Skip to main content

NEDP1/SENP8 Antibody (OTI3E4)

Novus Biologicals, part of Bio-Techne | Catalog # NBP2-45761

Novus Biologicals, part of Bio-Techne
Catalog #
Availability
Size / Price
Qty
Loading...
NBP2-45761

Key Product Details

Species Reactivity

Human, Mouse, Rat

Applications

Immunohistochemistry, Immunohistochemistry-Paraffin, Western Blot

Label

Unconjugated

Antibody Source

Monoclonal Mouse IgG1 Clone # OTI3E4

Concentration

1 mg/ml

Product Specifications

Immunogen

Full length human recombinant protein of human SENP8 (NP_660205) produced in E.coli.

Reactivity Notes

Please note that this antibody is reactive to Mouse and derived from the same host, Mouse. Mouse-On-Mouse blocking reagent may be needed for IHC and ICC experiments to reduce high background signal. You can find these reagents under catalog numbers PK-2200-NB and MP-2400-NB. Please contact Technical Support if you have any questions.

Clonality

Monoclonal

Host

Mouse

Isotype

IgG1

Description

Novus Biologicals Mouse NEDP1/SENP8 Antibody (OTI3E4) (NBP2-45761) is a monoclonal antibody validated for use in IHC and WB. All Novus Biologicals antibodies are covered by our 100% guarantee.

Scientific Data Images for NEDP1/SENP8 Antibody (OTI3E4)

Western Blot: NEDP1/SENP8 Antibody (OTI3E4) [NBP2-45761]

Western Blot: NEDP1/SENP8 Antibody (OTI3E4) [NBP2-45761]

Western Blot: NEDP1/SENP8 Antibody (3E4) [NBP2-45761] - Analysis of HEK293T cells were transfected with the pCMV6-ENTRY control (Left lane) or pCMV6-ENTRY SENP8.
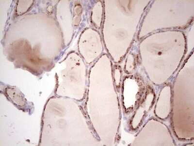
Immunohistochemistry: NEDP1/SENP8 Antibody (OTI3E4) [NBP2-45761]

Immunohistochemistry: NEDP1/SENP8 Antibody (OTI3E4) [NBP2-45761]

Immunohistochemistry: NEDP1/SENP8 Antibody (3E4) [NBP2-45761] - Analysis of Human thyroid tissue. (Heat-induced epitope retrieval by 1 mM EDTA in 10mM Tris, pH8.5, 120C for 3min)

Applications for NEDP1/SENP8 Antibody (OTI3E4)

Application
Recommended Usage

Immunohistochemistry

1:150

Western Blot

1:2000

Formulation, Preparation, and Storage

Purification

Immunogen affinity purified

Formulation

PBS (pH 7.3), 1.0% BSA and 50% Glycerol

Preservative

0.02% Sodium Azide

Concentration

1 mg/ml

Shipping

The product is shipped with polar packs. Upon receipt, store it immediately at the temperature recommended below.

Stability & Storage

Store at -20C. Avoid freeze-thaw cycles.

Background: NEDP1/SENP8

NEDD8 (MIM 603171) is a ubiquitin-like protein that becomes conjugated to the cullin (see CUL1; MIM 603134) subunit of several ubiquitin ligases. This conjugation, called neddylation, is required for optimal ubiquitin ligase activity. NEDD8-specific deneddylases, such as NEDP1, or DEN1, are required to process the NEDD8 propeptide at a C-terminal diglycine motif and to remove NEDD8 from cullins (Gan-Erdene et al., 2003 [PubMed 12759363]).[supplied by OMIM]

Alternate Names

DEN1, Deneddylase-1, PRSC2, SENP8

Gene Symbol

SENP8

Additional NEDP1/SENP8 Products

Product Documents for NEDP1/SENP8 Antibody (OTI3E4)

Certificate of Analysis

To download a Certificate of Analysis, please enter a lot number in the search box below.

Product Specific Notices for NEDP1/SENP8 Antibody (OTI3E4)

This product is for research use only and is not approved for use in humans or in clinical diagnosis. Primary Antibodies are guaranteed for 1 year from date of receipt.

Loading...
Loading...
Loading...
Loading...