Skip to main content

MYH6 Antibody - BSA Free

Novus Biologicals, part of Bio-Techne | Catalog # NBP1-88120

Novus Biologicals, part of Bio-Techne
Catalog #
Availability
Size / Price
Qty
Loading...
NBP1-88120
NBP1-88120-25ul

Key Product Details

Validated by

Orthogonal Validation

Species Reactivity

Validated:

Human

Predicted:

Mouse (97%), Rat (96%). Backed by our 100% Guarantee.

Applications

Immunohistochemistry, Immunohistochemistry-Paraffin

Label

Unconjugated

Antibody Source

Polyclonal Rabbit IgG

Format

BSA Free

Concentration

Concentrations vary lot to lot. See vial label for concentration. If unlisted please contact technical services.

Product Specifications

Immunogen

This antibody was developed against Recombinant Protein corresponding to amino acids: QVEEDKVNSLSKSKVKLEQQVDDLEGSLEQEKKVRMDLERAKRKLEGDLKLTQESIMDLENDKLQLEEKLKKKEFDINQQNSKIEDEQVLALQLQKKLKENQARIEELEEELEAERTARAKVEKLRSDLSRELEEISERLEEA

Reactivity Notes

Reactivity reported in scientific literature (PMID: 17626279)

Clonality

Polyclonal

Host

Rabbit

Isotype

IgG

Scientific Data Images for MYH6 Antibody - BSA Free

Immunohistochemistry-Paraffin: MYH6 Antibody [NBP1-88120]

Immunohistochemistry-Paraffin: MYH6 Antibody [NBP1-88120]

Immunohistochemistry-Paraffin: MYH6 Antibody [NBP1-88120] - Analysis in human heart muscle and endometrium tissues. Corresponding MYH6 RNA-seq data are presented for the same tissues.
Immunohistochemistry-Paraffin: MYH6 Antibody [NBP1-88120]

Immunohistochemistry-Paraffin: MYH6 Antibody [NBP1-88120]

Immunohistochemistry-Paraffin: MYH6 Antibody [NBP1-88120] - Staining of human heart muscle shows moderate cytoplasmic positivity in cardiomyocytes.
Immunohistochemistry-Paraffin: MYH6 Antibody [NBP1-88120]

Immunohistochemistry-Paraffin: MYH6 Antibody [NBP1-88120]

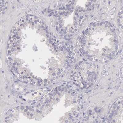
Immunohistochemistry-Paraffin: MYH6 Antibody [NBP1-88120] - Staining of human endometrium shows no positivity in glandular cells as expected.

Applications for MYH6 Antibody - BSA Free

Application
Recommended Usage

Immunohistochemistry

1:2500 - 1:5000

Immunohistochemistry-Paraffin

1:2500 - 1:5000
Application Notes
For IHC-Paraffin, HIER pH 6 retrieval is recommended.

Formulation, Preparation, and Storage

Purification

Affinity purified

Formulation

PBS (pH 7.2) and 40% Glycerol

Format

BSA Free

Preservative

0.02% Sodium Azide

Concentration

Concentrations vary lot to lot. See vial label for concentration. If unlisted please contact technical services.

Shipping

The product is shipped with polar packs. Upon receipt, store it immediately at the temperature recommended below.

Stability & Storage

Store at 4C short term. Aliquot and store at -20C long term. Avoid freeze-thaw cycles.

Background: MYH6

Skeletal muscle Myosin or Myosin II is the motor protein that generates force to drive muscle contraction. It is a 520 kDa hexamer comprised of two heavy chains and four light chains. Myosin heavy chain is 220 kDa in size and consists of a long coiled-coil domain tail that mediates dimerization of the two heavy chains and a globular head region that mediates ATP-dependent sliding of actin filaments. Myosin heavy chain can be proteolytically cleaved to produce heavy meromyosin, which includes the S1 motor domain (head region) and first third of the coiled coil domain, and light meromyosin, which includes the C-terminal two thirds of the coiled coil domain.

Long Name

Myosin Heavy Chain 6, Cardiac Muscle, Alpha

Alternate Names

alpha-MHC, ASD3, CMD1EE, CMH14, MyHC-Alpha, MYHCA, Myosin-6, SSS3

Gene Symbol

MYH6

Additional MYH6 Products

Product Documents for MYH6 Antibody - BSA Free

Certificate of Analysis

To download a Certificate of Analysis, please enter a lot number in the search box below.

Product Specific Notices for MYH6 Antibody - BSA Free

This product is for research use only and is not approved for use in humans or in clinical diagnosis. Primary Antibodies are guaranteed for 1 year from date of receipt.

Loading...
Loading...
Loading...
Loading...