Skip to main content

MUC3 Antibody (M3.1) - IHC-Prediluted

Novus Biologicals, part of Bio-Techne | Catalog # NBP2-48392

Novus Biologicals, part of Bio-Techne
Catalog #
Availability
Size / Price
Qty
Loading...
NBP2-48392

Key Product Details

Species Reactivity

Human

Applications

Immunohistochemistry, Immunohistochemistry-Paraffin

Label

Unconjugated

Antibody Source

Monoclonal Mouse IgG2a Kappa Clone # M3.1

Format

IHC-Prediluted

Concentration

Please see the vial label for concentration. If unlisted please contact technical services.

Product Specifications

Immunogen

A synthetic peptide of 35 amino acids, SIB35 (C-HSTPSFTSSITTTETTSHSTPSFTSSITTTETTS), which contains two of the MUC3 tandem repeats, coupled to KLH.

Epitope

SITTTE

Localization

Cytoplasmic and cell surface

Specificity

It recognizes a protein of HMW, identified as mucin 3 glycoprotein (MUC3). Its epitope localizes between aa SITTTE. This monoclonal antibody shows no cross-reaction with human milk fat globule membranes, MUC1, or MUC2. MUC3 is distributed in colon and rectum, and is also present to a lesser extent in breast, lung and salivary gland tissues. The Mucins are a family of highly glycosylated, secreted proteins with a basic structure consisting of a variable number of tandem repeats (VNTRs) encoded by 60 base pairs (Mucin 1), 69 base pairs (Mucin 2) and 51 base pairs (Mucin 3). The number of repeats is highly polymorphic and varies among different alleles. Mucin 1 proteins are expressed as type I membrane proteins in addition to secreted forms. Mucin 1 is aberrantly expressed in epithelial tumors including breast carcinomas. Mucin 2 coats the epithelia of the intestines and airways and is associated with colonic tumors. Mucin 3 is a major component of various mucus gels and is broadly expressed in normal and tumor cells.

Clonality

Monoclonal

Host

Mouse

Isotype

IgG2a Kappa

Theoretical MW

1100 kDa.
Disclaimer note: The observed molecular weight of the protein may vary from the listed predicted molecular weight due to post translational modifications, post translation cleavages, relative charges, and other experimental factors.

Description

The prediluted antibody does not require any mixing, dilution, reconstitution, or titration; the antibody is ready-to-use and optimized for staining.

Scientific Data Images for MUC3 Antibody (M3.1) - IHC-Prediluted

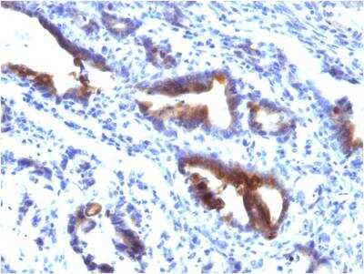
Immunohistochemistry-Paraffin: MUC3 Antibody (M3.1) - IHC-Prediluted [NBP2-48392]

Immunohistochemistry-Paraffin: MUC3 Antibody (M3.1) - IHC-Prediluted [NBP2-48392]

Immunohistochemistry-Paraffin: MUC3 Antibody (M3.1) - IHC-Prediluted [NBP2-48392] - Formalin-fixed, paraffin-embedded human Colon Carcinoma stained with MUC3 Mouse Monoclonal Antibody (M3.1).
Immunohistochemistry-Paraffin: MUC3 Antibody (M3.1) - IHC-Prediluted [NBP2-48392]

Immunohistochemistry-Paraffin: MUC3 Antibody (M3.1) - IHC-Prediluted [NBP2-48392]

Immunohistochemistry-Paraffin: MUC3 Antibody (M3.1) - IHC-Prediluted [NBP2-48392] - Formalin-fixed, paraffin-embedded human Gastric Carcinoma stained with MUC3 Mouse Monoclonal Antibody (M3.1).
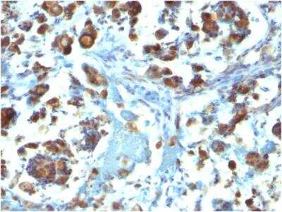
Immunohistochemistry-Paraffin: MUC3 Antibody (M3.1) - IHC-Prediluted [NBP2-48392]

Immunohistochemistry-Paraffin: MUC3 Antibody (M3.1) - IHC-Prediluted [NBP2-48392]

Immunohistochemistry-Paraffin: MUC3 Antibody (M3.1) - IHC-Prediluted [NBP2-48392] - Formalin-fixed, paraffin-embedded human Gastric Carcinoma stained with MUC3 Mouse Monoclonal Antibody (M3.1).

Applications for MUC3 Antibody (M3.1) - IHC-Prediluted

Application
Recommended Usage

Immunohistochemistry

Optimal dilutions of this antibody should be experimentally determined.

Immunohistochemistry-Paraffin

Optimal dilutions of this antibody should be experimentally determined.
Application Notes
Immunohistochemistry (Formalin-fixed): 1-2ug/ml for 30 minutes at RT. Staining of formalin-fixed tissues requires heating tissue sections in 10mM Tris with 1mM EDTA, pH 9.0, for 45 min at 95C followed by cooling at RT for 20 minutes.
Optimal dilution for a specific application should be determined.

Formulation, Preparation, and Storage

Purification

Protein A or G purified

Formulation

10 mM PBS with 0.05% BSA

Format

IHC-Prediluted

Preservative

0.05% Sodium Azide

Concentration

Please see the vial label for concentration. If unlisted please contact technical services.

Shipping

The product is shipped with polar packs. Upon receipt, store it immediately at the temperature recommended below.

Stability & Storage

Store at 4C.

Background: MUC3

The mucin genes encode epithelial glycoproteins, some of which are secreted and some membrane bound. Each of the genes contains at least one large domain of tandemly repeated sequence that encodes the peptide sequence rich in serine and/or threonine residues, which carries most of the O-linked glycosylation (Gendler and Spicer, 1995 (PubMed 7778880)).(supplied by OMIM)

Alternate Names

MUC-3A, mucin 3, intestinal, mucin 3A, cell surface associated, mucin 3A, intestinal, mucin-3A

Gene Symbol

MUC3A

Additional MUC3 Products

Product Documents for MUC3 Antibody (M3.1) - IHC-Prediluted

Certificate of Analysis

To download a Certificate of Analysis, please enter a lot number in the search box below.

Product Specific Notices for MUC3 Antibody (M3.1) - IHC-Prediluted

This product is for research use only and is not approved for use in humans or in clinical diagnosis. Primary Antibodies are guaranteed for 1 year from date of receipt.

Loading...
Loading...
Loading...
Loading...