Skip to main content

NCF1 Antibody

Novus Biologicals, part of Bio-Techne | Catalog # NB100-790

Novus Biologicals, part of Bio-Techne
Catalog #
Availability
Size / Price
Qty
Loading...
NB100-790

Key Product Details

Species Reactivity

Validated:

Human, Mouse, Porcine, Bacteria

Cited:

Mouse, Bacteria

Predicted:

Bovine (100%), Rat (100%). Backed by our 100% Guarantee.

Applications

Validated:

Immunohistochemistry, Immunohistochemistry-Paraffin, Western Blot, Peptide ELISA, Flow Cytometry, Immunocytochemistry/ Immunofluorescence, Immunoprecipitation

Cited:

Immunocytochemistry/ Immunofluorescence, Immunoprecipitation, IF/IHC

Label

Unconjugated

Antibody Source

Polyclonal Goat IgG

Concentration

0.5 mg/ml

Product Specifications

Immunogen

Peptide with sequence C-SESTKRKLASAV corresponding to C-Terminus according to NP_000256.3.

Reactivity Notes

Bacteria reactivity reported in scientific literature (PMID: 28725637).

Clonality

Polyclonal

Host

Goat

Isotype

IgG

Description

Novus Biologicals Goat NCF1 Antibody (NB100-790) is a polyclonal antibody validated for use in IHC, WB, ELISA, Flow, ICC/IF and IP. Anti-NCF1 Antibody: Cited in 5 publications. All Novus Biologicals antibodies are covered by our 100% guarantee.

Scientific Data Images for NCF1 Antibody

Western Blot: NCF1 Antibody [NB100-790]

Western Blot: NCF1 Antibody [NB100-790]

Western Blot: NCF1 Antibody [NB100-790] - Staining of U937 (A), Daudi (B), U251 (C) and negative control A431 (D) cell lysate (35 ug protein in RIPA buffer). Antibody at 0.2, 0.01, and 0.3 ug/mL respectively. Detected by chemiluminescence.
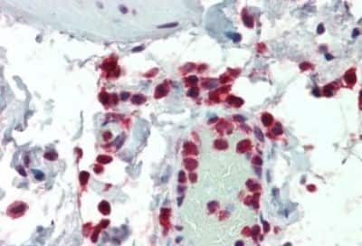
Immunohistochemistry-Paraffin: NCF1 Antibody [NB100-790]

Immunohistochemistry-Paraffin: NCF1 Antibody [NB100-790]

Immunohistochemistry-Paraffin: NCF1 Antibody [NB100-790] - Staining of paraffin embedded Human Colon. Antibody at 5 ug/mL. Steamed antigen retrieval with citrate buffer pH 6, AP-staining.
Flow Cytometry: NCF1 Antibody [NB100-790]

Flow Cytometry: NCF1 Antibody [NB100-790]

Flow Cytometry: NCF1 Antibody [NB100-790] - Analysis of paraformaldehyde fixed HeLa cells (blue line), permeabilized with 0.5% Triton. Primary incubation 1hr (10 ug/mL) followed by Alexa Fluor 488 secondary antibody (1 ug/mL). IgG control: Unimmunized goat IgG (black line) followed by Alexa Fluor 488 secondary antibody.

Applications for NCF1 Antibody

Application
Recommended Usage

Flow Cytometry

10 ug/mL

Immunohistochemistry-Paraffin

5 ug/mL

Peptide ELISA

Detection limit 1:20000

Western Blot

0.01 - 1 ug/mL
Application Notes
WB: Approx 48 kDa band observed in lysates of cell lines Daudi, U251 and U937 and in Mouse Thymus, and approx, 50 kDa in Pig Spleen lysates (calculated MW of 44.7 kDa according to Human NP_000256.4, 46.0 kDa according to Mouse NP_001272966.1 and 45.3kDa according to Pig NP_001106691.1). Use in immunoprecipitation reported in scientific literature (PMID:28725637).

Formulation, Preparation, and Storage

Purification

Immunogen affinity purified

Formulation

Tris saline (20 mM Tris pH 7.3, 150 mM NaCl), 0.5% BSA

Preservative

0.02% Sodium Azide

Concentration

0.5 mg/ml

Shipping

The product is shipped with polar packs. Upon receipt, store it immediately at the temperature recommended below.

Stability & Storage

Store at -20C. Avoid freeze-thaw cycles.

Background: NCF1

NCF1, along with NCF2 and a membrane bound cytochrome b558, is required for activation of the latent NADPH oxidase necessary for superoxide production. Defects in NCF1 are the cause of autosomal cytochrome-b-positive chronic granulomatous disease type 1 (CGD). NCF1 is a cytosolic subunit of the multi-protein complex known as NADPH oxidase found in neutrophils.

Alternate Names

47 kDa neutrophil oxidase factor, FLJ79451, NADPH oxidase organizer 2, NCF-1, NCF1A, neutrophil cytosol factor 1,47 kDa autosomal chronic granulomatous disease protein, neutrophil cytosolic factor 1, neutrophil cytosolic factor 1 (47kD, chronic granulomatous disease, autosomal1), neutrophil cytosolic factor 1, (chronic granulomatous disease, autosomal 1), Neutrophil NADPH oxidase factor 1, Nox organizer 2, NOXO2NCF-47K, Nox-organizing protein 2, p47phox, SH3 and PX domain-containing protein 1A, SH3PXD1Ap47-phox

Entrez Gene IDs

653361 (Human); 17969 (Mouse); 114553 (Rat)

Gene Symbol

NCF1

Additional NCF1 Products

Product Documents for NCF1 Antibody

Certificate of Analysis

To download a Certificate of Analysis, please enter a lot number in the search box below.

Product Specific Notices for NCF1 Antibody

This product is for research use only and is not approved for use in humans or in clinical diagnosis. Primary Antibodies are guaranteed for 1 year from date of receipt.

Loading...
Loading...
Loading...
Loading...
Loading...