Skip to main content

MYH Antibody - BSA Free

Novus Biologicals, part of Bio-Techne | Catalog # NBP3-46990

Novus Biologicals, part of Bio-Techne
Catalog #
Availability
Size / Price
Qty
Loading...
NBP3-46990

Key Product Details

Species Reactivity

Human, Mouse, Rat

Applications

Immunohistochemistry, Western Blot, ELISA, Immunoprecipitation

Label

Unconjugated

Antibody Source

Polyclonal Rabbit IgG

Format

BSA Free

Concentration

Please see the vial label for concentration. If unlisted please contact technical services.

Product Specifications

Immunogen

mutY homolog(E. coli). (Uniprot# Q9UIF7)

Clonality

Polyclonal

Host

Rabbit

Isotype

IgG

Description

Novus Biologicals Rabbit MYH Antibody - BSA Free (NBP3-46990) is a polyclonal antibody validated for use in IHC, WB, ELISA and IP. All Novus Biologicals antibodies are covered by our 100% guarantee.

Scientific Data Images for MYH Antibody - BSA Free

MYH Antibody - BSA Free

Immunoprecipitation: MYH Antibody - BSA Free [NBP3-46990] -

Immunoprecipitation: MYH Antibody - BSA Free [NBP3-46990] - IP Result of anti-MYH (IP:, 4ug; Detection: 1:500) with HeLa cells lysate 3440ug.
MYH Antibody - BSA Free

Western Blot: MYH Antibody - BSA Free [NBP3-46990] -

Western Blot: MYH Antibody - BSA Free [NBP3-46990] - HeLa cells were subjected to SDS PAGE followed by western blot with (MYH antibody) at dilution of 1:500
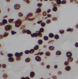
MYH Antibody - BSA Free

Immunohistochemistry: MYH Antibody - BSA Free [NBP3-46990] -

Immunohistochemistry: MYH Antibody - BSA Free [NBP3-46990] - Immunohistochemistry of paraffin-embedded human kidney slide using (MYH Antibody) at dilution of 1:50

Applications for MYH Antibody - BSA Free

Application
Recommended Usage

Immunohistochemistry

1:20-1:200

Immunoprecipitation

1:200-1:1000

Western Blot

1:500-1:2000
Application Notes
Theoretical Molecular Weight is 53-64 kDa

Formulation, Preparation, and Storage

Purification

Immunogen affinity purified

Formulation

PBS, 50% Glycerol, pH (7.3)

Format

BSA Free

Preservative

0.02% Sodium Azide

Concentration

Please see the vial label for concentration. If unlisted please contact technical services.

Shipping

The product is shipped with polar packs. Upon receipt, store it immediately at the temperature recommended below.

Stability & Storage

Store at -20C. Avoid freeze-thaw cycles.

Background: MYH

MYH encodes a DNA glycosylase involved in oxidative DNA damage repair. The enzyme excises adenine bases from the DNA backbone at sites where adenine is inappropriately paired with guanine, cytosine, or 8-oxo-7,8-dihydroguanine, a major oxidatively damaged DNA lesion. The protein is localized to the nucleus and mitochondria. Mutations in this gene result in heritable predisposition to colon and stomach cancer. Multiple transcript variants encoding different isoforms have been found for this gene.

Alternate Names

EC 3.2.2, EC 3.2.2.-, EC 3.2.2.31, hMYH, MGC4416, MutY homolog, MUTYH, Muyth, MYH, MYHA/G-specific adenine DNA glycosylase

Gene Symbol

MUTYH

Additional MYH Products

Product Documents for MYH Antibody - BSA Free

Certificate of Analysis

To download a Certificate of Analysis, please enter a lot number in the search box below.

Product Specific Notices for MYH Antibody - BSA Free

This product is for research use only and is not approved for use in humans or in clinical diagnosis. Primary Antibodies are guaranteed for 1 year from date of receipt.

Loading...
Loading...
Loading...
Loading...