Skip to main content

Napsin A Antibody (CL12954) - BSA Free

Novus Biologicals, part of Bio-Techne | Catalog # NBP3-18551

Novus Biologicals, part of Bio-Techne
Catalog #
Availability
Size / Price
Qty
Loading...
NBP3-18551-100ul
NBP3-18551-25ul

Key Product Details

Species Reactivity

Human

Applications

Immunohistochemistry, Immunohistochemistry-Paraffin

Label

Unconjugated

Antibody Source

Monoclonal Mouse IgG1 Clone # CL12954

Format

BSA Free

Concentration

Concentrations vary lot to lot. See vial label for concentration. If unlisted please contact technical services.

Product Specifications

Immunogen

This antibody was developed using a synthetic peptide derived from O96009, with the exact immunogen sequence remaining proprietary.

Clonality

Monoclonal

Host

Mouse

Isotype

IgG1

Description

Novus Biologicals Mouse Napsin A Antibody (CL12954) - BSA Free (NBP3-18551) is a monoclonal antibody validated for use in IHC. All Novus Biologicals antibodies are covered by our 100% guarantee.

Scientific Data Images for Napsin A Antibody (CL12954) - BSA Free

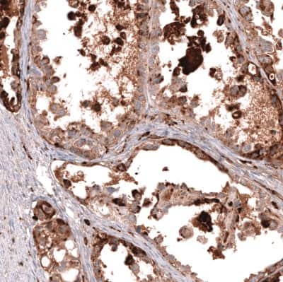
Immunohistochemistry-Paraffin: Napsin A Antibody (CL12954) [NBP3-18551]

Immunohistochemistry-Paraffin: Napsin A Antibody (CL12954) [NBP3-18551]

Immunohistochemistry-Paraffin: Napsin A Antibody (CL12954) [NBP3-18551] - Staining of human cerebral cortex shows no positivity in neurons as expected.
Immunohistochemistry-Paraffin: Napsin A Antibody (CL12954) [NBP3-18551]

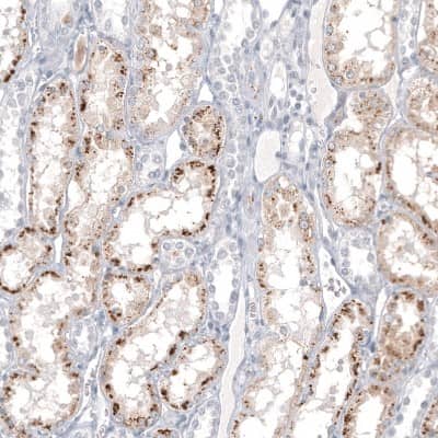
Immunohistochemistry-Paraffin: Napsin A Antibody (CL12954) [NBP3-18551]

Immunohistochemistry-Paraffin: Napsin A Antibody (CL12954) [NBP3-18551] - Analysis in human kidney and skeletal muscle tissues using NBP3-18551 antibody. Corresponding NAPSA RNA-seq data are presented for the same tissues.
Immunohistochemistry-Paraffin: Napsin A Antibody (CL12954) [NBP3-18551]

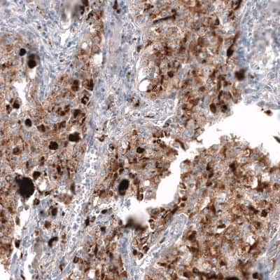
Immunohistochemistry-Paraffin: Napsin A Antibody (CL12954) [NBP3-18551]

Immunohistochemistry-Paraffin: Napsin A Antibody (CL12954) [NBP3-18551] - Staining of human ovarian cancer (clear cell carcinoma) shows moderate to strong granular cytoplasmic positivity in tumor cells.

Applications for Napsin A Antibody (CL12954) - BSA Free

Application
Recommended Usage

Immunohistochemistry

1:5000 - 1:10000

Immunohistochemistry-Paraffin

1:5000 - 1:10000
Application Notes
For use with IHC-Paraffin, HIER pH 6 retrieval is recommended.

Formulation, Preparation, and Storage

Purification

Protein A purified

Formulation

PBS, pH 7.2, 40% glycerol

Format

BSA Free

Preservative

0.02% Sodium Azide

Concentration

Concentrations vary lot to lot. See vial label for concentration. If unlisted please contact technical services.

Shipping

The product is shipped with polar packs. Upon receipt, store it immediately at the temperature recommended below.

Stability & Storage

Store at 4C short term. Aliquot and store at -20C long term. Avoid freeze-thaw cycles.

Background: Napsin A

Napsin is a pepsin-like aspartic proteinase, in the A1 clan of the AA clade of proteinases. Other AA family proteinases include Pepsin, cathepsin-D, cathepsin-E and rennin. Of these proteinases, napsin is most closely related to cathepsin-D, sharing 46% identity at the amino acid level. There are two closely related Napsins, napsin A and napsin B, with 85% overall identity at the amino acid level. There are three isoforms. Napsin-A is also termed napsin-1, or TA02, a Tumor Adenocarcinoma marker. Napsin A may be involved in processing of pneumocyte surfactant precursors.

Alternate Names

ASP4, KAP, NAPA, NAPSA, Napsin-1, SNAPA, TA01/TA02

Gene Symbol

NAPSA

Additional Napsin A Products

Product Documents for Napsin A Antibody (CL12954) - BSA Free

Certificate of Analysis

To download a Certificate of Analysis, please enter a lot number in the search box below.

Product Specific Notices for Napsin A Antibody (CL12954) - BSA Free

This product is for research use only and is not approved for use in humans or in clinical diagnosis. Primary Antibodies are guaranteed for 1 year from date of receipt.

Loading...
Loading...
Loading...
Loading...