Skip to main content

NDRG4 Antibody

Novus Biologicals, part of Bio-Techne | Catalog # NBP2-19500

Novus Biologicals, part of Bio-Techne
Catalog #
Availability
Size / Price
Qty
Loading...
NBP2-19500

Key Product Details

Species Reactivity

Validated:

Human

Predicted:

Bovine (98%), Mouse (99%), Rat (97%). Backed by our 100% Guarantee.

Applications

Immunohistochemistry, Immunohistochemistry-Paraffin, Western Blot

Label

Unconjugated

Antibody Source

Polyclonal Rabbit IgG

Concentration

Concentrations vary lot to lot. See vial label for concentration. If unlisted please contact technical services.

Product Specifications

Immunogen

Recombinant protein encompassing a sequence within the center region of human NDRG4. The exact sequence is proprietary.

Reactivity Notes

Zebrafish (85%), Xenopus laevis (89%).

Clonality

Polyclonal

Host

Rabbit

Isotype

IgG

Theoretical MW

38 kDa.
Disclaimer note: The observed molecular weight of the protein may vary from the listed predicted molecular weight due to post translational modifications, post translation cleavages, relative charges, and other experimental factors.

Description

Novus Biologicals Rabbit NDRG4 Antibody (NBP2-19500) is a polyclonal antibody validated for use in IHC and WB. All Novus Biologicals antibodies are covered by our 100% guarantee.

Scientific Data Images for NDRG4 Antibody

Western Blot: NDRG4 Antibody [NBP2-19500]

Western Blot: NDRG4 Antibody [NBP2-19500]

Western Blot: NDRG4 Antibody [NBP2-19500] - Sample (30 ug of whole cell lysate) A: Jurakt 10% SDS PAGE gel, diluted at 1:1000.
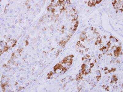
Immunohistochemistry-Paraffin: NDRG4 Antibody [NBP2-19500]

Immunohistochemistry-Paraffin: NDRG4 Antibody [NBP2-19500]

Immunohistochemistry-Paraffin: NDRG4 Antibody [NBP2-19500] - Paraffin-embedded hepatoma. NDRG4 antibody dilution: 1:500.

Applications for NDRG4 Antibody

Application
Recommended Usage

Immunohistochemistry

1:100-1:1000

Immunohistochemistry-Paraffin

1:100-1:1000

Western Blot

1:500-1:3000

Formulation, Preparation, and Storage

Purification

Antigen Affinity-purified

Formulation

PBS, 1% BSA, 20% Glycerol

Preservative

0.01% Thimerosal

Concentration

Concentrations vary lot to lot. See vial label for concentration. If unlisted please contact technical services.

Shipping

The product is shipped with polar packs. Upon receipt, store it immediately at the temperature recommended below.

Stability & Storage

Aliquot and store at -20C or -80C. Avoid freeze-thaw cycles.

Background: NDRG4

This gene is a member of the N-myc downregulated gene family which belongs to the alpha/beta hydrolase superfamily. The protein encoded by this gene is a cytoplasmic protein that may be involved in the regulation of mitogenic signalling in vascular smooth muscles cells. Several alternatively spliced transcript variants of this gene have been described, but the full-length nature of some of these variants has not been determined. [provided by RefSeq]

Alternate Names

BDM1, Brain development-related molecule 1, DKFZp686I1615, FLJ30586, KIAA1180FLJ42011, NDRG family member 4, protein NDRG4, SMAP-8MGC19632, smooth muscle-associated protein 8, Vascular smooth muscle cell-associated protein 8

Gene Symbol

NDRG4

UniProt

Additional NDRG4 Products

Product Documents for NDRG4 Antibody

Certificate of Analysis

To download a Certificate of Analysis, please enter a lot number in the search box below.

Product Specific Notices for NDRG4 Antibody

This product is for research use only and is not approved for use in humans or in clinical diagnosis. Primary Antibodies are guaranteed for 1 year from date of receipt.

Loading...
Loading...
Loading...
Loading...

⚠ WARNING: This product can expose you to chemicals including mercury, which is known to the State of California to cause reproductive toxicity with developmental effects.  For more information go to www.P65Warnings.ca.gov.