Skip to main content

MUC5AC Antibody (45M1) - IHC-Prediluted

Novus Biologicals, part of Bio-Techne | Catalog # NBP2-44450

Novus Biologicals, part of Bio-Techne
Catalog #
Availability
Size / Price
Qty
Loading...
NBP2-44450

Key Product Details

Species Reactivity

Human, Mouse, Rat, Porcine, Bovine (Negative), Chicken, Feline, Mammal, Monkey, Rabbit

Applications

Immunohistochemistry, Immunohistochemistry-Paraffin, Immunohistochemistry-Frozen, Dot Blot

Label

Unconjugated

Antibody Source

Monoclonal Mouse IgG1 kappa Clone # 45M1

Format

IHC-Prediluted

Concentration

Please see the vial label for concentration. If unlisted please contact technical services.

Product Specifications

Immunogen

M1 mucin preparation from the fluid of an ovarian mucinous cyst belonging to an O Le(a-b) patient

Reactivity Notes

Hedgehog. Does not react with Bovine.

Use in Mouse reported in scientific literature (PMID:34260916)

Localization

Cytoplasmic

Specificity

This monoclonal antibody recognizes the peptide core of gastric mucin M1 (recently identified as Mucin 5AC).Its epitope is located in the C-terminal cysteine rich part of the peptide core of MUC5AC. Its epitope is destroyed by beta-mercaptoethanol but not by periodate treatment. This mucin is present in primary ovarian mucinous cancer but usually absent in colorectal adenocarcinoma, thus showing an expression pattern opposite to MUC2. Together with a panel of antibodies, Anti-MUC5AC may be useful for differential identification of primary mucinous ovarian tumors from colon adenocarcinoma metastatic to the ovary. MUC5AC antibodies may also be useful for identification of intestinal metaplasia as well as in the identification of pancreatic carcinoma and pre-cancerous changes vs. normal pancreas.

Clonality

Monoclonal

Host

Mouse

Isotype

IgG1 kappa

Description

The prediluted antibody does not require any mixing, dilution, reconstitution, or titration; the antibody is ready-to-use and optimized for staining.

Scientific Data Images for MUC5AC Antibody (45M1) - IHC-Prediluted

Immunohistochemistry-Paraffin: MUC5AC Antibody (45M1) - IHC-Prediluted [NBP2-44450]

Immunohistochemistry-Paraffin: MUC5AC Antibody (45M1) - IHC-Prediluted [NBP2-44450]

Immunohistochemistry-Paraffin: MUC5AC Antibody (45M1) - IHC-Prediluted [NBP2-44450] - Analysis using the Azide and BSA Free version of NBP2-15196. Detection Human stomach.
Immunohistochemistry-Paraffin: MUC5AC Antibody (45M1) - IHC-Prediluted [NBP2-44450]

Immunohistochemistry-Paraffin: MUC5AC Antibody (45M1) - IHC-Prediluted [NBP2-44450]

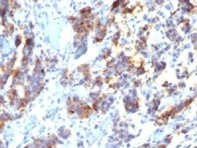
Immunohistochemistry-Paraffin: MUC5AC Antibody (45M1) - IHC-Prediluted [NBP2-44450] - Formalin-fixed, paraffin-embedded human Gastric Carcinoma stained with MUC5AC Monoclonal Antibody (45M1).
Immunohistochemistry-Paraffin: MUC5AC Antibody (45M1) - IHC-Prediluted [NBP2-44450]

Immunohistochemistry-Paraffin: MUC5AC Antibody (45M1) - IHC-Prediluted [NBP2-44450]

Immunohistochemistry-Paraffin: MUC5AC Antibody (45M1) - IHC-Prediluted [NBP2-44450] - Formalin-fixed, paraffin-embedded Rat stomach stained with MUC5AC Monoclonal Antibody (45M1).

Applications for MUC5AC Antibody (45M1) - IHC-Prediluted

Application
Recommended Usage

Immunohistochemistry-Paraffin

1 - 2 ug/ml
Application Notes
Use in Dot Blot reported in scientific literature (PMID: 31374872).
Immunohistochemistry (Formalin-fixed): 1-2ug/ml for 30 minutes at RT. Staining of formalin-fixed tissues requires heating tissue sections in 10mM Tris with 1mM EDTA, pH 9.0, for 45 min at 95C followed by cooling at RT for 20 minutes.
Optimal dilution for a specific application should be determined.

