MuSK Antibody (10A4)
Novus Biologicals, part of Bio-Techne | Catalog # NBP1-47441
Key Product Details
Species Reactivity
Human
Applications
ELISA, Immunocytochemistry/ Immunofluorescence, Immunohistochemistry, Immunohistochemistry-Paraffin
Label
Unconjugated
Antibody Source
Monoclonal Mouse IgG1 Clone # 10A4
Concentration
This product is unpurified. The exact concentration of antibody is not quantifiable.
Product Specifications
Immunogen
Purified recombinant extracellular fragment of human MuSK (aa24-209) fused with hIgGFc tag expressed in HEK293 cell line.
Clonality
Monoclonal
Host
Mouse
Isotype
IgG1
Theoretical MW
97 kDa.
Disclaimer note: The observed molecular weight of the protein may vary from the listed predicted molecular weight due to post translational modifications, post translation cleavages, relative charges, and other experimental factors.
Disclaimer note: The observed molecular weight of the protein may vary from the listed predicted molecular weight due to post translational modifications, post translation cleavages, relative charges, and other experimental factors.
Description
Novus Biologicals Mouse MuSK Antibody (10A4) (NBP1-47441) is a monoclonal antibody validated for use in IHC, ELISA and ICC/IF. All Novus Biologicals antibodies are covered by our 100% guarantee.
Scientific Data Images for MuSK Antibody (10A4)
Immunocytochemistry/ Immunofluorescence: MuSK Antibody (10A4) - BSA Free [NBP1-47441]
Immunocytochemistry/Immunofluorescence: MuSK Antibody (10A4) [NBP1-47441] - Human neurons stained with MuSK antibody. ICC/IFF image submitted by a verified customer review.Immunohistochemistry-Paraffin: MuSK Antibody (10A4) - BSA Free [NBP1-47441]
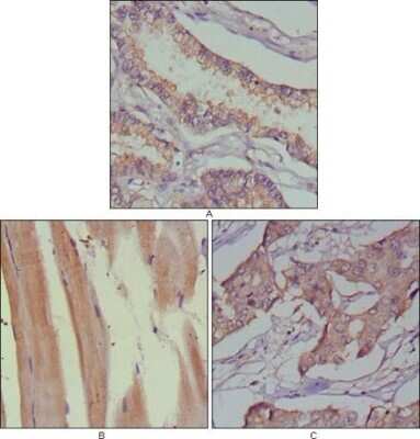
Immunohistochemistry-Paraffin: MuSK Antibody (10A4) [NBP1-47441] - Immunohistochemical analysis of paraffin-embedded human lung cancer (A), muscles (B) and breast cancer (C) using anti-MUSK antibody with DAB staining.Immunocytochemistry/ Immunofluorescence: MuSK Antibody (10A4) - BSA Free [NBP1-47441]
Immunocytochemistry/Immunofluorescence: MuSK Antibody (10A4) [NBP1-47441] - Confocal immunofluorescence analysis of HEK293 cells transfected with extracellular MUSK (aa24-209)-hIgGFc using anti-MUSK monoclonal antibody (green). Blue: DRAQ5 fluorescent DNA dye.Applications for MuSK Antibody (10A4)
Application
Recommended Usage
ELISA
1:10000
Immunocytochemistry/ Immunofluorescence
1:200-1:1000
Immunohistochemistry
1:10-1:500
Immunohistochemistry-Paraffin
1:200-1000
Reviewed Applications
Read 1 review rated 5 using NBP1-47441 in the following applications:
Formulation, Preparation, and Storage
Purification
Unpurified
Formulation
Ascites
Preservative
0.03% Sodium Azide
Concentration
This product is unpurified. The exact concentration of antibody is not quantifiable.
Shipping
The product is shipped with polar packs. Upon receipt, store it immediately at the temperature recommended below.
Stability & Storage
Store at 4C short term. Aliquot and store at -20C long term. Avoid freeze-thaw cycles.
Background: MuSK
Long Name
Muscle-specific Receptor Tyrosine Kinase
Alternate Names
EC 2.7.10, EC 2.7.10.1, MGC126323, MGC126324, muscle, skeletal, receptor tyrosine kinase, MuSK, skeletal receptor tyrosine-protein kinase
Gene Symbol
MUSK
Additional MuSK Products
Product Documents for MuSK Antibody (10A4)
Product Specific Notices for MuSK Antibody (10A4)
This product is for research use only and is not approved for use in humans or in clinical diagnosis. Primary Antibodies are guaranteed for 1 year from date of receipt.
Loading...
Loading...
Loading...
Loading...