Skip to main content

MYSM1 Antibody - BSA Free

Novus Biologicals, part of Bio-Techne | Catalog # NBP3-46956

Novus Biologicals, part of Bio-Techne
Catalog #
Availability
Size / Price
Qty
Loading...
NBP3-46956

Key Product Details

Species Reactivity

Human

Applications

ELISA, Immunohistochemistry, Immunoprecipitation, Western Blot

Label

Unconjugated

Antibody Source

Polyclonal Rabbit IgG

Format

BSA Free

Concentration

Please see the vial label for concentration. If unlisted please contact technical services.

Product Specifications

Immunogen

Myb-like, SWIRM and MPN domains 1. (Uniprot# Q5VVJ2)

Clonality

Polyclonal

Host

Rabbit

Isotype

IgG

Theoretical MW

81 kDa.
Disclaimer note: The observed molecular weight of the protein may vary from the listed predicted molecular weight due to post translational modifications, post translation cleavages, relative charges, and other experimental factors.

Description

Novus Biologicals Rabbit MYSM1 Antibody - BSA Free (NBP3-46956) is a polyclonal antibody validated for use in IHC, WB, ELISA and IP. All Novus Biologicals antibodies are covered by our 100% guarantee.

Scientific Data Images for MYSM1 Antibody - BSA Free

MYSM1 Antibody - BSA Free

Immunoprecipitation: MYSM1 Antibody - BSA Free [NBP3-46956] -

Immunoprecipitation: MYSM1 Antibody - BSA Free [NBP3-46956] - IP Result of anti-MYSM1 (IP:, 4ug; Detection: 1:300) with HeLa cells lysate 3200ug.
MYSM1 Antibody - BSA Free

Western Blot: MYSM1 Antibody - BSA Free [NBP3-46956] -

Western Blot: MYSM1 Antibody - BSA Free [NBP3-46956] - HeLa cells were subjected to SDS PAGE followed by western blot with (MYSM1 antibody) at dilution of 1:300
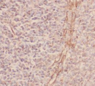
MYSM1 Antibody - BSA Free

Immunohistochemistry: MYSM1 Antibody - BSA Free [NBP3-46956] -

Immunohistochemistry: MYSM1 Antibody - BSA Free [NBP3-46956] - Immunohistochemistry of paraffin-embedded human spleen using (MYSM1 antibody) at dilution of 1:100

Applications for MYSM1 Antibody - BSA Free

Application
Recommended Usage

Immunohistochemistry

1:20-1:200

Western Blot

1:300-1:600

Formulation, Preparation, and Storage

Purification

Immunogen affinity purified

Formulation

PBS, 50% Glycerol, pH (7.3)

Format

BSA Free

Preservative

0.02% Sodium Azide

Concentration

Please see the vial label for concentration. If unlisted please contact technical services.

Shipping

The product is shipped with polar packs. Upon receipt, store it immediately at the temperature recommended below.

Stability & Storage

Store at -20C. Avoid freeze-thaw cycles.

Background: MYSM1

Metalloprotease that specifically deubiquitinates monoubiquitinated histone H2A, a specific tag for epigenetic transcriptional repression, thereby acting as a coactivator. Preferentially deubiquitinates monoubiquitinated H2A in hyperacetylated nucleosomes. Deubiquitination of histone H2A leads to facilitate the phosphorylation and dissociation of histone H1 from the nucleosome. Acts as a coactivator by participating in the initiation and elongation steps of androgen receptor (AR)-induced gene activation.

Long Name

Myb-Like, SWIRM And MPN Domains 1

Alternate Names

2A-DUB, Histone H2A Deubiquitinase MYSM1

Gene Symbol

MYSM1

Additional MYSM1 Products

Product Documents for MYSM1 Antibody - BSA Free

Certificate of Analysis

To download a Certificate of Analysis, please enter a lot number in the search box below.

Product Specific Notices for MYSM1 Antibody - BSA Free

This product is for research use only and is not approved for use in humans or in clinical diagnosis. Primary Antibodies are guaranteed for 1 year from date of receipt.

Loading...
Loading...
Loading...
Loading...