Formulation, Preparation, and Storage

Purification

Protein A or G purified

Formulation

10 mM PBS with 0.05% BSA

Format

IHC-Prediluted

Preservative

0.05% Sodium Azide

Concentration

Please see the vial label for concentration. If unlisted please contact technical services.

Shipping

The product is shipped with polar packs. Upon receipt, store it immediately at the temperature recommended below.

Stability & Storage

Store at 4C.

Background: MUC5AC

Mucin 5, subtype AC (MUC5AC) is a gel-forming secreted mucin that functions as a protective barrier on surface of epithelial tissues (1-2). MUC5AC is expressed primarily by goblet cells of the surface epithelium, including in the stomach, respiratory tract, gall bladder, endocervix, and endometrium (1-3). Human MUC5AC is located on chromosome 11p15.5, consisting of 5654 amino acids and has a N-terminus, tandem-repeat region (TRR), and a C-terminus, with a theoretical molecular weight of ~585 kDa (1-4). More specifically, the N-terminus contains four von Willebrand factor type D domains, where D1 also has a leucine zipper pattern (1). The TRR is further divided into nine CysD domains and four PTS-rich tandem repeats (1). Finally, the C-terminus has a D4-, B-, C-, and CK-domain (1). The TRR is a site of heavy O-glycosylation that functions in gel and polypeptide formation (1,3).

Given that MUC5AC is the primary mucin produced and secreted by cells lining airway, it is understandable that its expression is dysregulated in a number of respiratory diseases (1,3,5,6). For instance, MUC5AC is overexpressed in asthma and the protein is also more highly glycosylated, specifically fucosylated, in the disease state (1,3,7). Additionally, its overproduction is a key feature in chronic obstructive pulmonary disease (COPD) contributing to mucosal blockage (6). Multiple pathways are associated with overproduction of MUC5AC including NFkappaB, the primary pathway for production and secretion, and also the MAPK and STAT6 pathways (3). In addition to conventional, synthetic therapeutics agents, researchers are exploring natural MUC5AC inhibitors such as flavonoids, glycosides, and steroids to treat associated disorders (3).

References

1. Krishn, S. R., Ganguly, K., Kaur, S., & Batra, S. K. (2018). Ramifications of secreted mucin MUC5AC in malignant journey: a holistic view. Carcinogenesis. https://doi.org/10.1093/carcin/bgy019

2. Ballester, B., Milara, J., & Cortijo, J. (2019). Mucins as a New Frontier in Pulmonary Fibrosis. Journal of clinical medicine. https://doi.org/10.3390/jcm8091447

3. Samsuzzaman, M., Uddin, M. S., Shah, M. A., & Mathew, B. (2019). Natural inhibitors on airway mucin: Molecular insight into the therapeutic potential targeting MUC5AC expression and production. Life sciences. https://doi.org/10.1016/j.lfs.2019.05.041

4. Uniprot (P98088)

5. Li, J., & Ye, Z. (2020). The Potential Role and Regulatory Mechanisms of MUC5AC in Chronic Obstructive Pulmonary Disease. Molecules (Basel, Switzerland). https://doi.org/10.3390/molecules25194437

6. Bonser, L. R., & Erle, D. J. (2017). Airway Mucus and Asthma: The Role of MUC5AC and MUC5B. Journal of clinical medicine. https://doi.org/10.3390/jcm6120112

Alternate Names

gastric mucin, leB, lewis B blood group antigen, major airway glycoprotein, MUC5, mucin 5, subtypes A and C, tracheobronchial/gastric, mucin 5AC, oligomeric mucus/gel-forming, mucin 5AC, oligomeric mucus/gel-forming pseudogene, mucin-5 subtype AC, tracheobronchial, mucin-5AC, TBM, tracheobronchial mucin

Gene Symbol

MUC5AC

Additional MUC5AC Products

Product Documents for MUC5AC Antibody (45M1) - IHC-Prediluted

Certificate of Analysis

To download a Certificate of Analysis, please enter a lot number in the search box below.

Product Specific Notices for MUC5AC Antibody (45M1) - IHC-Prediluted

This product is for research use only and is not approved for use in humans or in clinical diagnosis. Primary Antibodies are guaranteed for 1 year from date of receipt.

Loading...
Loading...
Loading...
Loading...