresponding to the N-terminus of the Human NEDP1/SENP8.

Clonality

Polyclonal

Host

Rabbit

Isotype

IgG

Description

This antibody can be stored at 2C to 8C for one month without detectable loss of activity. Antibody products are stable for twelve months from date of receipt when stored at -20C to -80C. Avoid repeated freeze-thaw cycles.

Scientific Data Images for NEDP1/SENP8 Antibody - Azide and BSA Free

Immunohistochemistry-Paraffin: NEDP1/SENP8 Antibody [NBP2-98854]

Immunohistochemistry-Paraffin: NEDP1/SENP8 Antibody [NBP2-98854]

Immunohistochemistry-Paraffin: NEDP1/SENP8 Antibody [NBP2-98854] - Immunochemical staining NEDP1/SENP8 in mouse kidney with rabbit polyclonal antibody (1:1000, formalin-fixed paraffin embedded sections).
Immunohistochemistry-Paraffin: NEDP1/SENP8 Antibody [NBP2-98854]

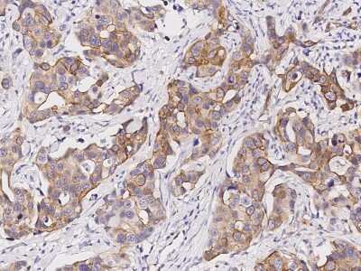
Immunohistochemistry-Paraffin: NEDP1/SENP8 Antibody [NBP2-98854]

Immunohistochemistry-Paraffin: NEDP1/SENP8 Antibody [NBP2-98854] - Immunochemical staining NEDP1/SENP8 in human breast carcinoma with rabbit polyclonal antibody (1:1000, formalin-fixed paraffin embedded sections).
Immunohistochemistry-Paraffin: NEDP1/SENP8 Antibody [NBP2-98854]

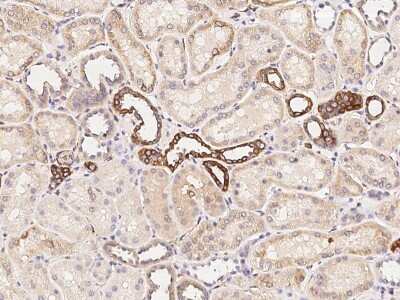
Immunohistochemistry-Paraffin: NEDP1/SENP8 Antibody [NBP2-98854]

Immunohistochemistry-Paraffin: NEDP1/SENP8 Antibody [NBP2-98854] - Immunochemical staining NEDP1/SENP8 in human kidney with rabbit polyclonal antibody (1:1000, formalin-fixed paraffin embedded sections).

Applications for NEDP1/SENP8 Antibody - Azide and BSA Free

Application
Recommended Usage

Immunohistochemistry-Paraffin

1:500-1:2000

Formulation, Preparation, and Storage

Purification

Antigen and protein A Affinity-purified

Formulation

0.2 um filtered solution in PBS

Format

Azide and BSA Free

Preservative

No Preservative

Concentration

Please see the vial label for concentration. If unlisted please contact technical services.

Shipping

The product is shipped with polar packs. Upon receipt, store it immediately at the temperature recommended below.

Stability & Storage

Store at 4C short term. Aliquot and store at -20C long term. Avoid freeze-thaw cycles.

Background: NEDP1/SENP8

NEDD8 (MIM 603171) is a ubiquitin-like protein that becomes conjugated to the cullin (see CUL1; MIM 603134) subunit of several ubiquitin ligases. This conjugation, called neddylation, is required for optimal ubiquitin ligase activity. NEDD8-specific deneddylases, such as NEDP1, or DEN1, are required to process the NEDD8 propeptide at a C-terminal diglycine motif and to remove NEDD8 from cullins (Gan-Erdene et al., 2003 [PubMed 12759363]).[supplied by OMIM]

Alternate Names

DEN1, Deneddylase-1, PRSC2, SENP8

Gene Symbol

SENP8

Additional NEDP1/SENP8 Products

Product Documents for NEDP1/SENP8 Antibody - Azide and BSA Free

Certificate of Analysis

To download a Certificate of Analysis, please enter a lot number in the search box below.

Product Specific Notices for NEDP1/SENP8 Antibody - Azide and BSA Free

This product is for research use only and is not approved for use in humans or in clinical diagnosis. Primary Antibodies are guaranteed for 1 year from date of receipt.

Loading...
Loading...
Loading...
Loading...