Skip to main content

NAPRT1 Antibody - BSA Free

Novus Biologicals, part of Bio-Techne | Catalog # NBP1-87243

Novus Biologicals, part of Bio-Techne
Catalog #
Availability
Size / Price
Qty
Loading...
NBP1-87243
NBP1-87243-25ul

Key Product Details

Validated by

Orthogonal Validation, Independent Antibodies

Species Reactivity

Validated:

Human

Cited:

Human

Applications

Validated:

Immunohistochemistry, Immunohistochemistry-Paraffin, Western Blot, Immunocytochemistry/ Immunofluorescence, Immunoprecipitation

Cited:

Immunohistochemistry-Paraffin, Western Blot, Immunocytochemistry/ Immunofluorescence, Immunoprecipitation, IF/IHC

Label

Unconjugated

Antibody Source

Polyclonal Rabbit IgG

Format

BSA Free

Concentration

Concentrations vary lot to lot. See vial label for concentration. If unlisted please contact technical services.

Product Specifications

Immunogen

This antibody was developed against Recombinant Protein corresponding to amino acids: LLDTYSVWRSGLPNFLAVALALGELGYRAVGVRLDSGDLLQQAQEIRKVFRAAAAQFQVPWLESVLIVVSNNIDEEALARLAQEGSEVNVIGIGTSV

Reactivity Notes

Immunogen displays the following percentage of sequence identity for non-tested species: Mouse (86%), Rat (82%)

Clonality

Polyclonal

Host

Rabbit

Isotype

IgG

Scientific Data Images for NAPRT1 Antibody - BSA Free

Immunohistochemistry-Paraffin: NAPRT1 Antibody [NBP1-87243]

Immunohistochemistry-Paraffin: NAPRT1 Antibody [NBP1-87243]

Immunohistochemistry-Paraffin: NAPRT1 Antibody [NBP1-87243] - Analysis in human small intestine and skeletal muscle tissues using NBP1-87243 antibody. Corresponding NAPRT RNA-seq data are presented for the same tissues.
Immunohistochemistry-Paraffin: NAPRT1 Antibody [NBP1-87243]

Immunohistochemistry-Paraffin: NAPRT1 Antibody [NBP1-87243]

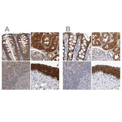
Immunohistochemistry-Paraffin: NAPRT1 Antibody [NBP1-87243] - Staining of human colon, kidney, lymph node and urinary bladder using Anti-NAPRT antibody NBP1-87243 (A) shows similar protein distribution across tissues to independent antibody NBP1-87244 (B).
Western Blot: NAPRT1 Antibody [NBP1-87243]

Western Blot: NAPRT1 Antibody [NBP1-87243]

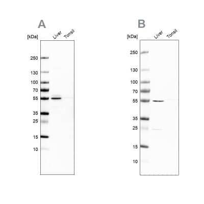
Western Blot: NAPRT1 Antibody [NBP1-87243] - Analysis using Anti-NAPRT antibody NBP1-87243 (A) shows similar pattern to independent antibody NBP1-87244 (B).

Applications for NAPRT1 Antibody - BSA Free

Application
Recommended Usage

Immunocytochemistry/ Immunofluorescence

0.25-2 ug/ml

Immunohistochemistry

1:200 - 1:500

Immunohistochemistry-Paraffin

1:200 - 1:500

Immunoprecipitation

Reported in scientific literature (PMID:31511522).

Western Blot

0.04-0.4 ug/ml
Application Notes
For IHC-Paraffin, HIER pH 6 retrieval is recommended. ICC/IF Fixation Permeabilization: Use PFA/Triton X-100.

Formulation, Preparation, and Storage

Purification

Affinity purified

Formulation

PBS (pH 7.2) and 40% Glycerol

Format

BSA Free

Preservative

0.02% Sodium Azide

Concentration

Concentrations vary lot to lot. See vial label for concentration. If unlisted please contact technical services.

Shipping

The product is shipped with polar packs. Upon receipt, store it immediately at the temperature recommended below.

Stability & Storage

Store at 4C short term. Aliquot and store at -20C long term. Avoid freeze-thaw cycles.

Background: NAPRT1

Nicotinic acid (NA; niacin) is converted by nicotinic acid phosphoribosyltransferase (NAPRT; EC 2.4.2.11) to NA mononucleotide (NaMN), which is then converted to NA adenine dinucleotide (NaAD), and finally to nicotinamide adenine dinucleotide (NAD), which serves as a coenzyme in cellular redox reactions and is an essential component of a variety of processes in cellular metabolism including response to stress (Hara et al., 2007).[supplied by OMIM]

Alternate Names

EC 2.4.2.11, FHA-HIT-interacting protein, FHIP, NAPRTase, nicotinate phosphoribosyltransferase, nicotinate phosphoribosyltransferase domain containing 1, Nicotinate phosphoribosyltransferase domain-containing protein 1, nicotinic acid phosphoribosyltransferase, PP3856

Entrez Gene IDs

93100 (Human)

Gene Symbol

NAPRT

UniProt

Additional NAPRT1 Products

Product Documents for NAPRT1 Antibody - BSA Free

Certificate of Analysis

To download a Certificate of Analysis, please enter a lot number in the search box below.

Product Specific Notices for NAPRT1 Antibody - BSA Free

This product is for research use only and is not approved for use in humans or in clinical diagnosis. Primary Antibodies are guaranteed for 1 year from date of receipt.

Loading...
Loading...
Loading...
Loading...