Skip to main content

MyD88 Antibody (OTI2B2)

Novus Biologicals, part of Bio-Techne | Catalog # NBP2-03369

Novus Biologicals, part of Bio-Techne
Catalog #
Availability
Size / Price
Qty
Loading...
NBP2-03369
Conjugate
Catalog #

Key Product Details

Species Reactivity

Human

Applications

Immunohistochemistry, Immunohistochemistry-Paraffin, Western Blot, Flow Cytometry, Immunocytochemistry/ Immunofluorescence

Label

Unconjugated

Antibody Source

Monoclonal Mouse IgG2A Clone # OTI2B2

Concentration

1 mg/ml

Product Specifications

Immunogen

Full length human recombinant protein of human MYD88 (NP_002459) produced in HEK293T cell.

Clonality

Monoclonal

Host

Mouse

Isotype

IgG2A

Theoretical MW

33.1 kDa.
Disclaimer note: The observed molecular weight of the protein may vary from the listed predicted molecular weight due to post translational modifications, post translation cleavages, relative charges, and other experimental factors.

Scientific Data Images for MyD88 Antibody (OTI2B2)

Western Blot: MyD88 Antibody (OTI2B2) [NBP2-03369]

Western Blot: MyD88 Antibody (OTI2B2) [NBP2-03369]

Western Blot: MyD88 Antibody (2B2) [NBP2-03369] - HEK293T cells were transfected with the pCMV6-ENTRY control (Left lane) or pCMV6-ENTRY MyD88 (Right lane) cDNA for 48 hrs and lysed. Equivalent amounts of cell lysates (5 ug per lane) were separated by SDS-PAGE and immunoblotted with anti-MyD88.
Immunocytochemistry/Immunofluorescence: MyD88 Antibody (2B2) [NBP2-03369] Staining of COS7 cells transiently transfected by pCMV6-ENTRY MyD88.
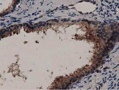
Immunohistochemistry-Paraffin: MyD88 Antibody (OTI2B2) [NBP2-03369]

Immunohistochemistry-Paraffin: MyD88 Antibody (OTI2B2) [NBP2-03369]

Immunohistochemistry-Paraffin: MyD88 Antibody (2B2) [NBP2-03369] - Staining of paraffin-embedded Human thyroid tissue using anti-MyD88 mouse monoclonal antibody.

Applications for MyD88 Antibody (OTI2B2)

Application
Recommended Usage

Flow Cytometry

1:100

Immunocytochemistry/ Immunofluorescence

1:100

Immunohistochemistry

1:150

Immunohistochemistry-Paraffin

1:150

Western Blot

1:2000

Formulation, Preparation, and Storage

Purification

Immunogen affinity purified

Formulation

PBS (pH 7.3), 1.0% BSA and 50% Glycerol

Preservative

0.02% Sodium Azide

Concentration

1 mg/ml

Shipping

The product is shipped with polar packs. Upon receipt, store it immediately at the temperature recommended below.

Stability & Storage

Store at -20C. Avoid freeze-thaw cycles.

Background: MyD88

This gene encodes a cytosolic adapter protein that plays a central role in the innate and adaptive immune response. This protein functions as an essential signal transducer in the interleukin-1 and Toll-like receptor signaling pathways. These pathways regulate that activation of numerous proinflammatory genes. The encoded protein consists of an N-terminal death domain and a C-terminal Toll-interleukin1 receptor domain. Patients with defects in this gene have an increased susceptibility to pyogenic bacterial infections. Alternate splicing results in multiple transcript variants. [provided by RefSeq].

Long Name

Myeloid Differentiation Primary Response Gene 88

Alternate Names

MYD88D, myeloid differentiation primary response gene (88), myeloid differentiation primary response protein MyD88

Entrez Gene IDs

4615 (Human)

Gene Symbol

MYD88

Additional MyD88 Products

Product Documents for MyD88 Antibody (OTI2B2)

Certificate of Analysis

To download a Certificate of Analysis, please enter a lot number in the search box below.

Product Specific Notices for MyD88 Antibody (OTI2B2)

This product is for research use only and is not approved for use in humans or in clinical diagnosis. Primary Antibodies are guaranteed for 1 year from date of receipt.

Loading...
Loading...
Loading...
Loading...
Loading...