Skip to main content

MVK Antibody - BSA Free

Novus Biologicals, part of Bio-Techne | Catalog # NBP1-32868

Novus Biologicals, part of Bio-Techne
Catalog #
Availability
Size / Price
Qty
Loading...
NBP1-32868

Key Product Details

Species Reactivity

Human

Applications

Immunohistochemistry, Immunohistochemistry-Paraffin, Western Blot

Label

Unconjugated

Antibody Source

Polyclonal Rabbit IgG

Format

BSA Free

Concentration

Concentrations vary lot to lot. See vial label for concentration. If unlisted please contact technical services.

Product Specifications

Immunogen

Recombinant protein encompassing a sequence within the center region of human MVK. The exact sequence is proprietary.

Reactivity Notes

Mouse (86%), Rat (87%), Bovine (83%).

Localization

Cytoplasm, Peroxisome

Clonality

Polyclonal

Host

Rabbit

Isotype

IgG

Theoretical MW

42 kDa.
Disclaimer note: The observed molecular weight of the protein may vary from the listed predicted molecular weight due to post translational modifications, post translation cleavages, relative charges, and other experimental factors.

Description

Novus Biologicals Rabbit MVK Antibody - BSA Free (NBP1-32868) is a polyclonal antibody validated for use in IHC and WB. All Novus Biologicals antibodies are covered by our 100% guarantee.

Scientific Data Images for MVK Antibody - BSA Free

Western Blot: MVK Antibody [NBP1-32868]

Western Blot: MVK Antibody [NBP1-32868]

Western Blot: MVK Antibody [NBP1-32868] - Sample (30 ug of whole cell lysate) A: Hep G2 10% SDS PAGE; antibody diluted at 1:1000.
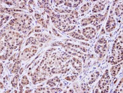
Immunohistochemistry-Paraffin: MVK Antibody [NBP1-32868]

Immunohistochemistry-Paraffin: MVK Antibody [NBP1-32868]

Immunohistochemistry-Paraffin: MVK Antibody [NBP1-32868] - Paraffin-embedded A549 xenograft, using antibody at 1:500 dilution.

Applications for MVK Antibody - BSA Free

Application
Recommended Usage

Immunohistochemistry

1:100-1:1000

Immunohistochemistry-Paraffin

1:100-1:1000

Western Blot

1:500-1:3000

Formulation, Preparation, and Storage

Purification

Antigen Affinity-purified

Formulation

0.1M Tris, 0.1M Glycine, 10% Glycerol

Format

BSA Free

Preservative

0.01% Thimerosal

Concentration

Concentrations vary lot to lot. See vial label for concentration. If unlisted please contact technical services.

Shipping

The product is shipped with polar packs. Upon receipt, store it immediately at the temperature recommended below.

Stability & Storage

Aliquot and store at -20C or -80C. Avoid freeze-thaw cycles.

Background: MVK

This gene encodes the peroxisomal enzyme mevalonate kinase. Mevalonate is a key intermediate, and mevalonate kinase a key early enzyme, in isoprenoid and sterol synthesis. Mevalonate kinase deficiency caused by mutation of this gene results in mevalonic aciduria, a disease characterized psychomotor retardation, failure to thrive, hepatosplenomegaly, anemia and recurrent febrile crises. Defects in this gene also cause hyperimmunoglobulinaemia D and periodic fever syndrome, a disorder characterized by recurrent episodes of fever associated with lymphadenopathy, arthralgia, gastrointestinal dismay and skin rash. Two transcript variants that encode the same protein have been found for this gene.

Long Name

Mevalonate Kinase

Alternate Names

LRBP, Mevalonic Aciduria, MVLK, POROK3

Gene Symbol

MVK

Additional MVK Products

Product Documents for MVK Antibody - BSA Free

Certificate of Analysis

To download a Certificate of Analysis, please enter a lot number in the search box below.

Product Specific Notices for MVK Antibody - BSA Free

This product is for research use only and is not approved for use in humans or in clinical diagnosis. Primary Antibodies are guaranteed for 1 year from date of receipt.

Loading...
Loading...
Loading...
Loading...

⚠ WARNING: This product can expose you to chemicals including mercury, which is known to the State of California to cause reproductive toxicity with developmental effects.  For more information go to www.P65Warnings.ca.gov.