Skip to main content

MVP Antibody - BSA Free

Novus Biologicals, part of Bio-Techne | Catalog # NBP2-56408

Novus Biologicals, part of Bio-Techne
Catalog #
Availability
Size / Price
Qty
Loading...
NBP2-56408
NBP2-56408-25ul

Key Product Details

Validated by

Orthogonal Validation

Species Reactivity

Validated:

Human

Predicted:

Mouse (93%), Rat (94%). Backed by our 100% Guarantee.

Applications

Immunohistochemistry, Immunohistochemistry-Paraffin, Western Blot

Label

Unconjugated

Antibody Source

Polyclonal Rabbit IgG

Format

BSA Free

Concentration

Concentrations vary lot to lot. See vial label for concentration. If unlisted please contact technical services.

Product Specifications

Immunogen

This antibody was developed against a recombinant protein corresponding to the following amino acid sequence: KVSHQAGDHWLIRGPLEYVPSAKVEVVEERQAIPLDENEGIYVQDVKTGKVRAVIGSTYMLTQDEVLWEKELPPGVEELLNKGQDPLAD

Clonality

Polyclonal

Host

Rabbit

Isotype

IgG

Description

Novus Biologicals Rabbit MVP Antibody - BSA Free (NBP2-56408) is a polyclonal antibody validated for use in IHC and WB. All Novus Biologicals antibodies are covered by our 100% guarantee.

Scientific Data Images for MVP Antibody - BSA Free

Western Blot: MVP Antibody [NBP2-56408]

Western Blot: MVP Antibody [NBP2-56408]

Western Blot: MVP Antibody [NBP2-56408] - Analysis in human cell lines A-549 and HEK293. Corresponding RNA-seq data are presented for the same cell lines. Loading control: Anti-HSP90B1.
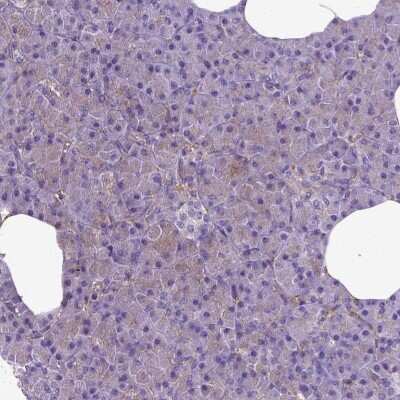
Immunohistochemistry-Paraffin: MVP Antibody [NBP2-56408]

Immunohistochemistry-Paraffin: MVP Antibody [NBP2-56408]

Immunohistochemistry-Paraffin: MVP Antibody [NBP2-56408] - Staining in human small intestine and pancreas tissues using anti-MVP antibody. Corresponding MVP RNA-seq data are presented for the same tissues.
Immunohistochemistry: MVP Antibody [NBP2-56408]

Immunohistochemistry: MVP Antibody [NBP2-56408]

Immunohistochemistry: MVP Antibody [NBP2-56408] - Immunohistochemical staining of human duodenum shows cytoplasmic positivity in glandular cells.

Applications for MVP Antibody - BSA Free

Application
Recommended Usage

Immunohistochemistry

1:1000 - 1:2500

Immunohistochemistry-Paraffin

1:1000 - 1:2500

Western Blot

0.04-0.4 ug/ml
Application Notes
For IHC-Paraffin, HIER pH 6 retrieval is recommended. Immunocytochemistry/Immunofluorescence Fixation Permeabilization: Use PFA/Triton X-100.

Formulation, Preparation, and Storage

Purification

Affinity purified

Formulation

PBS (pH 7.2) and 40% Glycerol

Format

BSA Free

Preservative

0.02% Sodium Azide

Concentration

Concentrations vary lot to lot. See vial label for concentration. If unlisted please contact technical services.

Shipping

The product is shipped with polar packs. Upon receipt, store it immediately at the temperature recommended below.

Stability & Storage

Store at 4C short term. Aliquot and store at -20C long term. Avoid freeze-thaw cycles.

Background: MVP

MVP encodes the major vault protein which is a lung resistance-related protein. Vaults are multi-subunit structures that may be involved in nucleo-cytoplasmic transport. This protein mediates drug resistance, perhaps via a transport process. It is widely distributed in normal tissues, and overexpressed in multidrug-resistant cancer cells. The protein overexpression is a potentially useful marker of clinical drug resistance. This gene produces two transcripts by using two alternative exon 2 sequences; however, the open reading frames are the same in both transcripts.

Alternate Names

LRPVAULT1, Lung resistance-related protein, major vault protein

Gene Symbol

MVP

Additional MVP Products

Product Documents for MVP Antibody - BSA Free

Certificate of Analysis

To download a Certificate of Analysis, please enter a lot number in the search box below.

Product Specific Notices for MVP Antibody - BSA Free

This product is for research use only and is not approved for use in humans or in clinical diagnosis. Primary Antibodies are guaranteed for 1 year from date of receipt.

Loading...
Loading...
Loading...
Loading...
Loading...