Skip to main content

NDOR1 Antibody - BSA Free

Novus Biologicals, part of Bio-Techne | Catalog # NBP2-19498

Novus Biologicals, part of Bio-Techne
Catalog #
Availability
Size / Price
Qty
Loading...
NBP2-19498

Key Product Details

Species Reactivity

Human

Applications

Immunohistochemistry, Immunohistochemistry-Paraffin, Western Blot

Label

Unconjugated

Antibody Source

Polyclonal Rabbit IgG

Format

BSA Free

Concentration

Concentrations vary lot to lot. See vial label for concentration. If unlisted please contact technical services.

Product Specifications

Immunogen

Recombinant protein encompassing a sequence within the center region of human NDOR1. The exact sequence is proprietary.

Reactivity Notes

Immunogen displays the following percentage of sequence identity for non-tested species: Mouse (80%).

Localization

Cytoplasm; perinuclear region

Clonality

Polyclonal

Host

Rabbit

Isotype

IgG

Theoretical MW

67 kDa.
Disclaimer note: The observed molecular weight of the protein may vary from the listed predicted molecular weight due to post translational modifications, post translation cleavages, relative charges, and other experimental factors.

Description

Novus Biologicals Rabbit NDOR1 Antibody - BSA Free (NBP2-19498) is a polyclonal antibody validated for use in IHC and WB. All Novus Biologicals antibodies are covered by our 100% guarantee.

Scientific Data Images for NDOR1 Antibody - BSA Free

Western Blot: NDOR1 Antibody [NBP2-19498]

Western Blot: NDOR1 Antibody [NBP2-19498]

Western Blot: NDOR1 Antibody [NBP2-19498] - Sample (30 ug of whole cell lysate) A: Jurkat 7. 5% SDS PAGE gel, diluted at 1:1000.
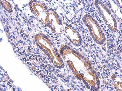
Immunohistochemistry-Paraffin: NDOR1 Antibody [NBP2-19498]

Immunohistochemistry-Paraffin: NDOR1 Antibody [NBP2-19498]

Immunohistochemistry-Paraffin: NDOR1 Antibody [NBP2-19498] - Immunohistochemical analysis of paraffin-embedded gastric ca, using antibody at 1:500 dilution.

Applications for NDOR1 Antibody - BSA Free

Application
Recommended Usage

Immunohistochemistry

10 - 1:500

Immunohistochemistry-Paraffin

1:100-1:1000

Western Blot

1:500-1:3000

Formulation, Preparation, and Storage

Purification

Antigen Affinity-purified

Formulation

0.1M Tris, 0.1M Glycine, 20% Glycerol

Format

BSA Free

Preservative

0.01% Thimerosal

Concentration

Concentrations vary lot to lot. See vial label for concentration. If unlisted please contact technical services.

Shipping

The product is shipped with polar packs. Upon receipt, store it immediately at the temperature recommended below.

Stability & Storage

Aliquot and store at -20C or -80C. Avoid freeze-thaw cycles.

Background: NDOR1

This gene encodes an NADPH-dependent diflavin reductase that contains both flavin mononucleotide (FMN) and flavin adenine dinucleotide (FAD) binding domains. The encoded protein is an enzyme that catalyzes the transfers electrons from NADPH through FAD and FMN cofactors to potential redox partners. Alternative splicing results in multiple transcript variants. [provided by RefSeq]

Alternate Names

bA350O14.9, EC 1.6, MGC138148, NADPH dependent diflavin oxidoreductase 1, NADPH-dependent diflavin oxidoreductase 1, NADPH-dependent FMN and FAD containing oxidoreductase, NADPH-dependent FMN and FAD-containing oxidoreductase, Novel reductase 1, NR1NADPH dependent FMN and FAD containing oxidoreductase

Gene Symbol

NDOR1

UniProt

Additional NDOR1 Products

Product Documents for NDOR1 Antibody - BSA Free

Certificate of Analysis

To download a Certificate of Analysis, please enter a lot number in the search box below.

Product Specific Notices for NDOR1 Antibody - BSA Free

This product is for research use only and is not approved for use in humans or in clinical diagnosis. Primary Antibodies are guaranteed for 1 year from date of receipt.

Loading...
Loading...
Loading...
Loading...

⚠ WARNING: This product can expose you to chemicals including mercury, which is known to the State of California to cause reproductive toxicity with developmental effects.  For more information go to www.P65Warnings.ca.gov.