Skip to main content

NDUFS2 Antibody (PSH03-26)

Novus Biologicals, part of Bio-Techne | Catalog # NBP3-32639

Recombinant Monoclonal Antibody
Novus Biologicals, part of Bio-Techne
Catalog #
Availability
Size / Price
Qty
Loading...
NBP3-32639

Key Product Details

Species Reactivity

Human, Mouse, Rat

Applications

Flow Cytometry, Immunocytochemistry/ Immunofluorescence, Immunohistochemistry, Immunohistochemistry-Paraffin, Immunoprecipitation, Western Blot

Label

Unconjugated

Antibody Source

Recombinant Monoclonal Rabbit IgG Clone # PSH03-26 expressed in HEK293

Concentration

1 mg/ml

Product Specifications

Immunogen

Recombinant protein within human NDUFS2 aa 1-463 / 463. (Uniprot: O75306)

Localization

Mitochondrion inner membrane.

Clonality

Monoclonal

Host

Rabbit

Isotype

IgG

Theoretical MW

53 kDa.
Disclaimer note: The observed molecular weight of the protein may vary from the listed predicted molecular weight due to post translational modifications, post translation cleavages, relative charges, and other experimental factors.

Description

Novus Biologicals Rabbit NDUFS2 Antibody (PSH03-26) (NBP3-32639) is a recombinant monoclonal antibody validated for use in IHC, WB, Flow, ICC/IF and IP. All Novus Biologicals antibodies are covered by our 100% guarantee.

Scientific Data Images for NDUFS2 Antibody (PSH03-26)

NDUFS2 Antibody (PSH03-26)

Immunoprecipitation: NDUFS2 Antibody (PSH03-26) [NBP3-32639]

Immunoprecipitation: NDUFS2 Antibody (PSH03-26) [NBP3-32639] - NDUFS2 was immunoprecipitated in 0.2mg HeLa cell lysate with NBP3-32639 at 2 ug/25 ul agarose. Western blot was performed from the immunoprecipitate using NBP3-32639 at 1/2,000 dilution. Anti-Rabbit IgG for IP Nano-secondary antibody at 1/5,000 dilution was used for 1 hour at room temperature.

Lane 1: HeLa cell lysate (input)
Lane 2: NBP3-32639 IP in HeLa cell lysate
Lane 3: Rabbit IgG instead of NBP3-32639 in HeLa cell lysate

Blocking/Dilution buffer: 5% NFDM/TBST
Exposure time: 43 seconds
NDUFS2 Antibody (PSH03-26)

Western Blot: NDUFS2 Antibody (PSH03-26) [NBP3-32639]

Western Blot: NDUFS2 Antibody (PSH03-26) [NBP3-32639] - Western blot analysis of NDUFS2 on different lysates with Rabbit anti-NDUFS2 antibody (NBP3-32639) at 1/2,000 dilution.

Lane 1: HeLa cell lysate (20 ug/Lane)
Lane 2: Jurkat cell lysate (20 ug/Lane)
Lane 3: 293T cell lysate (20 ug/Lane)
Lane 4: A431 cell lysate (20 ug/Lane)
Lane 5: Raji cell lysate (20 ug/Lane)
Lane 6: SK-Br-3 cell lysate (20 ug/Lane)
Lane 7: K-562 cell lysate (20 ug/Lane)
Lane 8: NIH/3T3 cell lysate (20 ug/Lane)
Lane 9: RAW264.7 cell lysate (20 ug/Lane)
Lane 10: PC-12 cell lysate (20 ug/Lane)
Lane 11: Mouse brain tissue lysate (40 ug/Lane)
Lane 12: Mouse kidney tissue lysate (40 ug/Lane)
Lane 13: Rat brain tissue lysate (40 ug/Lane)
Lane 14: Rat kidney tissue lysate (40 ug/Lane)

Predicted band size: 53 kDa
Observed band size: 45 kDa

Exposure time: 24 seconds;

4-20% SDS-PAGE gel.

