Skip to main content

NDUFS2 Antibody (OTI1D5)

Novus Biologicals, part of Bio-Techne | Catalog # NBP2-46127

Novus Biologicals, part of Bio-Techne
Catalog #
Availability
Size / Price
Qty
Loading...
NBP2-46127

Key Product Details

Validated by

Knockout/Knockdown

Species Reactivity

Validated:

Human, Mouse, Rat

Cited:

Human

Applications

Validated:

Knockout Validated, Immunohistochemistry, Immunohistochemistry-Paraffin, Western Blot

Cited:

Western Blot

Label

Unconjugated

Antibody Source

Monoclonal Mouse IgG1 Clone # OTI1D5

Concentration

1 mg/ml

Product Specifications

Immunogen

Human recombinant protein fragment corresponding to amino acids 205-463 of human NDUFS2 (NP_004541) produced in E.coli.

Reactivity Notes

Please note that this antibody is reactive to Mouse and derived from the same host, Mouse. Mouse-On-Mouse blocking reagent may be needed for IHC and ICC experiments to reduce high background signal. You can find these reagents under catalog numbers PK-2200-NB and MP-2400-NB. Please contact Technical Support if you have any questions.

Clonality

Monoclonal

Host

Mouse

Isotype

IgG1

Theoretical MW

49.1 kDa.
Disclaimer note: The observed molecular weight of the protein may vary from the listed predicted molecular weight due to post translational modifications, post translation cleavages, relative charges, and other experimental factors.

Description

Novus Biologicals Knockout (KO) Validated Mouse NDUFS2 Antibody (OTI1D5) (NBP2-46127) is a monoclonal antibody validated for use in IHC and WB. Anti-NDUFS2 Antibody: Cited in 1 publication. All Novus Biologicals antibodies are covered by our 100% guarantee.

Scientific Data Images for NDUFS2 Antibody (OTI1D5)

Knockout Validated: NDUFS2 Antibody (OTI1D5) [NBP2-46127]

Western Blot: NDUFS2 Antibody (OTI1D5) [NBP2-46127]

Western Blot: NDUFS2 Antibody (OTI1D5) [NBP2-46127] - Lysates of HAP1 (WT and NDUFS2 KO) were prepared and 40 ug of protein were processed for immunoblot with NDUFS2 antibody (OTI1D5). The Ponceau stained transfers of the blot are shown. Antibody dilution used: NBP2-46127 at 1/2000. Predicted band size: 52 kDa. Image, protocol, and testing courtesy of YCharOS Inc. (ycharos.com).
Western Blot: NDUFS2 Antibody (OTI1D5) [NBP2-46127]

Western Blot: NDUFS2 Antibody (OTI1D5) [NBP2-46127]

Western Blot: NDUFS2 Antibody (1D5) [NBP2-46127] - Analysis of HEK293T cells were transfected with the pCMV6-ENTRY control (Left lane) or pCMV6-ENTRY NDUFS2.
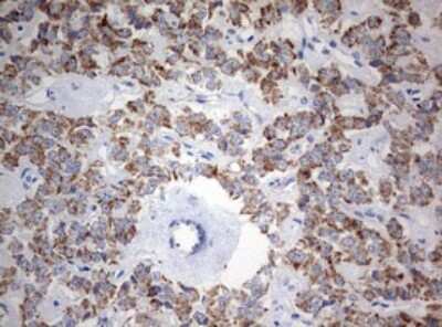
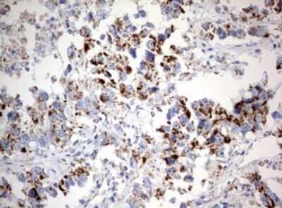
Immunohistochemistry: NDUFS2 Antibody (OTI1D5) [NBP2-46127]

Immunohistochemistry: NDUFS2 Antibody (OTI1D5) [NBP2-46127]

Immunohistochemistry: NDUFS2 Antibody (1D5) [NBP2-46127] - Analysis of Human lymph node tissue. (Heat-induced epitope retrieval by 10mM citric buffer, pH6.0, 120C for 3min)

Applications for NDUFS2 Antibody (OTI1D5)

Application
Recommended Usage

Immunohistochemistry

1:150

Immunohistochemistry-Paraffin

1:150

Western Blot

1:2000

Formulation, Preparation, and Storage

Purification

Immunogen affinity purified

Formulation

PBS (pH 7.3), 1.0% BSA and 50% Glycerol

Preservative

0.02% Sodium Azide

Concentration

1 mg/ml

Shipping

The product is shipped with polar packs. Upon receipt, store it immediately at the temperature recommended below.

Stability & Storage

Store at -20C. Avoid freeze-thaw cycles.

Background: NDUFS2

Mitochondrial complex I (NADH-ubiquinone reductase; EC 1.6.5.3) is the first multimeric complex of the respiratory chain that catalyzes the NADH oxidation with concomitant ubiquinone reduction and proton ejection out of the mitochondria. Mammalian mitochondrial complex I is an assembly of at least 43 different subunits. Seven of the subunits are encoded by the mitochondrial genome; the remainder are the products of nuclear genes. The iron-sulfur protein (IP) fraction of complex I is made up of 7 subunits, including NDUFS2. See NDUFS1 (MIM 157655).[supplied by OMIM]

Alternate Names

CI-49, CI-49kD, complex 1, mitochondrial respiratory chain, 49-KD subunit, complex I 49kDa subunit, Complex I-49kD, EC 1.6.5.3, EC 1.6.99.3, EC 1.6.99.5, NADH dehydrogenase (ubiquinone) Fe-S protein 2 (49kD) (NADH-coenzyme Qreductase), NADH dehydrogenase (ubiquinone) Fe-S protein 2, 49kDa (NADH-coenzyme Qreductase), NADH dehydrogenase [ubiquinone] iron-sulfur protein 2, mitochondrial, NADH-ubiquinone oxidoreductase 49 kDa subunit, NADH-ubiquinone oxidoreductase NDUFS2 subunit

Gene Symbol

NDUFS2

Additional NDUFS2 Products

Product Documents for NDUFS2 Antibody (OTI1D5)

Certificate of Analysis

To download a Certificate of Analysis, please enter a lot number in the search box below.

Product Specific Notices for NDUFS2 Antibody (OTI1D5)

This product is for research use only and is not approved for use in humans or in clinical diagnosis. Primary Antibodies are guaranteed for 1 year from date of receipt.

Loading...
Loading...
Loading...
Loading...