Skip to main content

NECAB1 Antibody (CL0575) - Azide and BSA Free

Novus Biologicals, part of Bio-Techne | Catalog # NBP3-43975

Novus Biologicals, part of Bio-Techne

Key Product Details

Validated by

Orthogonal Validation

Species Reactivity

Human

Applications

Immunohistochemistry-Paraffin, Western Blot

Label

Unconjugated

Antibody Source

Monoclonal Mouse IgG2A Clone # CL0575

Format

Azide and BSA Free

Concentration

LYOPH mg/ml

Product Specifications

Immunogen

This antibody was generated using a recombinant protein sequence of Q8N987, with the exact immunogen sequence remaining proprietary.

Clonality

Monoclonal

Host

Mouse

Isotype

IgG2A

Description

Novus Biologicals Mouse NECAB1 Antibody (CL0575) - Azide and BSA Free (NBP2-52945) is a monoclonal antibody validated for use in IHC and WB. All Novus Biologicals antibodies are covered by our 100% guarantee.

Scientific Data Images for NECAB1 Antibody (CL0575) - Azide and BSA Free

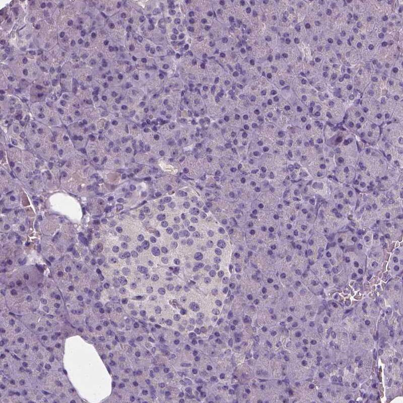
NECAB1 Antibody (CL0575) - Azide and BSA Free Immunohistochemistry-Paraffin: NECAB1 Antibody [NBP3-43975]

Immunohistochemistry-Paraffin: NECAB1 Antibody [NBP3-43975]

Analysis in human cerebral cortex and pancreas tissues using NBP3-43975 antibody. Corresponding NECAB1 RNA-seq data are presented for the same tissues.
NECAB1 Antibody (CL0575) - Azide and BSA Free Western Blot: NECAB1 Antibody [NBP3-43975]

Western Blot: NECAB1 Antibody [NBP3-43975]

Lane 1: Marker [kDa]
Lane 2: Human cerebral cortex lysate
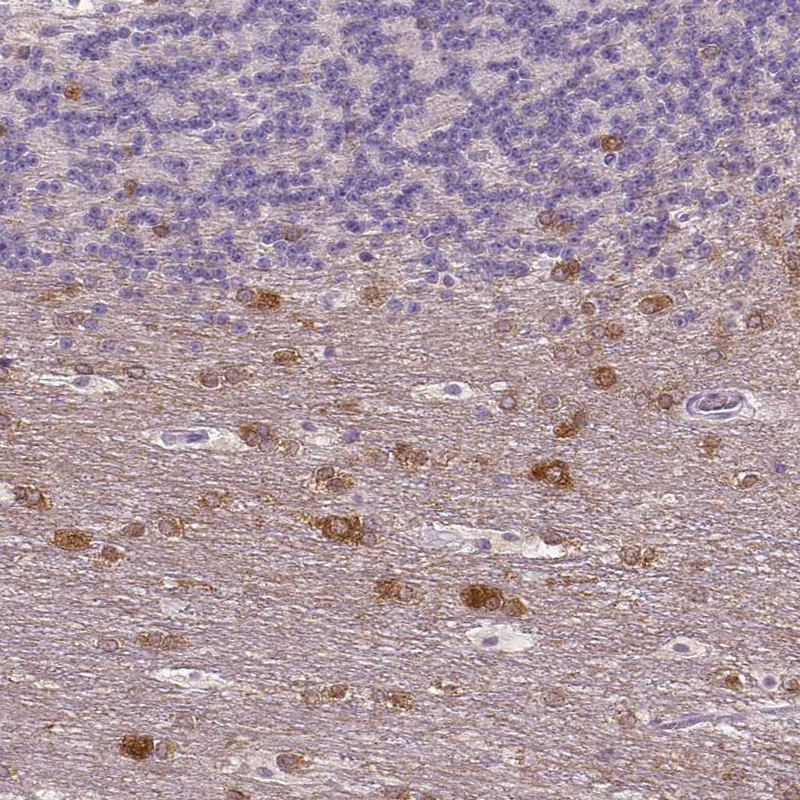
NECAB1 Antibody (CL0575) - Azide and BSA Free Immunohistochemistry-Paraffin: NECAB1 Antibody [NBP3-43975]

Immunohistochemistry-Paraffin: NECAB1 Antibody [NBP3-43975]

Staining of human cerebellum shows moderate cytoplasmic positivity in neurons.

Applications for NECAB1 Antibody (CL0575) - Azide and BSA Free

Application
Recommended Usage

Immunohistochemistry-Paraffin

1:500 - 1:1000

Western Blot

1 ug/ml
Application Notes
For IHC-Paraffin, HIER pH 6 retrieval is recommended.

Formulation, Preparation, and Storage

Purification

Protein A purified

Reconstitution

Centrifuge the vial of lyophilized antibody at 12,000 x g for 20 seconds. Reconstitute by adding sterile, distilled water to achieve a final antibody concentration of 1mg/ml.

Formulation

Lyophilized from a 0.2 um filtered solution in PBS with Trehalose

Format

Azide and BSA Free

Preservative

No Preservative

Concentration

LYOPH mg/ml

Shipping

The product is shipped at ambient temperature. Upon receipt, store it immediately at the temperature recommended below.

Stability & Storage

Store at 4C short term. Aliquot and store at -20C long term. Avoid freeze-thaw cycles.

Background: NECAB1

The NECAB1 gene codes for a N-terminal EF-hand calcium-binding protein 1 that in isoform 1 is 351 amino acids long and 40 kDA and in isoform 2 is 100 amino acids long at 11 kDA. NECAB1 has been linked to diseases such as seizures, schizophrenia, alzheimer's disease, motor neuron disease, neuronitis, and neurodegenerative disease.

Alternate Names

EF hand calcium binding protein 1, EFCBP1, EF-hand calcium binding protein 1, EF-hand calcium-binding protein 1, neuronal calcium binding protein, Neuronal calcium-binding protein 1, N-terminal EF-hand calcium binding protein 1, N-terminal EF-hand calcium-binding protein 1, STIP-1, synaptotagmin interacting protein 1

Gene Symbol

NECAB1

Additional NECAB1 Products

Product Documents for NECAB1 Antibody (CL0575) - Azide and BSA Free

Certificate of Analysis

To download a Certificate of Analysis, please enter a lot number in the search box below.

Product Specific Notices for NECAB1 Antibody (CL0575) - Azide and BSA Free

This product is for research use only and is not approved for use in humans or in clinical diagnosis. Primary Antibodies are guaranteed for 1 year from date of receipt.

Loading...
Loading...
Loading...
Loading...
Loading...