Skip to main content

NAC1 Antibody (6H2)

Novus Biologicals, part of Bio-Techne | Catalog # NBP1-51681

Novus Biologicals, part of Bio-Techne
Catalog #
Availability
Size / Price
Qty
Loading...
NBP1-51681
NBP1-51681-0.025ml

Key Product Details

Species Reactivity

Human

Applications

ELISA, Immunohistochemistry, Immunohistochemistry-Paraffin, Western Blot

Label

Unconjugated

Antibody Source

Monoclonal Mouse IgG1 Clone # 6H2

Concentration

This product is unpurified. The exact concentration of antibody is not quantifiable.

Product Specifications

Immunogen

Purified recombinant fragment of human NAC1 expressed in E. Coli.

Clonality

Monoclonal

Host

Mouse

Isotype

IgG1

Theoretical MW

58 kDa.
Disclaimer note: The observed molecular weight of the protein may vary from the listed predicted molecular weight due to post translational modifications, post translation cleavages, relative charges, and other experimental factors.

Description

Novus Biologicals Mouse NAC1 Antibody (6H2) (NBP1-51681) is a monoclonal antibody validated for use in IHC, WB and ELISA. All Novus Biologicals antibodies are covered by our 100% guarantee.

Scientific Data Images for NAC1 Antibody (6H2)

Western Blot: NAC1 Antibody (6H2)BSA Free [NBP1-51681]

Western Blot: NAC1 Antibody (6H2)BSA Free [NBP1-51681]

Western Blot: NAC1 Antibody (6H2) [NBP1-51681] - Analysis using NACC1 mAb against HEK293 (1) and NACC1(AA: 165-438)-hIgGFc transfected HEK293 (2) cell lysate.
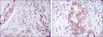
Immunohistochemistry-Paraffin: NAC1 Antibody (6H2) - BSA Free [NBP1-51681]

Immunohistochemistry-Paraffin: NAC1 Antibody (6H2) - BSA Free [NBP1-51681]

Immunohistochemistry-Paraffin: NAC1 Antibody (6H2) [NBP1-51681] - Analysis of mammary cancer tissues (left) and ovarian cancer tissues (right) using NACC1 mouse mAb with DAB staining.

Applications for NAC1 Antibody (6H2)

Application
Recommended Usage

ELISA

1:10000

Immunohistochemistry

1:200-1:1000

Immunohistochemistry-Paraffin

1:200 - 1:1000

Western Blot

1:500 - 1:2000

Formulation, Preparation, and Storage

Purification

Unpurified

Formulation

Ascites

Preservative

0.03% Sodium Azide

Concentration

This product is unpurified. The exact concentration of antibody is not quantifiable.

Shipping

The product is shipped with polar packs. Upon receipt, store it immediately at the temperature recommended below.

Stability & Storage

Store at 4C short term. Aliquot and store at -20C long term. Avoid freeze-thaw cycles.

Background: NAC1

Nac1 is a transcriptional repressor with a BTB domain. In humans the protein is upregulated in a number of carcinomas and is localized in discrete nuclear bodies that correlate with tumour recurrence.

Long Name

Nucleus Accumbens Associated 1

Alternate Names

BEND8, BTBD14B, BTBD30, NACC1

Entrez Gene IDs

112939 (Human)

Gene Symbol

NACC1

UniProt

Additional NAC1 Products

Product Documents for NAC1 Antibody (6H2)

Certificate of Analysis

To download a Certificate of Analysis, please enter a lot number in the search box below.

Product Specific Notices for NAC1 Antibody (6H2)

This product is for research use only and is not approved for use in humans or in clinical diagnosis. Primary Antibodies are guaranteed for 1 year from date of receipt.

Loading...
Loading...
Loading...
Loading...