Skip to main content

NDP52 Antibody - BSA Free

Novus Biologicals, part of Bio-Techne | Catalog # NBP1-87873

Novus Biologicals, part of Bio-Techne
Catalog #
Availability
Size / Price
Qty
Loading...
NBP1-87873
NBP1-87873-25ul

Key Product Details

Validated by

Orthogonal Validation, Independent Antibodies

Species Reactivity

Human

Applications

Immunohistochemistry, Immunohistochemistry-Paraffin, Western Blot

Label

Unconjugated

Antibody Source

Polyclonal Rabbit IgG

Format

BSA Free

Concentration

Concentrations vary lot to lot. See vial label for concentration. If unlisted please contact technical services.

Product Specifications

Immunogen

This antibody was developed against Recombinant Protein corresponding to amino acids: YYLPKDDEYYQFCYVDEDGVVRGASIPFQFRPENEEDILVVTTQGEVEEIEQHNKELCKENQELKDSCISLQKQNSD

Clonality

Polyclonal

Host

Rabbit

Isotype

IgG

Description

Novus Biologicals Rabbit NDP52 Antibody - BSA Free (NBP1-87873) is a polyclonal antibody validated for use in IHC and WB. All Novus Biologicals antibodies are covered by our 100% guarantee.

Scientific Data Images for NDP52 Antibody - BSA Free

Immunohistochemistry-Paraffin: NDP52 Antibody [NBP1-87873]

Immunohistochemistry-Paraffin: NDP52 Antibody [NBP1-87873]

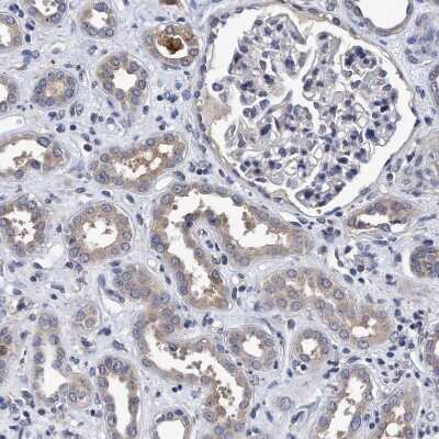
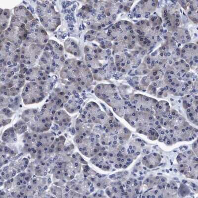
Immunohistochemistry-Paraffin: NDP52 Antibody [NBP1-87873] - Analysis in human testis and pancreas tissues. Corresponding NDP52 RNA-seq data are presented for the same tissues.
Immunohistochemistry-Paraffin: NDP52 Antibody [NBP1-87873]

Immunohistochemistry-Paraffin: NDP52 Antibody [NBP1-87873]

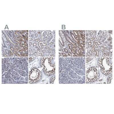
Immunohistochemistry-Paraffin: NDP52 Antibody [NBP1-87873] - Staining of human gastrointestinal, kidney, pancreas and testis using Anti-NDP52 antibody NBP1-87873 (A) shows similar protein distribution across tissues to independent antibody NBP1-87874 (B).
Immunohistochemistry-Paraffin: NDP52 Antibody [NBP1-87873]

Immunohistochemistry-Paraffin: NDP52 Antibody [NBP1-87873]

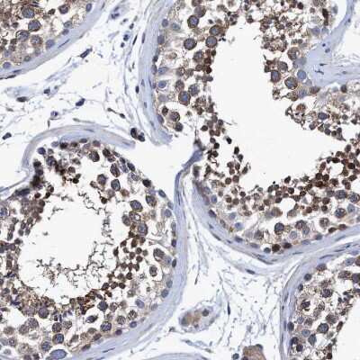
Immunohistochemistry-Paraffin: NDP52 Antibody [NBP1-87873] - Staining of human testis shows strong cytoplasmic positivity in cells in seminiferous ducts.

Applications for NDP52 Antibody - BSA Free

Application
Recommended Usage

Immunohistochemistry

1:200 - 1:500

Immunohistochemistry-Paraffin

1:200 - 1:500

Western Blot

0.04-0.4 ug/ml
Application Notes
For IHC-Paraffin, HIER pH 6 retrieval is recommended.

Formulation, Preparation, and Storage

Purification

Immunogen affinity purified

Formulation

PBS (pH 7.2) and 40% Glycerol

Format

BSA Free

Preservative

0.02% Sodium Azide

Concentration

Concentrations vary lot to lot. See vial label for concentration. If unlisted please contact technical services.

Shipping

The product is shipped with polar packs. Upon receipt, store it immediately at the temperature recommended below.

Stability & Storage

Store at 4C short term. Aliquot and store at -20C long term. Avoid freeze-thaw cycles.

Background: NDP52

NDP52 is encoded by this gene is a subunit of nuclear domain 10 (ND10) bodies. ND10 bodies are nuclear domains appearing immunohistochemically as ten dots per nucleus. They are believed to be associated with the nuclear matrix on the basis of their resistance to nuclease digestion and salt extraction. ND10 proteins are removed from the nucleus by herpes simplex virus-1 infection and may have a role in viral life cycles. [provided by RefSeq]

Alternate Names

Antigen nuclear dot 52 kDa protein, calcium binding and coiled-coil domain 2, calcium-binding and coiled-coil domain-containing protein 2, NDP52MGC17318, Nuclear domain 10 protein 52, Nuclear domain 10 protein NDP52, Nuclear dot protein 52

Gene Symbol

CALCOCO2

Additional NDP52 Products

Product Documents for NDP52 Antibody - BSA Free

Certificate of Analysis

To download a Certificate of Analysis, please enter a lot number in the search box below.

Product Specific Notices for NDP52 Antibody - BSA Free

This product is for research use only and is not approved for use in humans or in clinical diagnosis. Primary Antibodies are guaranteed for 1 year from date of receipt.

Loading...
Loading...
Loading...
Loading...
Loading...