Skip to main content

Myosin heavy chain 2 Antibody (4G9) - BSA Free

Novus Biologicals, part of Bio-Techne | Catalog # NBP3-43001

Novus Biologicals, part of Bio-Techne
Catalog #
Availability
Size / Price
Qty
Loading...
NBP3-43001

Key Product Details

Species Reactivity

Human

Applications

ELISA, Immunohistochemistry, Western Blot

Label

Unconjugated

Antibody Source

Monoclonal Mouse IgG2A Clone # 4G9

Format

BSA Free

Concentration

Please see the vial label for concentration. If unlisted please contact technical services.

Product Specifications

Immunogen

myosin, heavy chain 2, skeletal muscle, adult - (Uniprot# Q9UKX2)

Clonality

Monoclonal

Host

Mouse

Isotype

IgG2A

Theoretical MW

200 kDa.
Disclaimer note: The observed molecular weight of the protein may vary from the listed predicted molecular weight due to post translational modifications, post translation cleavages, relative charges, and other experimental factors.

Description

Novus Biologicals Mouse Myosin heavy chain 2 Antibody (4G9) - BSA Free (NBP3-43001) is a monoclonal antibody validated for use in IHC, WB and ELISA. All Novus Biologicals antibodies are covered by our 100% guarantee.

Scientific Data Images for Myosin heavy chain 2 Antibody (4G9) - BSA Free

Myosin heavy chain 2 Antibody (4G9)

Western Blot: Myosin heavy chain 2 Antibody (4G9) [NBP3-43001] -

Western Blot: Myosin heavy chain 2 Antibody (4G9) [NBP3-43001] - human skeletal muscle tissue were subjected to SDS PAGE followed by western blot with (Myosin heavy chain 2 Antibody) at dilution of 1:4000
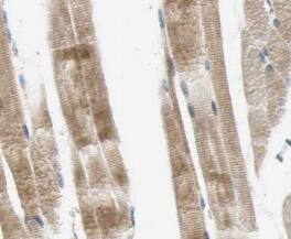
Myosin heavy chain 2 Antibody (4G9)

Immunohistochemistry: Myosin heavy chain 2 Antibody (4G9) [NBP3-43001] -

Immunohistochemistry: Myosin heavy chain 2 Antibody (4G9) [NBP3-43001] - Immunohistochemistry of paraffin-embedded human skeletal muscle tissue slide using (Myosin heavy chain 2 Antibody) at dilution of 1:100

Applications for Myosin heavy chain 2 Antibody (4G9) - BSA Free

Application
Recommended Usage

Immunohistochemistry

1:20 - 1:200

Western Blot

1:5000 - 1:10000

Formulation, Preparation, and Storage

Purification

Protein A or G purified

Formulation

PBS (pH 7.3), 50% glycerol

Format

BSA Free

Preservative

0.02% Sodium Azide

Concentration

Please see the vial label for concentration. If unlisted please contact technical services.

Shipping

The product is shipped with polar packs. Upon receipt, store it immediately at the temperature recommended below.

Stability & Storage

Store at -20C. Avoid freeze-thaw cycles.

Background: Myosin heavy chain 2/MYH2

Myosin II is the so called "classical" myosin, being the first type of myosin to be discovered. Myosin II forms bipolar filaments that interact with actin filaments to produce contraction. Myosin II was first isolated from muscle but is also found in non muscle cells, and it is especially enriched in highly motile cell types such as amoebae. The myosin II molecule is composed of two heavy chains and two sets of light chains. The light chains are the Essential Light Chains (ELC) and Regulatory Light Chains (RLC). Overall activity and polymerization can be modulated by phosphorylation on the light chains and the C terminus of the heavy chains respectively.

Long Name

Myosin Heavy Chain 2

Alternate Names

IBM3, MYH2, MyHC-2a, MyHC-IIa, MYHSA2

Gene Symbol

MYH2

Additional Myosin heavy chain 2/MYH2 Products

Product Documents for Myosin heavy chain 2 Antibody (4G9) - BSA Free

Certificate of Analysis

To download a Certificate of Analysis, please enter a lot number in the search box below.

Product Specific Notices for Myosin heavy chain 2 Antibody (4G9) - BSA Free

This product is for research use only and is not approved for use in humans or in clinical diagnosis. Primary Antibodies are guaranteed for 1 year from date of receipt.

Loading...
Loading...
Loading...
Loading...