Skip to main content

N4BP1 Antibody - BSA Free

Novus Biologicals, part of Bio-Techne | Catalog # NBP1-86238

Novus Biologicals, part of Bio-Techne
Catalog #
Availability
Size / Price
Qty
Loading...
NBP1-86238
NBP1-86238-25ul

Key Product Details

Species Reactivity

Human

Applications

Immunocytochemistry/ Immunofluorescence, Immunohistochemistry, Immunohistochemistry-Paraffin

Label

Unconjugated

Antibody Source

Polyclonal Rabbit IgG

Format

BSA Free

Concentration

Concentrations vary lot to lot. See vial label for concentration. If unlisted please contact technical services.

Product Specifications

Immunogen

This antibody was developed against Recombinant Protein corresponding to amino acids: NELTTDSTPKKTQAHTQQNMVEKFSQLPFKVEAKPCTSNCRINTFRTVPIEQKHEVWGSNQNYICNTDPETDGLSPSVASPSPKEVNFVSRGASSHQPR

Clonality

Polyclonal

Host

Rabbit

Isotype

IgG

Description

Novus Biologicals Rabbit N4BP1 Antibody - BSA Free (NBP1-86238) is a polyclonal antibody validated for use in IHC and ICC/IF. All Novus Biologicals antibodies are covered by our 100% guarantee.

Scientific Data Images for N4BP1 Antibody - BSA Free

Immunocytochemistry/ Immunofluorescence: N4BP1 Antibody [NBP1-86238]

Immunocytochemistry/ Immunofluorescence: N4BP1 Antibody [NBP1-86238]

Immunocytochemistry/Immunofluorescence: N4BP1 Antibody [NBP1-86238] - Immunofluorescent staining of human cell line U-2 OS shows localization to nucleoli fibrillar center.
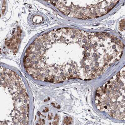
Immunohistochemistry-Paraffin: N4BP1 Antibody [NBP1-86238]

Immunohistochemistry-Paraffin: N4BP1 Antibody [NBP1-86238]

Immunohistochemistry-Paraffin: N4BP1 Antibody [NBP1-86238] - Staining of human testis shows strong cytoplasmic and nuclear positivity in cells in seminiferous ducts.

Applications for N4BP1 Antibody - BSA Free

Application
Recommended Usage

Immunocytochemistry/ Immunofluorescence

0.25-2 ug/ml

Immunohistochemistry

1:50 - 1:200

Immunohistochemistry-Paraffin

1:50 - 1:200
Application Notes
For IHC-Paraffin, HIER pH 6 retrieval is recommended. ICC/IF Fixation Permeabilization: Use PFA/Triton X-100.

Formulation, Preparation, and Storage

Purification

Immunogen affinity purified

Formulation

PBS (pH 7.2) and 40% Glycerol

Format

BSA Free

Preservative

0.02% Sodium Azide

Concentration

Concentrations vary lot to lot. See vial label for concentration. If unlisted please contact technical services.

Shipping

The product is shipped with polar packs. Upon receipt, store it immediately at the temperature recommended below.

Stability & Storage

Store at 4C short term. Aliquot and store at -20C long term. Avoid freeze-thaw cycles.

Background: N4BP1

Alternate Names

FLJ31821, KIAA0615, MGC176730, NEDD4 binding protein 1, NEDD4-binding protein 1

Gene Symbol

N4BP1

Additional N4BP1 Products

Product Documents for N4BP1 Antibody - BSA Free

Certificate of Analysis

To download a Certificate of Analysis, please enter a lot number in the search box below.

Product Specific Notices for N4BP1 Antibody - BSA Free

This product is for research use only and is not approved for use in humans or in clinical diagnosis. Primary Antibodies are guaranteed for 1 year from date of receipt.

Loading...
Loading...
Loading...
Loading...