Skip to main content

NDUFC2 Antibody (S05-2C2)

Novus Biologicals, part of Bio-Techne | Catalog # NBP3-19710

Recombinant Monoclonal Antibody
Novus Biologicals, part of Bio-Techne
Catalog #
Availability
Size / Price
Qty
Loading...
NBP3-19710-100ul
NBP3-19710-50ul

Key Product Details

Species Reactivity

Human

Applications

Immunohistochemistry, Immunohistochemistry-Paraffin, Western Blot

Label

Unconjugated

Antibody Source

Recombinant Monoclonal Rabbit IgG Clone # S05-2C2 expressed in HEK293

Concentration

0.3 mg/ml

Product Specifications

Immunogen

Recombinant protein of human NDUFC2 (Uniprot # O95298)

Clonality

Monoclonal

Host

Rabbit

Isotype

IgG

Theoretical MW

14 kDa.
Disclaimer note: The observed molecular weight of the protein may vary from the listed predicted molecular weight due to post translational modifications, post translation cleavages, relative charges, and other experimental factors.

Description

Novus Biologicals Rabbit NDUFC2 Antibody (S05-2C2) (NBP3-19710) is a recombinant monoclonal antibody validated for use in IHC and WB. All Novus Biologicals antibodies are covered by our 100% guarantee.

Scientific Data Images for NDUFC2 Antibody (S05-2C2)

Western Blot: NDUFC2 Antibody (S05-2C2) [NBP3-19710]

Western Blot: NDUFC2 Antibody (S05-2C2) [NBP3-19710]

Western Blot: NDUFC2 Antibody (S05-2C2) [NBP3-19710] - Western blot detection of NDUFC2 in Jurkat cell lysates using NBP3-19710 (1:500 diluted). Predicted band size: 14kDa. Observed band size: 14kDa.
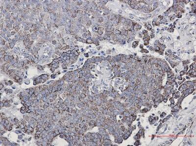
Immunohistochemistry-Paraffin: NDUFC2 Antibody (S05-2C2) [NBP3-19710]

Immunohistochemistry-Paraffin: NDUFC2 Antibody (S05-2C2) [NBP3-19710]

Immunohistochemistry-Paraffin: NDUFC2 Antibody (S05-2C2) [NBP3-19710] - Immunohistochemistry of NDUFC2 in paraffin-embedded Human breast cancer tissue using NBP3-19710 at dilution 1/50

Applications for NDUFC2 Antibody (S05-2C2)

Application
Recommended Usage

Immunohistochemistry

1/20-1/50

Western Blot

1/1000

Formulation, Preparation, and Storage

Purification

Affinity purified

Formulation

50mM Tris-Glycine(pH 7.4), 0.15M NaCl, 40% Glycerol, 0.05% BSA

Preservative

0.01% Sodium Azide

Concentration

0.3 mg/ml

Shipping

The product is shipped with polar packs. Upon receipt, store it immediately at the temperature recommended below.

Stability & Storage

Store at 4C short term. Aliquot and store at -20C long term. Avoid freeze-thaw cycles.

Background: NDUFC2

Accessory subunit of the mitochondrial membrane respiratory chain NADH dehydrogenase (Complex I), that is believed not to be involved in catalysis. Complex I functions in the transfer of electrons from NADH to the respiratory chain. The immediate electron acceptor for the enzyme is believed to be ubiquinone

Alternate Names

B14.5b, CI-B14.5b, complex I subunit B14.5b, Complex I-B14.5b, HLC-1NADH dehydrogenase (ubiquinone) 1, subcomplex unknown, 2 (14.5kD, B14.5b), Human lung cancer oncogene 1 protein, NADH dehydrogenase (ubiquinone) 1, subcomplex unknown, 2, 14.5kDa, NADH dehydrogenase [ubiquinone] 1 subunit C2, NADHDH2, NADH-ubiquinone oxidoreductase subunit B14.5b

Gene Symbol

NDUFC2

Additional NDUFC2 Products

Product Documents for NDUFC2 Antibody (S05-2C2)

Certificate of Analysis

To download a Certificate of Analysis, please enter a lot number in the search box below.

Product Specific Notices for NDUFC2 Antibody (S05-2C2)

This product is for research use only and is not approved for use in humans or in clinical diagnosis. Primary Antibodies are guaranteed for 1 year from date of receipt.

Loading...
Loading...
Loading...
Loading...