Skip to main content

NEDP1/SENP8 Antibody - BSA Free

Novus Biologicals, part of Bio-Techne | Catalog # NBP1-31208

Novus Biologicals, part of Bio-Techne
Catalog #
Availability
Size / Price
Qty
Loading...
NBP1-31208

Key Product Details

Species Reactivity

Validated:

Human

Predicted:

Mouse (100%), Rhesus Macaque (100%). Backed by our 100% Guarantee.

Applications

Immunohistochemistry, Immunohistochemistry-Paraffin, Western Blot

Label

Unconjugated

Antibody Source

Polyclonal Rabbit IgG

Format

BSA Free

Concentration

Concentrations vary lot to lot. See vial label for concentration. If unlisted please contact technical services.

Product Specifications

Immunogen

Carrier-protein conjugated synthetic peptide encompassing a sequence within the N-terminus region of human NEDP1/SENP8. The exact sequence is proprietary.

Clonality

Polyclonal

Host

Rabbit

Isotype

IgG

Theoretical MW

24 kDa.
Disclaimer note: The observed molecular weight of the protein may vary from the listed predicted molecular weight due to post translational modifications, post translation cleavages, relative charges, and other experimental factors.

Description

Novus Biologicals Rabbit NEDP1/SENP8 Antibody - BSA Free (NBP1-31208) is a polyclonal antibody validated for use in IHC and WB. All Novus Biologicals antibodies are covered by our 100% guarantee.

Scientific Data Images for NEDP1/SENP8 Antibody - BSA Free

Western Blot: NEDP1/SENP8 Antibody [NBP1-31208]

Western Blot: NEDP1/SENP8 Antibody [NBP1-31208]

Western Blot: NEDP1/SENP8 Antibody [NBP1-31208] - Sample(30 ug whole cell lysate) A:Raji 12% SDS PAGE, antibody diluted at 1:1000.
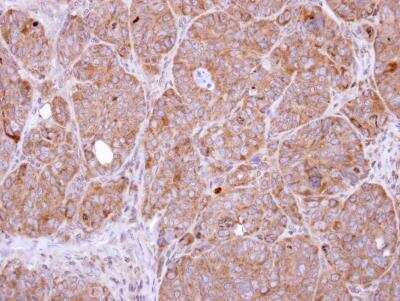
Immunohistochemistry-Paraffin: NEDP1/SENP8 Antibody [NBP1-31208]

Immunohistochemistry-Paraffin: NEDP1/SENP8 Antibody [NBP1-31208]

Immunohistochemistry-Paraffin: NEDP1/SENP8 Antibody [NBP1-31208] - SW480 xenograft, using SENP8 antibody at 1:500 dilution. Antigen Retrieval: Citrate buffer, pH 6.0, 15 min.

Applications for NEDP1/SENP8 Antibody - BSA Free

Application
Recommended Usage

Immunohistochemistry

1:100-1:1000

Immunohistochemistry-Paraffin

1:100-1:1000

Western Blot

1:500-1:3000

Formulation, Preparation, and Storage

Purification

Antigen Affinity-purified

Formulation

PBS, 1% BSA, 20% Glycerol

Format

BSA Free

Preservative

0.01% Thimerosal

Concentration

Concentrations vary lot to lot. See vial label for concentration. If unlisted please contact technical services.

Shipping

The product is shipped with polar packs. Upon receipt, store it immediately at the temperature recommended below.

Stability & Storage

Aliquot and store at -20C or -80C. Avoid freeze-thaw cycles.

Background: NEDP1/SENP8

NEDD8 (MIM 603171) is a ubiquitin-like protein that becomes conjugated to the cullin (see CUL1; MIM 603134) subunit of several ubiquitin ligases. This conjugation, called neddylation, is required for optimal ubiquitin ligase activity. NEDD8-specific deneddylases, such as NEDP1, or DEN1, are required to process the NEDD8 propeptide at a C-terminal diglycine motif and to remove NEDD8 from cullins (Gan-Erdene et al., 2003 [PubMed 12759363]).[supplied by OMIM]

Alternate Names

DEN1, Deneddylase-1, PRSC2, SENP8

Gene Symbol

SENP8

Additional NEDP1/SENP8 Products

Product Documents for NEDP1/SENP8 Antibody - BSA Free

Certificate of Analysis

To download a Certificate of Analysis, please enter a lot number in the search box below.

Product Specific Notices for NEDP1/SENP8 Antibody - BSA Free

This product is for research use only and is not approved for use in humans or in clinical diagnosis. Primary Antibodies are guaranteed for 1 year from date of receipt.

Loading...
Loading...
Loading...
Loading...

⚠ WARNING: This product can expose you to chemicals including mercury, which is known to the State of California to cause reproductive toxicity with developmental effects.  For more information go to www.P65Warnings.ca.gov.