Skip to main content

NDUFAF2 Antibody - BSA Free

Novus Biologicals, part of Bio-Techne | Catalog # NBP3-47371

Novus Biologicals, part of Bio-Techne
Catalog #
Availability
Size / Price
Qty
Loading...
NBP3-47371

Key Product Details

Species Reactivity

Human, Mouse, Rat

Applications

ELISA, Immunohistochemistry, Western Blot

Label

Unconjugated

Antibody Source

Polyclonal Rabbit IgG

Format

BSA Free

Concentration

Please see the vial label for concentration. If unlisted please contact technical services.

Product Specifications

Immunogen

NADH dehydrogenase(ubiquinone) 1 alpha subcomplex, assembly factor 2. (Uniprot# Q8N183)

Clonality

Polyclonal

Host

Rabbit

Isotype

IgG

Theoretical MW

25 kDa.
Disclaimer note: The observed molecular weight of the protein may vary from the listed predicted molecular weight due to post translational modifications, post translation cleavages, relative charges, and other experimental factors.

Description

Novus Biologicals Rabbit NDUFAF2 Antibody - BSA Free (NBP3-47371) is a polyclonal antibody validated for use in IHC, WB and ELISA. All Novus Biologicals antibodies are covered by our 100% guarantee.

Scientific Data Images for NDUFAF2 Antibody - BSA Free

NDUFAF2 Antibody - BSA Free

Western Blot: NDUFAF2 Antibody - BSA Free [NBP3-47371] -

Western Blot: NDUFAF2 Antibody - BSA Free [NBP3-47371] - HepG2 cells were subjected to SDS PAGE followed by western blot with (NDUFAF2 antibody) at dilution of 1:800
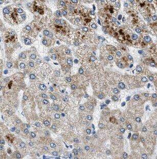
NDUFAF2 Antibody - BSA Free

Immunohistochemistry: NDUFAF2 Antibody - BSA Free [NBP3-47371] -

Immunohistochemistry: NDUFAF2 Antibody - BSA Free [NBP3-47371] - Immunohistochemistry of paraffin-embedded human liver using (NDUFAF2 antibody) at dilution of 1:100

Applications for NDUFAF2 Antibody - BSA Free

Application
Recommended Usage

Immunohistochemistry

1:20-1:200

Western Blot

1:500-1:2000

Formulation, Preparation, and Storage

Purification

Immunogen affinity purified

Formulation

PBS, 50% Glycerol, pH (7.3)

Format

BSA Free

Preservative

0.02% Sodium Azide

Concentration

Please see the vial label for concentration. If unlisted please contact technical services.

Shipping

The product is shipped with polar packs. Upon receipt, store it immediately at the temperature recommended below.

Stability & Storage

Store at -20C. Avoid freeze-thaw cycles.

Background: NDUFAF2

NADH:ubiquinone oxidoreductase (complex I) catalyzes the transfer of electrons from NADH to ubiquinone (coenzyme Q) inthe first step of the mitochondrial respiratory chain, resulting in the translocation of protons across the innermitochondrial membrane. This gene encodes a complex I assembly factor. Mutations in this gene cause progressiveencephalopathy resulting from mitochondrial complex I deficiency. (provided by RefSeq)

Alternate Names

B17.2LFLJ22398, B17.2-like, mimitin, MMTNmitochondrial, Myc-induced mitochondrial protein, NADH dehydrogenase (ubiquinone) 1 alpha subcomplex, assembly factor 2, NADH dehydrogenase [ubiquinone] 1 alpha subcomplex assembly factor 2, NDUFA12-like, NDUFA12-like protein

Gene Symbol

NDUFAF2

Additional NDUFAF2 Products

Product Documents for NDUFAF2 Antibody - BSA Free

Certificate of Analysis

To download a Certificate of Analysis, please enter a lot number in the search box below.

Product Specific Notices for NDUFAF2 Antibody - BSA Free

This product is for research use only and is not approved for use in humans or in clinical diagnosis. Primary Antibodies are guaranteed for 1 year from date of receipt.

Loading...
Loading...
Loading...
Loading...