Skip to main content

MXRA7 Antibody - BSA Free

Novus Biologicals, part of Bio-Techne | Catalog # NBP3-06326

Novus Biologicals, part of Bio-Techne

Key Product Details

Species Reactivity

Human

Applications

Immunocytochemistry/ Immunofluorescence, Immunohistochemistry-Paraffin

Label

Unconjugated

Antibody Source

Polyclonal Rabbit IgG

Format

BSA Free

Concentration

Please see the vial label for concentration. If unlisted please contact technical services.

Product Specifications

Immunogen

Produced in rabbits immunized with E. coli-derived Human MXRA7 fragment.

Clonality

Polyclonal

Host

Rabbit

Isotype

IgG

Description

This antibody can be stored at 2C-8C for one month without detectable loss of activity. Antibody products are stable for twelve months from date of receipt when stored at -20C to -80C. Avoid repeated freeze-thaw cycles.

Scientific Data Images for MXRA7 Antibody - BSA Free

Immunohistochemistry-Paraffin: MXRA7 Antibody [NBP3-06326]

Immunohistochemistry-Paraffin: MXRA7 Antibody [NBP3-06326]

Immunohistochemistry-Paraffin: MXRA7 Antibody [NBP3-06326] - Immunochemical staining of human MXRA7 in human placenta with rabbit polyclonal antibody at 1:2000 dilution, formalin-fixed paraffin embedded sections.
Immunohistochemistry-Paraffin: MXRA7 Antibody [NBP3-06326]

Immunohistochemistry-Paraffin: MXRA7 Antibody [NBP3-06326]

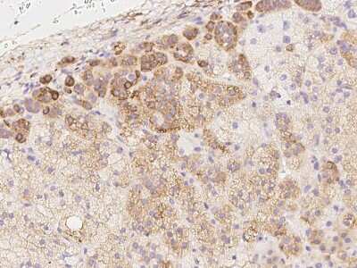
Immunohistochemistry-Paraffin: MXRA7 Antibody [NBP3-06326] - Immunochemical staining of human MXRA7 in human adrenal gland with rabbit polyclonal antibody at 1:2000 dilution, formalin-fixed paraffin embedded sections.
MXRA7 Antibody - BSA Free

Immunocytochemistry/Immunofluorescence: MXRA7 Antibody [NBP3-06326] -

Immunocytochemistry/Immunofluorescence: MXRA7 Antibody [NBP3-06326] - Immunofluorescence staining of MXRA7 in U2OS cells. Cells were fixed with 4% PFA, permeabilzed with 0.1% Triton X-100 in PBS,blocked with 10% serum, and incubated with NBP3-06326 antibody (dilution ratio 1:200) at 4 degrees celsius overnight. Then cells were stained with the Alexa Fluor (TM) 488-conjugated Goat Anti-rabbit IgG secondary antibody (green) and counterstained with DAPI (blue).Positive staining was localized to Cytoplasm.

Applications for MXRA7 Antibody - BSA Free

Application
Recommended Usage

Immunocytochemistry/ Immunofluorescence

1:100-1:500

Immunohistochemistry-Paraffin

1:500-1:3000

Formulation, Preparation, and Storage

Purification

Antigen and protein A Affinity-purified

Formulation

PBS

Format

BSA Free

Preservative

0.03% Proclin 300

Concentration

Please see the vial label for concentration. If unlisted please contact technical services.

Shipping

The product is shipped with polar packs. Upon receipt, store it immediately at the temperature recommended below.

Stability & Storage

Store at 4C short term. Aliquot and store at -20C long term. Avoid freeze-thaw cycles.

Background: MXRA7

Alternate Names

FLJ41492, FLJ46603, HBV PreS1-transactivated protein 1, matrix-remodeling-associated protein 7, matrix-remodelling associated 7, PS1TP1, TMAP1, transmembrane anchor protein 1

Gene Symbol

MXRA7

Additional MXRA7 Products

Product Documents for MXRA7 Antibody - BSA Free

Certificate of Analysis

To download a Certificate of Analysis, please enter a lot number in the search box below.

Product Specific Notices for MXRA7 Antibody - BSA Free

This product is for research use only and is not approved for use in humans or in clinical diagnosis. Primary Antibodies are guaranteed for 1 year from date of receipt.

Loading...
Loading...
Loading...
Loading...