Skip to main content

MYLK3 Antibody - BSA Free

Novus Biologicals, part of Bio-Techne | Catalog # NBP3-46974

Novus Biologicals, part of Bio-Techne
Catalog #
Availability
Size / Price
Qty
Loading...
NBP3-46974

Key Product Details

Species Reactivity

Human

Applications

ELISA, Immunohistochemistry, Western Blot

Label

Unconjugated

Antibody Source

Polyclonal Rabbit IgG

Format

BSA Free

Concentration

Please see the vial label for concentration. If unlisted please contact technical services.

Product Specifications

Immunogen

myosin light chain kinase 3. (Uniprot# Q32MK0)

Clonality

Polyclonal

Host

Rabbit

Isotype

IgG

Description

Novus Biologicals Rabbit MYLK3 Antibody - BSA Free (NBP3-46974) is a polyclonal antibody validated for use in IHC, WB and ELISA. All Novus Biologicals antibodies are covered by our 100% guarantee.

Scientific Data Images for MYLK3 Antibody - BSA Free

MYLK3 Antibody - BSA Free

Western Blot: MYLK3 Antibody - BSA Free [NBP3-46974] -

Western Blot: MYLK3 Antibody - BSA Free [NBP3-46974] - Human heart tissue were subjected to SDS PAGE followed by western blot with (MYLK3 antibody) at dilution of 1:500
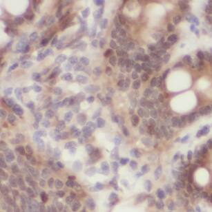
MYLK3 Antibody - BSA Free

Immunohistochemistry: MYLK3 Antibody - BSA Free [NBP3-46974] -

Immunohistochemistry: MYLK3 Antibody - BSA Free [NBP3-46974] - Immunohistochemistry of paraffin-embedded human colon using (MYLK3 antibody) at dilution of 1:100

Applications for MYLK3 Antibody - BSA Free

Application
Recommended Usage

Immunohistochemistry

1:20-1:200

Western Blot

1:500-1:2000
Application Notes
Theoretical Molecular Weight is 85-100 kDa

Formulation, Preparation, and Storage

Purification

Immunogen affinity purified

Formulation

PBS, 50% Glycerol, pH (7.3)

Format

BSA Free

Preservative

0.02% Sodium Azide

Concentration

Please see the vial label for concentration. If unlisted please contact technical services.

Shipping

The product is shipped with polar packs. Upon receipt, store it immediately at the temperature recommended below.

Stability & Storage

Store at -20C. Avoid freeze-thaw cycles.

Background: MYLK3

Phosphorylation of cardiac myosin heavy chains (see MYH7B, MIM 609928) and light chains (see MYL2, MIM 160781) by a kinase, such as MYLK3, potentiates the force and rate of cross-bridge recruitment in cardiac myocytes (Chan et al., 2008 [PubMed 18202317]).[supplied by OMIM]

Long Name

Myosin light chain kinase 3

Alternate Names

Cardiac-MLCK, MLCK

Gene Symbol

MYLK3

Additional MYLK3 Products

Product Documents for MYLK3 Antibody - BSA Free

Certificate of Analysis

To download a Certificate of Analysis, please enter a lot number in the search box below.

Product Specific Notices for MYLK3 Antibody - BSA Free

This product is for research use only and is not approved for use in humans or in clinical diagnosis. Primary Antibodies are guaranteed for 1 year from date of receipt.

Loading...
Loading...
Loading...
Loading...