Proteins were transferred to a PVDF membrane and blocked with 5% NFDM/TBST for 1 hour at room temperature. The primary antibody (NBP3-32639) at 1/2,000 dilution was used in 5% NFDM/TBST at 4 overnight. Goat Anti-Rabbit IgG - HRP Secondary Antibody at 1/50,000 dilution was used for 1 hour at room temperature.
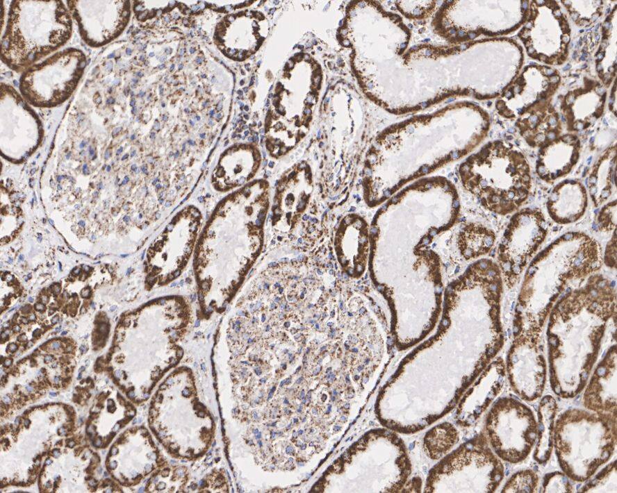
NDUFS2 Antibody (PSH03-26)

Immunohistochemistry: NDUFS2 Antibody (PSH03-26) [NBP3-32639]

Immunohistochemistry: NDUFS2 Antibody (PSH03-26) [NBP3-32639] - Immunohistochemical analysis of paraffin-embedded human kidney tissue with Rabbit anti-NDUFS2 antibody (NBP3-32639) at 1/1,000 dilution.

The section was pre-treated using heat mediated antigen retrieval with Tris-EDTA buffer (pH 9.0) for 20 minutes. The tissues were blocked in 1% BSA for 20 minutes at room temperature, washed with ddH2O and PBS, and then probed with the primary antibody (NBP3-32639) at 1/1,000 dilution for 1 hour at room temperature. The detection was performed using an HRP conjugated compact polymer system. DAB was used as the chromogen. Tissues were counterstained with hematoxylin and mounted with DPX.

Applications for NDUFS2 Antibody (PSH03-26)

Application
Recommended Usage

Flow Cytometry

1:1000

Immunocytochemistry/ Immunofluorescence

1:100

Immunohistochemistry-Paraffin

1:1000

Immunoprecipitation

1-2ug/sample

Western Blot

1:2000

Formulation, Preparation, and Storage

Purification

Protein A purified

Formulation

PBS (pH7.4), 0.1% BSA and 40% Glycerol

Preservative

0.05% Sodium Azide

Concentration

1 mg/ml

Shipping

The product is shipped with polar packs. Upon receipt, store it immediately at the temperature recommended below.

Stability & Storage

Store at 4C short term. Aliquot and store at -20C long term. Avoid freeze-thaw cycles.

Background: NDUFS2

Mitochondrial complex I (NADH-ubiquinone reductase; EC 1.6.5.3) is the first multimeric complex of the respiratory chain that catalyzes the NADH oxidation with concomitant ubiquinone reduction and proton ejection out of the mitochondria. Mammalian mitochondrial complex I is an assembly of at least 43 different subunits. Seven of the subunits are encoded by the mitochondrial genome; the remainder are the products of nuclear genes. The iron-sulfur protein (IP) fraction of complex I is made up of 7 subunits, including NDUFS2. See NDUFS1 (MIM 157655).[supplied by OMIM]

Alternate Names

CI-49, CI-49kD, complex 1, mitochondrial respiratory chain, 49-KD subunit, complex I 49kDa subunit, Complex I-49kD, EC 1.6.5.3, EC 1.6.99.3, EC 1.6.99.5, NADH dehydrogenase (ubiquinone) Fe-S protein 2 (49kD) (NADH-coenzyme Qreductase), NADH dehydrogenase (ubiquinone) Fe-S protein 2, 49kDa (NADH-coenzyme Qreductase), NADH dehydrogenase [ubiquinone] iron-sulfur protein 2, mitochondrial, NADH-ubiquinone oxidoreductase 49 kDa subunit, NADH-ubiquinone oxidoreductase NDUFS2 subunit

Gene Symbol

NDUFS2

Additional NDUFS2 Products

Product Documents for NDUFS2 Antibody (PSH03-26)

Certificate of Analysis

To download a Certificate of Analysis, please enter a lot number in the search box below.

Product Specific Notices for NDUFS2 Antibody (PSH03-26)

This product is for research use only and is not approved for use in humans or in clinical diagnosis. Primary Antibodies are guaranteed for 1 year from date of receipt.

Loading...
Loading...
Loading...
Loading...
Loading...